验证数据展示
经过测试的应用
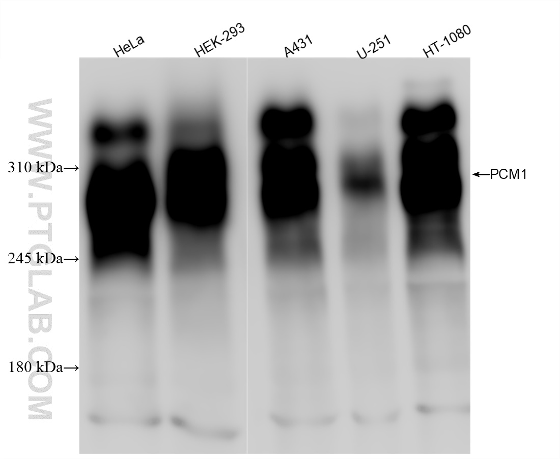
| Positive WB detected in | HeLa cells, NIH/3T3 cells, HEK-293 cells, A431 cells, U-251 cells, HT-1080 cells |
| Positive IHC detected in | human tonsillitis tissue Note: suggested antigen retrieval with TE buffer pH 9.0; (*) Alternatively, antigen retrieval may be performed with citrate buffer pH 6.0 |
| Positive IF/ICC detected in | HepG2 cells |
| Positive FC (Intra) detected in | K562, A549 cells |
推荐稀释比
| 应用 | 推荐稀释比 |
|---|---|
| Western Blot (WB) | WB : 1:1000-1:6000 |
| Immunohistochemistry (IHC) | IHC : 1:50-1:500 |
| Immunofluorescence (IF)/ICC | IF/ICC : 1:300-1:1200 |
| Flow Cytometry (FC) (INTRA) | FC (INTRA) : 0.25 ug per 10^6 cells in a 100 µl suspension |
| It is recommended that this reagent should be titrated in each testing system to obtain optimal results. | |
| Sample-dependent, Check data in validation data gallery. | |
产品信息
84979-1-RR targets PCM1 in WB, IHC, IF/ICC, FC (Intra), ELISA applications and shows reactivity with human, mouse samples.
| 经测试应用 | WB, IHC, IF/ICC, FC (Intra), ELISA Application Description |
| 经测试反应性 | human, mouse |
| 免疫原 |
CatNo: Ag13977 Product name: Recombinant human PCM1 protein Source: e coli.-derived, PET28a Tag: 6*His Domain: 1-254 aa of BC000453 Sequence: MATGGGPFEDGMNDQDLPNWSNENVDDRLNNMDWGAQQKKANRSSEKNKKKFGVESDKRVTNDISPESSPGVGRRRTKTPHTFPHSRYMSQMSVPEQAELEKLKQRINFSDLDQRSIGSDSQGRATAANNKRQLSENRKPFNFLPMQINTNKSKDASTSPPNRETIGSAQCKELFASALSNDLLQNCQVSEEDGRGEPAMESSQIVSRLVQIRDYITKASSMREDLVEKNERSANVERLTHLIDHLKEQEKSYM 种属同源性预测 |
| 宿主/亚型 | Rabbit / IgG |
| 抗体类别 | Recombinant |
| 产品类型 | Antibody |
| 全称 | pericentriolar material 1 |
| 别名 | 242199A9, hPCM 1, hPCM-1, PCM 1, PCM-1 |
| 计算分子量 | 2024 aa, 228 kDa |
| 观测分子量 | 245-320 kDa |
| GenBank蛋白编号 | BC000453 |
| 基因名称 | PCM1 |
| Gene ID (NCBI) | 5108 |
| RRID | AB_3743906 |
| 偶联类型 | Unconjugated |
| 形式 | Liquid |
| 纯化方式 | Protein A purfication |
| UNIPROT ID | Q15154 |
| 储存缓冲液 | PBS with 0.02% sodium azide and 50% glycerol, pH 7.3. |
| 储存条件 | Store at -20°C. Stable for one year after shipment. Aliquoting is unnecessary for -20oC storage. |
背景介绍
Pericentriolar material 1 (PCM1) is a component of centriolar satellites, which are electron dense granules scattered around centrosomes (PMID: 10579718). PCM1 is required for centrosome assembly and function. It acts as a scaffold to target several proteins to the centrosome in a dynein motor-dependent manner and regulate microtubular dynamics (PMID:18762586; 12403812). It is also involved in the biogenesis of cilia (PMID: 18772192). Chromosomal aberrations involving PCM1 gene are associated with papillary thyroid carcinomas and a variety of hematological malignancies, including atypical chronic myeloid leukemia and T-cell lymphoma. (PMID: 10980597; 16091753; 15805263; 16424865).
实验方案
| Product Specific Protocols | |
|---|---|
| FC protocol for PCM1 antibody 84979-1-RR | Download protocol |
| IF protocol for PCM1 antibody 84979-1-RR | Download protocol |
| IHC protocol for PCM1 antibody 84979-1-RR | Download protocol |
| WB protocol for PCM1 antibody 84979-1-RR | Download protocol |
| Standard Protocols | |
|---|---|
| Click here to view our Standard Protocols |







