验证数据展示
经过测试的应用
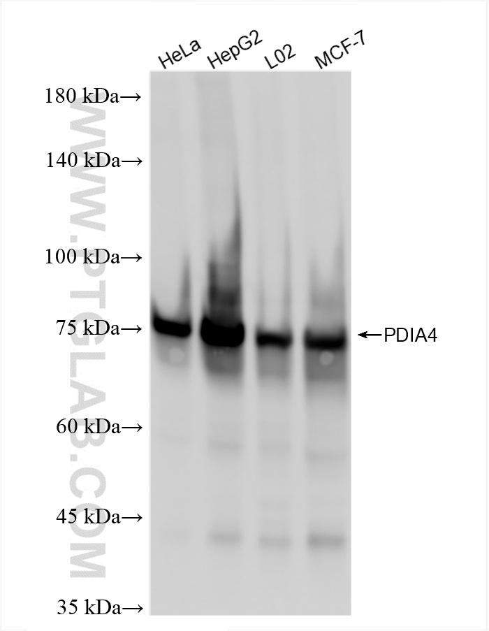
| Positive WB detected in | HeLa cells, HepG2 cells, L02 cells, RAW264.7 cells |
| Positive IF/ICC detected in | HeLa cells |
推荐稀释比
| 应用 | 推荐稀释比 |
|---|---|
| Western Blot (WB) | WB : 1:5000-1:50000 |
| Immunofluorescence (IF)/ICC | IF/ICC : 1:500-1:2000 |
| It is recommended that this reagent should be titrated in each testing system to obtain optimal results. | |
| Sample-dependent, Check data in validation data gallery. | |
产品信息
86239-1-RR targets PDIA4 in WB, IF/ICC, ELISA applications and shows reactivity with human, mouse samples.
| 经测试应用 | WB, IF/ICC, ELISA Application Description |
| 经测试反应性 | human, mouse |
| 免疫原 |
CatNo: Eg3011 Product name: Recombinant Human PDIA4/ERp72 protein (rFc Tag) Source: mammalian cells-derived, V37 Tag: C-rFc Domain: 21-641 aa of NM_004911.5 Sequence: VAGAEGPDEDSSNRENAIEDEEEEEEEDDDEEEDDLEVKEENGVLVLNDANFDNFVADKDTVLLEFYAPWCGHCKQFAPEYEKIANILKDKDPPIPVAKIDATSASVLASRFDVSGYPTIKILKKGQAVDYEGSRTQEEIVAKVREVSQPDWTPPPEVTLVLTKENFDEVVNDADIILVEFYAPWCGHCKKLAPEYEKAAKELSKRSPPIPLAKVDATAETDLAKRFDVSGYPTLKIFRKGRPYDYNGPREKYGIVDYMIEQSGPPSKEILTLKQVQEFLKDGDDVIIIGVFKGESDPAYQQYQDAANNLREDYKFHHTFSTEIAKFLKVSQGQLVVMQPEKFQSKYEPRSHMMDVQGSTQDSAIKDFVLKYALPLVGHRKVSNDAKRYTRRPLVVVYYSVDFSFDYRAATQFWRSKVLEVAKDFPEYTFAIADEEDYAGEVKDLGLSESGEDVNAAILDESGKKFAMEPEEFDSDTLREFVTAFKKGKLKPVIKSQPVPKNNKGPVKVVVGKTFDSIVMDPKKDVLIEFYAPWCGHCKQLEPVYNSLAKKYKGQKGLVIAKMDATANDVPSDRYKVEGFPTIYFAPSGDKKNPVKFEGGDRDLEHLSKFIEEHATKLSRT 种属同源性预测 |
| 宿主/亚型 | Rabbit / IgG |
| 抗体类别 | Recombinant |
| 产品类型 | Antibody |
| 全称 | protein disulfide isomerase family A, member 4 |
| 别名 | ERp72, EC:5.3.4.1, ERp 72, ERp70, ERp-72 |
| 计算分子量 | 73 kDa |
| 观测分子量 | 75 kDa |
| GenBank蛋白编号 | NM_004911.5 |
| 基因名称 | ERp72 |
| Gene ID (NCBI) | 9601 |
| 偶联类型 | Unconjugated |
| 形式 | Liquid |
| 纯化方式 | Protein A purification |
| UNIPROT ID | P13667 |
| 储存缓冲液 | PBS with 0.02% sodium azide and 50% glycerol, pH 7.3. |
| 储存条件 | Store at -20°C. Stable for one year after shipment. Aliquoting is unnecessary for -20oC storage. |
背景介绍
PDIA4(Protein disulfide-isomerase A4) is also named as ERP70, ERP72 and belongs to the protein disulfide isomerase family. It catalyzes the rearrangement of -S-S- bonds in proteins. ERp72 is a soluble protein localized in the ER lumen and contains the COOH-terminal retention signal, KEEL. There are 6 cysteine residues in the amino acid sequences of mouse and human ERp72. All of the cysteine residues occur in the internal thioredoxin motif, CGHC(PMID:15475357). The full length protein has a signal peptide with 20 amino acid.
实验方案
| Product Specific Protocols | |
|---|---|
| IF protocol for PDIA4 antibody 86239-1-RR | Download protocol |
| WB protocol for PDIA4 antibody 86239-1-RR | Download protocol |
| Standard Protocols | |
|---|---|
| Click here to view our Standard Protocols |

