验证数据展示
经过测试的应用
| Positive WB detected in | HeLa cells, A431 cells, BALB/3T3 clone A31 cells, HEK293 cells, Jurkat cells, MCF-7 cells, PC-12 cells, NIH/3T3 cells, C2C12 cells, mouse spleen tissue, rat spleen tissue |
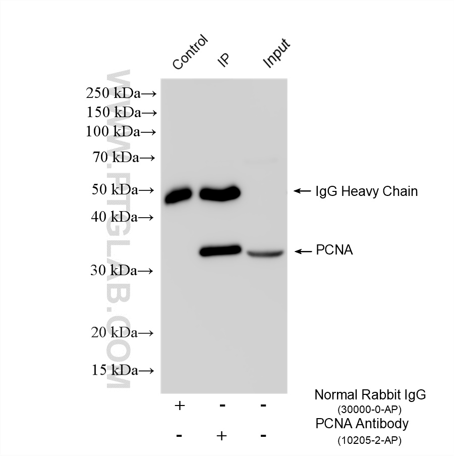
| Positive IP detected in | MCF-7 cells, HeLa cells |
| Positive IHC detected in | human stomach cancer tissue, human breast cancer tissue, human colon cancer tissue, human liver cancer tissue, human malignant melanoma tissue Note: suggested antigen retrieval with TE buffer pH 9.0; (*) Alternatively, antigen retrieval may be performed with citrate buffer pH 6.0 |
| Positive IF-P detected in | mouse testis tissue, human breast cancer tissue |
推荐稀释比
| 应用 | 推荐稀释比 |
|---|---|
| Western Blot (WB) | WB : 1:5000-1:50000 |
| Immunoprecipitation (IP) | IP : 0.5-4.0 ug for 1.0-3.0 mg of total protein lysate |
| Immunohistochemistry (IHC) | IHC : 1:1500-1:6000 |
| Immunofluorescence (IF)-P | IF-P : 1:50-1:500 |
| It is recommended that this reagent should be titrated in each testing system to obtain optimal results. | |
| Sample-dependent, Check data in validation data gallery. | |
产品信息
10205-2-AP targets PCNA in WB, IHC, IF-P, IP, CoIP, ELISA, Cell treatment applications and shows reactivity with human, mouse, rat samples.
| 经测试应用 | WB, IHC, IF-P, IP, ELISA Application Description |
| 文献引用应用 | WB, IHC, IF, IP, CoIP, Cell treatment |
| 经测试反应性 | human, mouse, rat |
| 文献引用反应性 | human, mouse, rat, rabbit, chicken, goat, sheep, fish, ducks, medaka embryos |
| 免疫原 |
CatNo: Ag0277 Product name: Recombinant human PCNA protein Source: e coli.-derived, PGEX-4T Tag: GST Domain: 8-256 aa of BC000491 Sequence: QGSILKKVLEALKDLINEACWDISSSGVNLQSMDSSHVSLVQLTLRSEGFDTYRCDRNLAMGVNLTSMSKILKCAGNEDIITLRAEDNADTLALVFEAPNQEKVSDYEMKLMDLDVEQLGIPEQEYSCVVKMPSGEFARICRDLSHIGDAVVISCAKDGVKFSASGELGNGNIKLSQTSNVDKEEEAVTIEMNEPVQLTFALRYLNFFTKATPLSSTVTLSMSADVPLVVEYKIADMGHLKYYLAPKIE 种属同源性预测 |
| 宿主/亚型 | Rabbit / IgG |
| 抗体类别 | Polyclonal |
| 产品类型 | Antibody |
| 全称 | proliferating cell nuclear antigen |
| 别名 | Cyclin, proliferating cell nuclear antigen |
| 计算分子量 | 29 kDa/31 kDa |
| 观测分子量 | 36-38 kDa |
| GenBank蛋白编号 | BC000491 |
| 基因名称 | PCNA |
| Gene ID (NCBI) | 5111 |
| RRID | AB_2160330 |
| 偶联类型 | Unconjugated |
| 形式 | Liquid |
| 纯化方式 | Antigen affinity purification |
| UNIPROT ID | P12004 |
| 储存缓冲液 | PBS with 0.02% sodium azide and 50% glycerol, pH 7.3. |
| 储存条件 | Store at -20°C. Stable for one year after shipment. Aliquoting is unnecessary for -20oC storage. |
背景介绍
Proliferating Cell Nuclear Antigen, commonly known as PCNA, is a protein that acts as a processivity factor for DNA polymerase δ in eukaryotic cells. This protein is an auxiliary protein of DNA polymerase delta and is involved in the control of eukaryotic DNA replication by increasing the polymerase's processibility during elongation of the leading strand. PCNA induces a robust stimulatory effect on the 3'-5' exonuclease and 3'-phosphodiesterase, but not apurinic-apyrimidinic (AP) endonuclease, APEX2 activities. It has to be loaded onto DNA in order to be able to stimulate APEX2. PCNA protein is highly conserved during evolution; the deduced amino acid sequences of rat and human differ by only 4 of 261 amino acids. PCNA has been used as loading control for proliferating cells. This antibody is a rabbit polyclonal antibody raised against an internal region of human PCNA. The calculated molecular weight of PCNA is 29 kDa, but modified PCNA is 36kDa (PMID: 1358458).
实验方案
| Product Specific Protocols | |
|---|---|
| IF protocol for PCNA antibody 10205-2-AP | Download protocol |
| IHC protocol for PCNA antibody 10205-2-AP | Download protocol |
| IP protocol for PCNA antibody 10205-2-AP | Download protocol |
| WB protocol for PCNA antibody 10205-2-AP | Download protocol |
| Standard Protocols | |
|---|---|
| Click here to view our Standard Protocols |
发表文章
| Species | Application | Title |
|---|---|---|
J Hematol Oncol METTL16 promotes liver cancer stem cell self-renewal via controlling ribosome biogenesis and mRNA translation | ||
Protein Cell NDFIP1 limits cellular TAZ accumulation via exosomal sorting to inhibit NSCLC proliferation | ||
Mil Med Res Aspartoacylase suppresses prostate cancer progression by blocking LYN activation | ||
Brain Behav Immun An enriched environment restores hepatitis B vaccination-mediated impairments in synaptic function through IFN-γ/Arginase1 signaling. | ||
Nat Commun The RNA-binding protein LRPPRC promotes resistance to CDK4/6 inhibition in lung cancer | ||
Nat Commun Four-dimensional hydrogel dressing adaptable to the urethral microenvironment for scarless urethral reconstruction |


















