验证数据展示
经过测试的应用
| Positive WB detected in | Jurkat cells, MDA-MB-453 cells, HeLa cells, HEK-293T cells, HepG2 cells, PC-12 cells, NIH/3T3 cells |
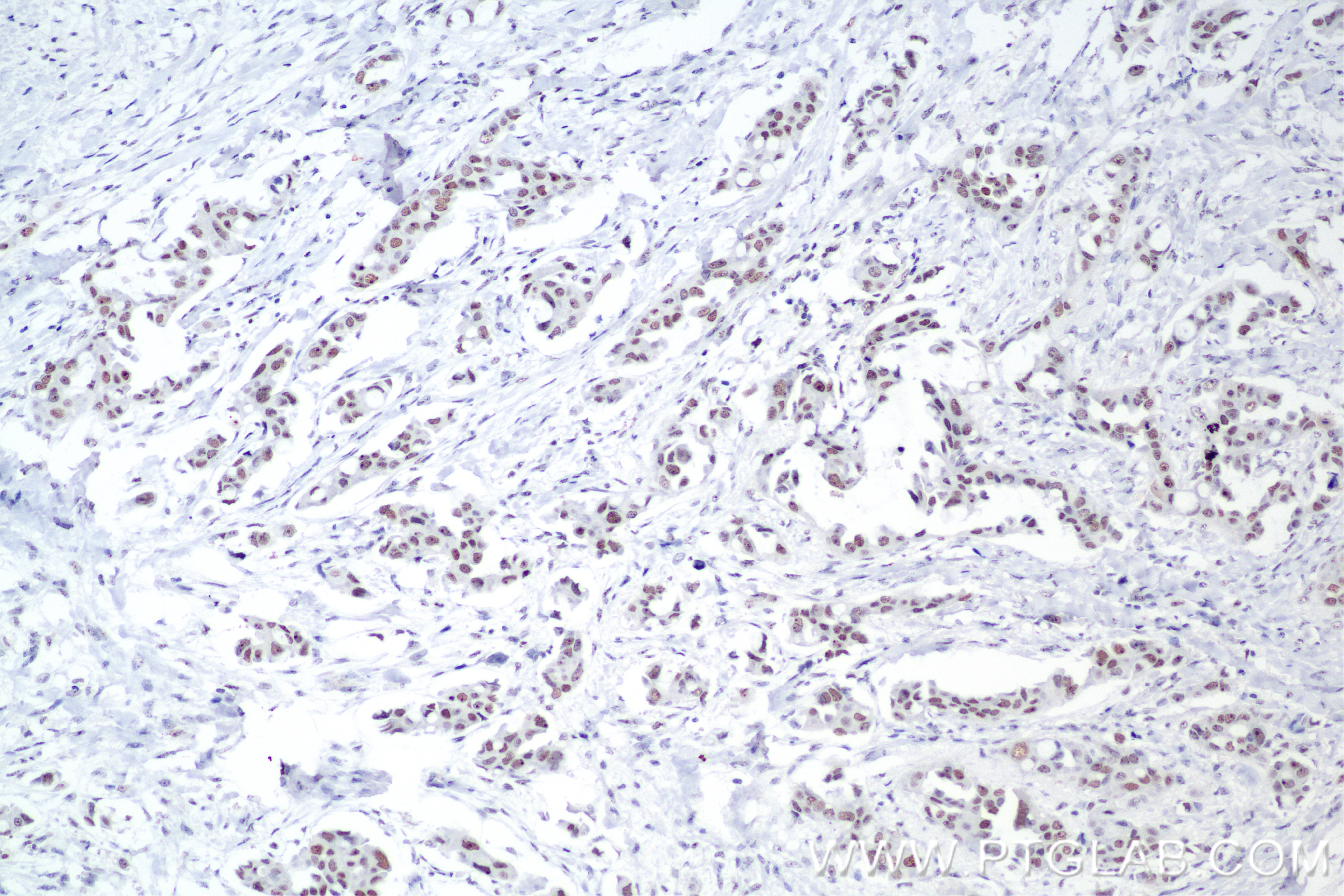
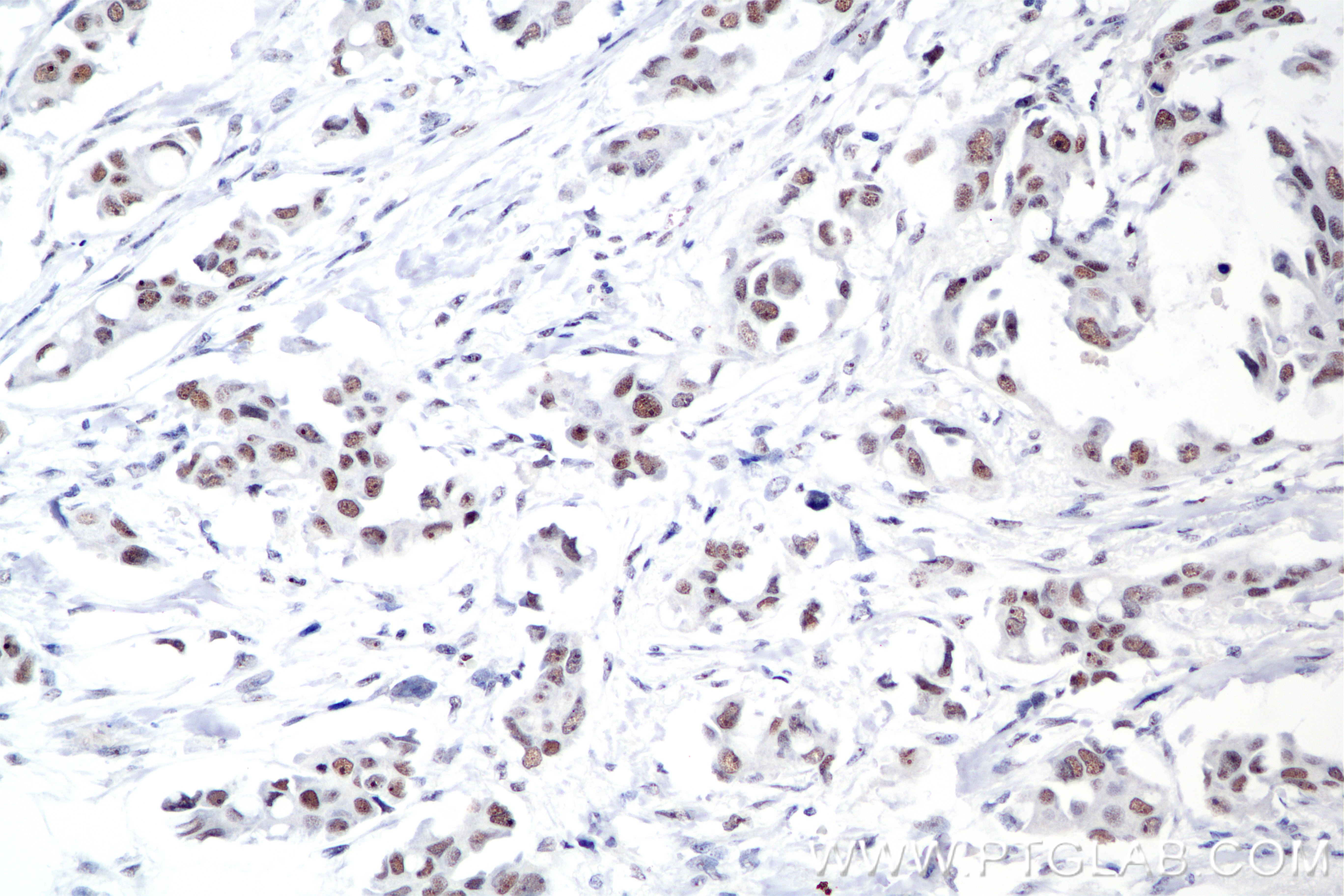
| Positive IHC detected in | Human Breast Cancer(Her2+;ER-;PR-) Note: suggested antigen retrieval with TE buffer pH 9.0; (*) Alternatively, antigen retrieval may be performed with citrate buffer pH 6.0 |
| Positive FC (Intra) detected in | A431 cells |
推荐稀释比
| 应用 | 推荐稀释比 |
|---|---|
| Western Blot (WB) | WB : 1:5000-1:50000 |
| Immunohistochemistry (IHC) | IHC : 1:500-1:2000 |
| Flow Cytometry (FC) (INTRA) | FC (INTRA) : 0.25 ug per 10^6 cells in a 100 µl suspension |
| It is recommended that this reagent should be titrated in each testing system to obtain optimal results. | |
| Sample-dependent, Check data in validation data gallery. | |
产品信息
85408-5-RR targets PARN in WB, IHC, FC (Intra), ELISA applications and shows reactivity with human, mouse, rat samples.
| 经测试应用 | WB, IHC, FC (Intra), ELISA Application Description |
| 经测试反应性 | human, mouse, rat |
| 免疫原 |
CatNo: Ag4774 Product name: Recombinant human PARN protein Source: e coli.-derived, PGEX-4T Tag: GST Domain: 1-347 aa of BC050029 Sequence: MEIIRSNFKSNLHKVYQAIEEADFFAIDGEFSGISDGPSVSALTNGFDTPEERYQKLKKHSMDFLLFQFGLCTFKYDYTDSKYITKSFNFYVFPKPFNRSSPDVKFVCQSSSIDFLASQGFDFNKVFRNGIPYLNQEEERQLREQYDEKRSQANGAGALSYVSPNTSKCPVTIPEDQKKFIDQVVEKIEDLLQSEENKNLDLEPCTGFQRKLIYQTLSWKYPKGIHVETLETEKKERYIVISKVDEEERKRREQQKHAKEQEELNDAVGFSRVIHAIANSGKLVIGHNMLLDVMHTVHQFYCPLPADLSEFKEMTTCVFPRLLDTKLMASTQPFKDIINNTSLAELE 种属同源性预测 |
| 宿主/亚型 | Rabbit / IgG |
| 抗体类别 | Recombinant |
| 产品类型 | Antibody |
| 全称 | poly(A)-specific ribonuclease (deadenylation nuclease) |
| 别名 | 242993F5, DAN, EC:3.1.13.4, Poly(A)-specific ribonuclease PARN, Polyadenylate-specific ribonuclease |
| 计算分子量 | 639 aa, 73 kDa |
| 观测分子量 | 74 kDa |
| GenBank蛋白编号 | BC050029 |
| 基因名称 | PARN |
| Gene ID (NCBI) | 5073 |
| RRID | AB_3744201 |
| 偶联类型 | Unconjugated |
| 形式 | Liquid |
| 纯化方式 | Protein A purification |
| UNIPROT ID | O95453 |
| 储存缓冲液 | PBS with 0.02% sodium azide and 50% glycerol, pH 7.3. |
| 储存条件 | Store at -20°C. Stable for one year after shipment. Aliquoting is unnecessary for -20oC storage. |
背景介绍
Poly(A)-specific ribonuclease (PARN) is a deadenylase enzyme that is present in mammalian cells. As a deadenylase, PARN interacts with the cap and the poly(A) tail of mRNA to control the length of the poly(A) tail and regulate gene expression. Therefore, it plays a role in mRNA degradation in the nucleus and cytoplasm.
实验方案
| Product Specific Protocols | |
|---|---|
| FC protocol for PARN antibody 85408-5-RR | Download protocol |
| IHC protocol for PARN antibody 85408-5-RR | Download protocol |
| WB protocol for PARN antibody 85408-5-RR | Download protocol |
| Standard Protocols | |
|---|---|
| Click here to view our Standard Protocols |




