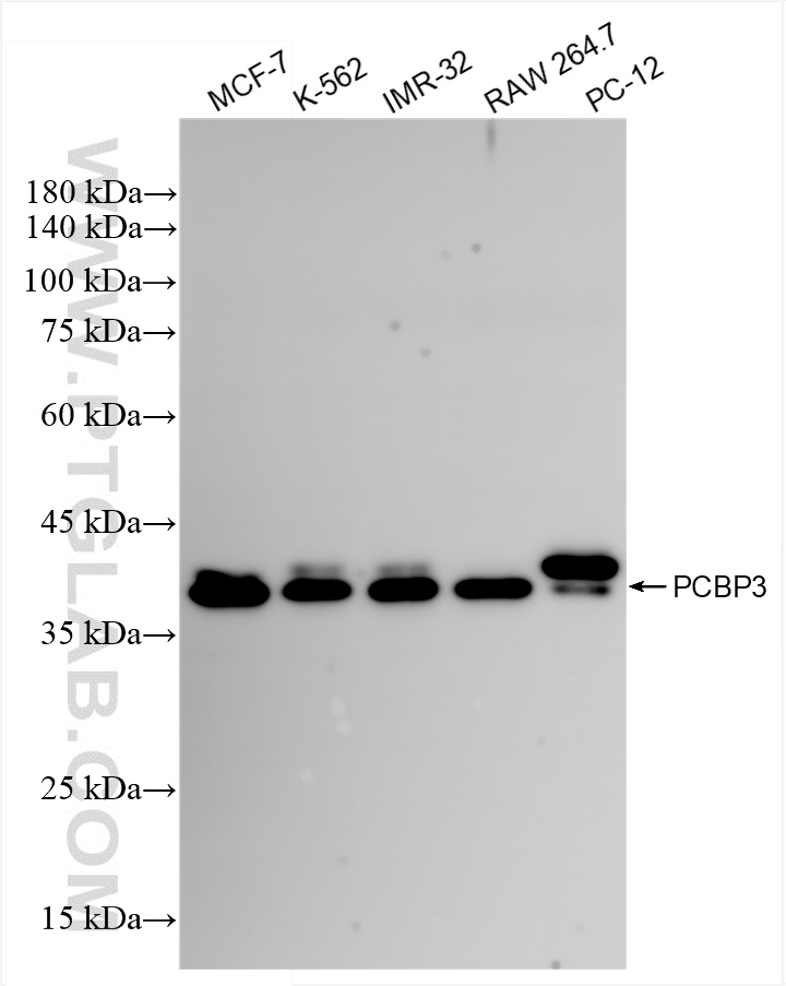
验证数据展示
产品信息
85180-3-PBS targets PCBP3 as part of a matched antibody pair:
MP01894-1: 85180-2-PBS capture and 85180-3-PBS detection (validated in Cytometric bead array)
MP01894-2: 85180-3-PBS capture and 85180-1-PBS detection (validated in Cytometric bead array)
Unconjugated rabbit recombinant monoclonal antibody in PBS only (BSA and azide free) storage buffer at a concentration of 1 mg/mL, ready for conjugation. Created using Proteintech’s proprietary in-house recombinant technology. Recombinant production enables unrivalled batch-to-batch consistency, easy scale-up, and future security of supply.
This conjugation ready format makes antibodies ideal for use in many applications including: ELISAs, multiplex assays requiring matched pairs, mass cytometry, and multiplex imaging applications.Antibody use should be optimized by the end user for each application and assay.
| 经测试应用 | WB, Cytometric bead array, Indirect ELISA Application Description |
| 经测试反应性 | human, mouse, rat |
| 免疫原 |
CatNo: Ag9202 Product name: Recombinant human PCBP3 protein Source: e coli.-derived, PGEX-4T Tag: GST Domain: 1-313 aa of BC012061 Sequence: MESKVSEGGLNVTLTIRLLMHGKEVGSIIGKKGETVKKMREESGARINISEGNCPERIVTITGPTDAIFKAFAMIAYKFEEDIINSMSNSPATSKPPVTLRLVVPASQCGSLIGKGGSKIKEIRESTGAQVQVAGDMLPNSTERAVTISGTPDAIIQCVKQICVVMLEAYTIQGQYAIPHPDLTKLHQLAMQQTPFPPLGQTNPAFPGEKLPLHSSEEAQNLMGQSSGLDASPPASTHELTIPNDLIGCIIGRQGTKINEIRQMSGAQIKIANATEGSSERQITITGTPANISLAQYLINARLTSEVTGMGTL 种属同源性预测 |
| 宿主/亚型 | Rabbit / IgG |
| 抗体类别 | Recombinant |
| 产品类型 | Antibody |
| 全称 | poly(rC) binding protein 3 |
| 别名 | 242791F11, ALPHA CP3, Alpha-CP3, PCBP3OT, PCBP3-OT1 |
| 计算分子量 | 313 aa, 33 kDa |
| 观测分子量 | 39 kDa |
| GenBank蛋白编号 | BC012061 |
| 基因名称 | PCBP3 |
| Gene ID (NCBI) | 54039 |
| 偶联类型 | Unconjugated |
| 形式 | Liquid |
| 纯化方式 | Protein A purification |
| UNIPROT ID | P57721 |
| 储存缓冲液 | PBS only, pH 7.3. |
| 储存条件 | Store at -80°C. The product is shipped with ice packs. Upon receipt, store it immediately at -80°C |
背景介绍
PCBP3 is a member of the KH-domain protein subfamily. Proteins of this subfamily, also referred to as alpha-CPs, bind to RNA with a specificity for C-rich pyrimidine regions. Alpha-CPs play important roles in post-transcriptional activities and have different cellular distributions. PCBP3 is broadly expressed in various tissues, including the testis and endometrium. It has been associated with diseases such as dementia.



