验证数据展示
经过测试的应用
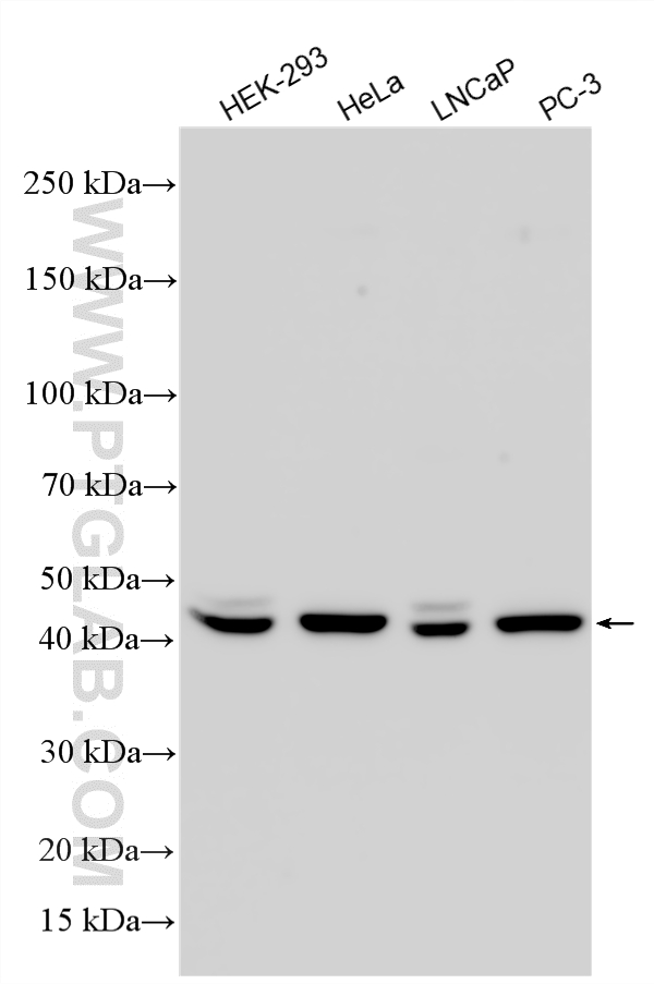
| Positive WB detected in | HEK-293 cells, HeLa cells, human placenta tissue, PC-3 cells, LNCaP cells |
| Positive IP detected in | HEK-293 cells |
| Positive IHC detected in | mouse kidney tissue, human pancreas tissue Note: suggested antigen retrieval with TE buffer pH 9.0; (*) Alternatively, antigen retrieval may be performed with citrate buffer pH 6.0 |
| Positive IF/ICC detected in | HepG2 cells, MCF-7 cells |
推荐稀释比
| 应用 | 推荐稀释比 |
|---|---|
| Western Blot (WB) | WB : 1:1000-1:8000 |
| Immunoprecipitation (IP) | IP : 0.5-4.0 ug for 1.0-3.0 mg of total protein lysate |
| Immunohistochemistry (IHC) | IHC : 1:50-1:500 |
| Immunofluorescence (IF)/ICC | IF/ICC : 1:10-1:100 |
| It is recommended that this reagent should be titrated in each testing system to obtain optimal results. | |
| Sample-dependent, Check data in validation data gallery. | |
产品信息
13996-1-AP targets PARD6B in WB, IHC, IF/ICC, IP, ELISA applications and shows reactivity with human, mouse, rat samples.
| 经测试应用 | WB, IHC, IF/ICC, IP, ELISA Application Description |
| 文献引用应用 | WB, IHC, IF |
| 经测试反应性 | human, mouse, rat |
| 文献引用反应性 | human, mouse, rat |
| 免疫原 |
CatNo: Ag5083 Product name: Recombinant human PARD6B protein Source: e coli.-derived, PGEX-4T Tag: GST Domain: 1-372 aa of BC060847 Sequence: MNRSHRHGAGSGCLGTMEVKSKFGAEFRRFSLERSKPGKFEEFYGLLQHVHKIPNVDVLVGYADIHGDLLPINNDDNYHKAVSTANPLLRIFIQKKEEADYSAFGTDTLIKKKNVLTNVLRPDNHRKKPHIVISMPQDFRPVSSIIDVDILPETHRRVRLYKYGTEKPLGFYIRDGSSVRVTPHGLEKVPGIFISRLVPGGLAQSTGLLAVNDEVLEVNGIEVSGKSLDQVTDMMIANSRNLIITVRPANQRNNVVRNSRTSGSSGQSTDNSLLGYPQQIEPSFEPEDEDSEEDDIIIEDNGVPQQIPKAVPNTESLESLTQIELSFESGQNGFIPSNEVSLAAIASSSNTEFETHAPDQKLLEEDGTIITL 种属同源性预测 |
| 宿主/亚型 | Rabbit / IgG |
| 抗体类别 | Polyclonal |
| 产品类型 | Antibody |
| 全称 | par-6 partitioning defective 6 homolog beta (C. elegans) |
| 别名 | PAR-6 beta, PAR6B, PAR-6B, Partitioning defective 6 homolog beta |
| 计算分子量 | 41 kDa |
| 观测分子量 | 50-53 kDa |
| GenBank蛋白编号 | BC060847 |
| 基因名称 | PARD6B |
| Gene ID (NCBI) | 84612 |
| RRID | AB_2159779 |
| 偶联类型 | Unconjugated |
| 形式 | Liquid |
| 纯化方式 | Antigen affinity purification |
| UNIPROT ID | Q9BYG5 |
| 储存缓冲液 | PBS with 0.02% sodium azide and 50% glycerol, pH 7.3. |
| 储存条件 | Store at -20°C. Stable for one year after shipment. Aliquoting is unnecessary for -20oC storage. |
背景介绍
PARD6B (also named PAR6B) is a member of the PAR6 family. PARD6B is known to play a key role in mammary epithelial cell biology. Several studies have been reported which indicate deregulated PARD6B signaling contributes to malignant epithelial cell phenotypes due predominantly to disrupted polymerization and maintenance of tight junctions (PMID: 22957302). The approximately 4.8-kb long PARD6B mRNA was predominantly detected in both adult and fetal kidneys, while much weaker but significant signals were observed in the placenta, lung, and liver (PMID: 11260256). This antibody detects PARD6B with an apparent molecular weight of 50-53 kDa as has been demonstrated by several researches (PMID: 22496418; 25662318).
实验方案
| Product Specific Protocols | |
|---|---|
| IF protocol for PARD6B antibody 13996-1-AP | Download protocol |
| IHC protocol for PARD6B antibody 13996-1-AP | Download protocol |
| IP protocol for PARD6B antibody 13996-1-AP | Download protocol |
| WB protocol for PARD6B antibody 13996-1-AP | Download protocol |
| Standard Protocols | |
|---|---|
| Click here to view our Standard Protocols |
发表文章
| Species | Application | Title |
|---|---|---|
iScience Induced retinal pigment epithelial cells with anti-epithelial-to-mesenchymal transition ability delay retinal degeneration | ||
PLoS One PKCζ and JNK signaling regulate radiation-induced compensatory proliferation in parotid salivary glands. | ||
Theriogenology Influence of Wilms' tumor suppressor gene WT1 on bovine Sertoli cells polarity and tight junctions via non-canonical WNT signaling pathway. | ||
Cancer Lett Oncogenic functions and therapeutic potentials of targeted inhibition of SMARCAL1 in small cell lung cancer | ||
Cancer Gene Ther PRAD6A promotes lung adenocarcinoma cell proliferation and invasion through Serpina3 | ||
J Agric Food Chem Discovery and Functional Characterization of a Recombinant Fragment of Human Collagen Type XVII |











