验证数据展示
经过测试的应用
| Positive WB detected in | HeLa cells, HEK-293 cells, HepG2 cells, Jurkat cells, K-562 cells, HSC-T6 cells, PC-12 cells, NIH/3T3 cells, 4T1 cells |
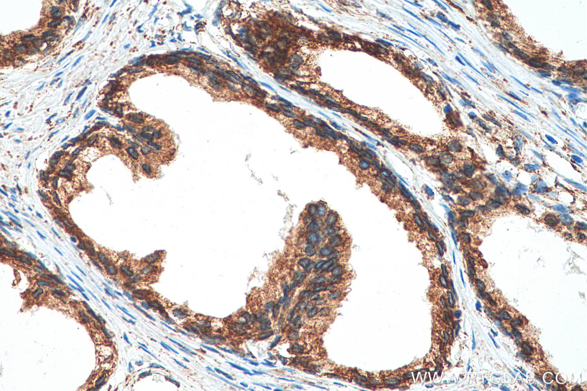
| Positive IHC detected in | human prostate cancer tissue, human colon tissue Note: suggested antigen retrieval with TE buffer pH 9.0; (*) Alternatively, antigen retrieval may be performed with citrate buffer pH 6.0 |
| Positive IF-P detected in | mouse lung tissue |
推荐稀释比
| 应用 | 推荐稀释比 |
|---|---|
| Western Blot (WB) | WB : 1:5000-1:50000 |
| Immunohistochemistry (IHC) | IHC : 1:500-1:2000 |
| Immunofluorescence (IF)-P | IF-P : 1:200-1:800 |
| It is recommended that this reagent should be titrated in each testing system to obtain optimal results. | |
| Sample-dependent, Check data in validation data gallery. | |
发表文章中的应用
| IHC | See 1 publications below |
产品信息
80170-1-RR targets PDI in WB, IHC, IF-P, ELISA applications and shows reactivity with human, mouse, rat samples.
| 经测试应用 | WB, IHC, IF-P, ELISA Application Description |
| 文献引用应用 | IHC |
| 经测试反应性 | human, mouse, rat |
| 文献引用反应性 | mouse |
| 免疫原 |
CatNo: Ag1747 Product name: Recombinant human PDI protein Source: e coli.-derived, PGEX-4T Tag: GST Domain: 324-508 aa of NM_000918 Sequence: MTKYKPESEELTAEWITEFCHRFLEGKIKPHLMSQELPEDWDKQPVKVLVGKNFEDVAFDEKKNVFVEFYAPWCGHCKQLAPIWDKLGETYKDHENIVIAKMDSTANEVEAVKVHSFPTLKFFPASADRTVIDYNGERTLDGFKKFLESGGQDGAGDDDDLEDLEEAEEPDMEEDDDQKAVKDEL 种属同源性预测 |
| 宿主/亚型 | Rabbit / IgG |
| 抗体类别 | Recombinant |
| 产品类型 | Antibody |
| 全称 | prolyl 4-hydroxylase, beta polypeptide |
| 别名 | P4HB, Cellular thyroid hormone-binding protein, CLCRP1, DSI, EC:5.3.4.1 |
| 计算分子量 | 57 kDa |
| 观测分子量 | 57 kDa |
| GenBank蛋白编号 | NM_000918 |
| 基因名称 | PDI |
| Gene ID (NCBI) | 5034 |
| RRID | AB_2918871 |
| 偶联类型 | Unconjugated |
| 形式 | Liquid |
| 纯化方式 | Protein A purification |
| UNIPROT ID | P07237 |
| 储存缓冲液 | PBS with 0.02% sodium azide and 50% glycerol, pH 7.3. |
| 储存条件 | Store at -20°C. Stable for one year after shipment. Aliquoting is unnecessary for -20oC storage. |
背景介绍
PDIA1(Protein disulfide-isomerase) is also named as ERBA2L, PDI, P4HB, PO4DB. It is a multifunctional protein that catalyzes the formation, breakage and rearrangement of disulfide bonds. In some cell types, it seems to be secreted or associated with the plasma membrane, where it undergoes constant shedding and replacement from intracellular sources.It can exsit as homodimer and monomers and homotetramers may also occur(PMID:12095988).
实验方案
| Product Specific Protocols | |
|---|---|
| IF protocol for PDI antibody 80170-1-RR | Download protocol |
| IHC protocol for PDI antibody 80170-1-RR | Download protocol |
| WB protocol for PDI antibody 80170-1-RR | Download protocol |
| Standard Protocols | |
|---|---|
| Click here to view our Standard Protocols |







