IHCeasy® PARD6B Ready-To-Use IHC Kit
PARD6B Ready-to-use reagent kit for IHC.
Reactivity
Human, Mouse, Rat
Sample Type
FFPE tissue
Cat no : KHC2887
Synonyms
PAR-6 beta, PAR6B, PAR-6B, Partitioning defective 6 homolog beta
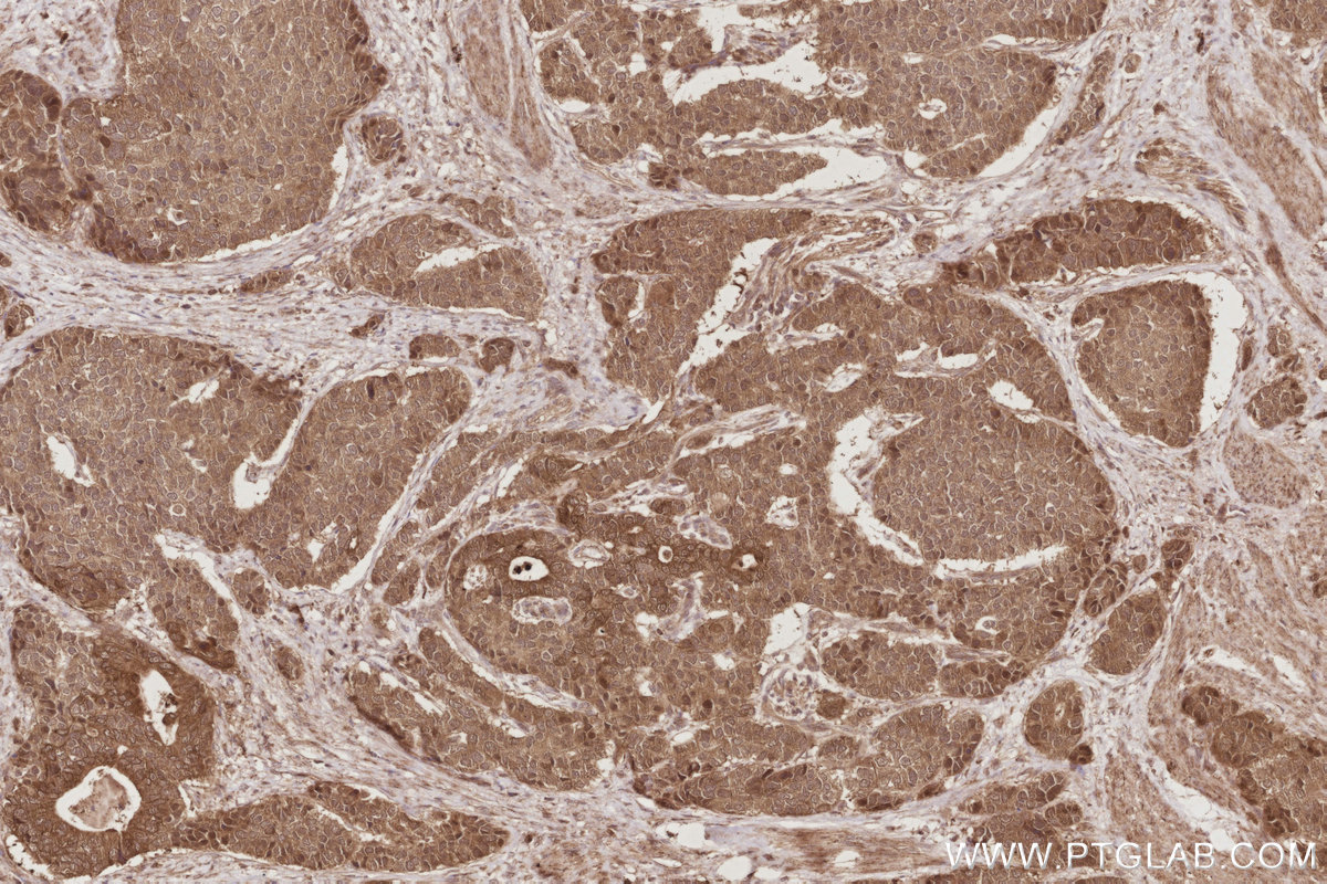
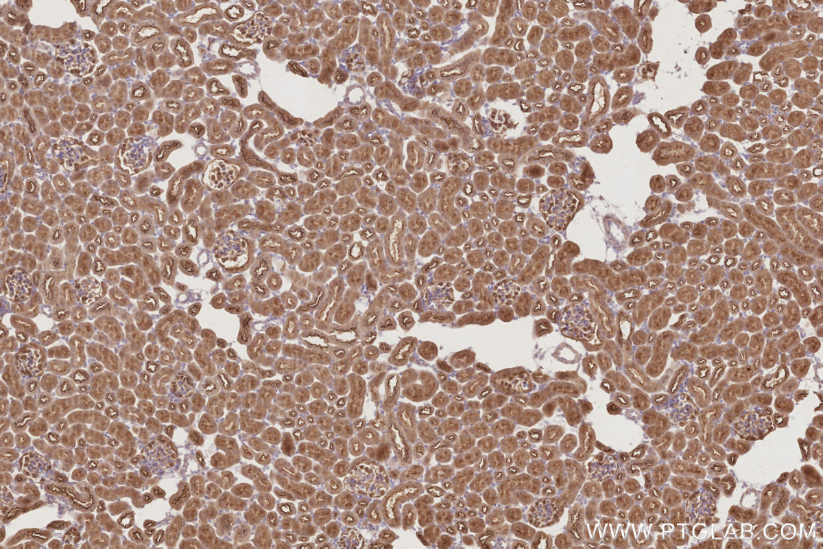
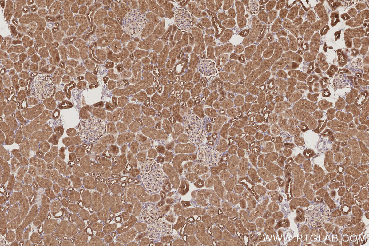
Validation Data Gallery
Product Information
KHC2887 is a ready-to-use IHC kit for staining of PARD6B. The kit provides all reagents, from antigen retrieval to cover slip mounting, that require little to no diluting or handling prior to use. Simply apply the reagents to your sample slide according to the protocol and you're steps away from obtaining high-quality IHC data.
| Product name | IHCeasy PARD6B Ready-To-Use IHC Kit |
| Sample type | FFPE tissue |
| Assay type | Immunohistochemistry |
| Primary antibody type | Rabbit Polyclonal |
| Secondary antibody type | Polymer-HRP-Goat anti-Rabbit |
| Reactivity | Human, Mouse, Rat |
Kit components
| Component | Size | Concentration |
|---|---|---|
| Antigen Retrieval Buffer | 100 mL | 50× |
| Washing Buffer | 100 mL ×2 | 20× |
| Blocking Buffer | 5 mL | RTU |
| Primary Antibody | 5 mL | RTU |
| Secondary Antibody | 5 mL | RTU |
| Chromogen Component A | 0.2 mL | RTU |
| Chromogen Component B | 4 mL | RTU |
| Signal Enhancer | 5 mL | RTU |
| Counter Staining Reagent | 5 mL | RTU |
| Mounting Media | 5 mL | RTU |
| Datasheet | 1 Copy | |
| Manual | 1 Copy |
Background Information
PARD6B (also named PAR6B) is a member of the PAR6 family. PARD6B is known to play a key role in mammary epithelial cell biology. Several studies have been reported which indicate deregulated PARD6B signaling contributes to malignant epithelial cell phenotypes due predominantly to disrupted polymerization and maintenance of tight junctions. The approximately 4.8-kb long PARD6B mRNA was predominantly detected in both adult and fetal kidneys, while much weaker but significant signals were observed in the placenta, lung, and liver.
Properties
| Storage Instructions | All the reagents are stored at 2-8°C. The kit is stable for 6 months from the date of receipt. |
| Synonyms | PAR-6 beta, PAR6B, PAR-6B, Partitioning defective 6 homolog beta |





