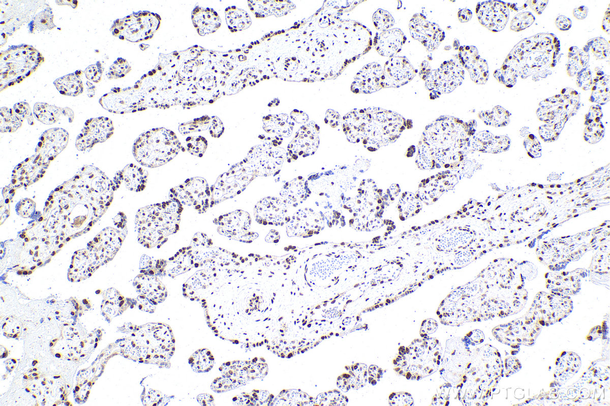
IHCeasy® PCNA Ready-To-Use IHC Kit
PCNA Ready-to-use reagent kit for IHC.
Reactivity
Human, Mouse, Rat
Sample Type
FFPE tissue
Cat no : KHC2182
Synonyms
proliferating cell nuclear antigen, Cyclin
Validation Data Gallery
Product Information
KHC2182 is a ready-to-use IHC kit for staining of PCNA. The kit provides all reagents, from antigen retrieval to cover slip mounting, that require little to no diluting or handling prior to use. Simply apply the reagents to your sample slide according to the protocol and you're steps away from obtaining high-quality IHC data.
| Product name | IHCeasy PCNA Ready-To-Use IHC Kit |
| Sample type | FFPE tissue |
| Assay type | Immunohistochemistry |
| Primary antibody type | Rabbit Polyclonal |
| Secondary antibody type | Polymer-HRP-Goat anti-Rabbit |
| Reactivity | Human, Mouse, Rat |
Kit components
| Component | Size | Concentration |
|---|---|---|
| Antigen Retrieval Buffer | 100 mL | 50× |
| Washing Buffer | 100 mL ×2 | 20× |
| Blocking Buffer | 5 mL | RTU |
| Primary Antibody | 5 mL | RTU |
| Secondary Antibody | 5 mL | RTU |
| Chromogen Component A | 0.2 mL | RTU |
| Chromogen Component B | 4 mL | RTU |
| Signal Enhancer | 5 mL | RTU |
| Counter Staining Reagent | 5 mL | RTU |
| Mounting Media | 5 mL | RTU |
| Datasheet | 1 Copy | |
| Manual | 1 Copy |
Background Information
The proliferating cell nuclear antigen (PCNA), a protein synthesized in early G1 and S phases of the cell cycle, functions in cell cycle progression, DNA replication and DNA repair. In early S phase, PCNA exhibits granular distribution and is absent from the nucleoli; however, in late S phase, it relocates to the nucleoli. PCNA exists in two basic forms: one involved in ongoing DNA replication, which localizes specifically to the nucleus, and a second, soluble form, not implicated in constant synthesis. Interestingly, the latter form degrades in the presence of organic solvents, rendering it undetectable by histological methods in tissues using organic fixatives, and thus also providing a method of visualizing only the synthesizing form.
Properties
| Storage Instructions | All the reagents are stored at 2-8°C. The kit is stable for 6 months from the date of receipt. |
| Synonyms | proliferating cell nuclear antigen, Cyclin |





