验证数据展示
经过测试的应用
| Positive WB detected in | human placenta tissue, MCF-7 cells |
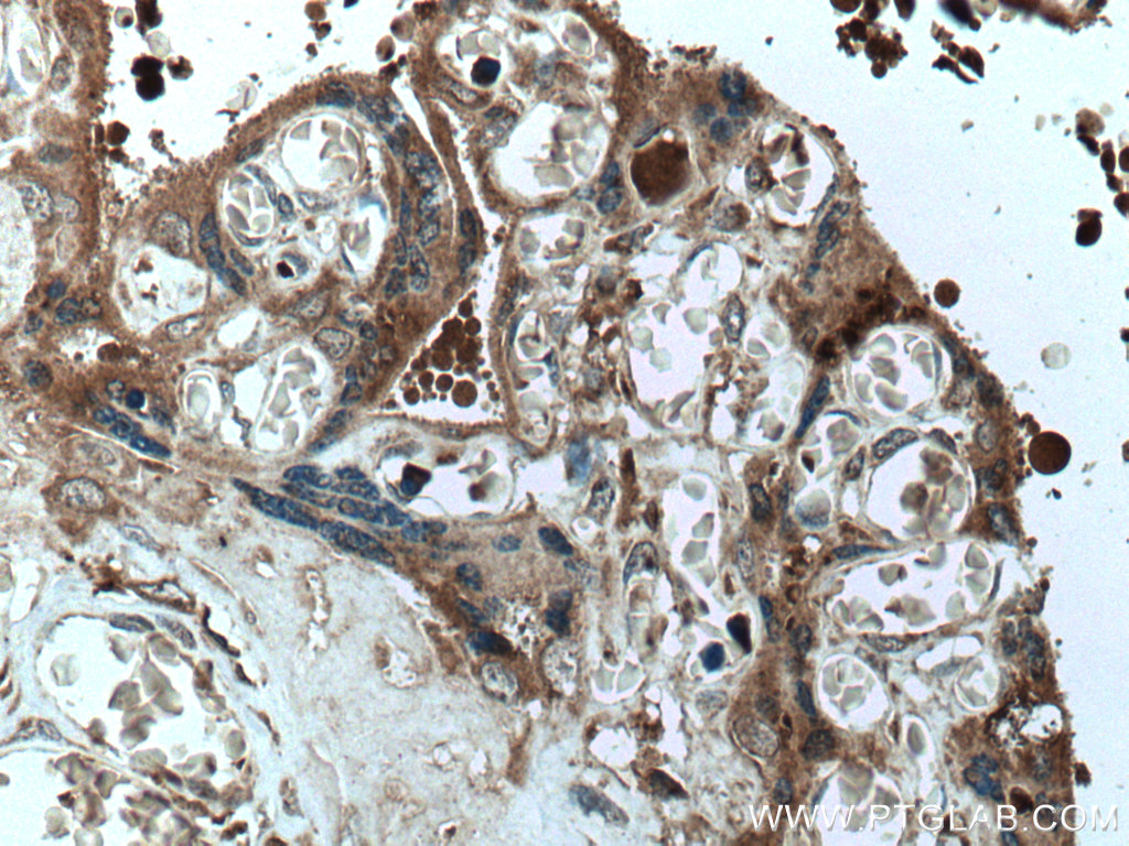
| Positive IHC detected in | human placenta tissue Note: suggested antigen retrieval with TE buffer pH 9.0; (*) Alternatively, antigen retrieval may be performed with citrate buffer pH 6.0 |
推荐稀释比
| 应用 | 推荐稀释比 |
|---|---|
| Western Blot (WB) | WB : 1:4000-1:10000 |
| Immunohistochemistry (IHC) | IHC : 1:500-1:1000 |
| It is recommended that this reagent should be titrated in each testing system to obtain optimal results. | |
| Sample-dependent, Check data in validation data gallery. | |
发表文章中的应用
| WB | See 1 publications below |
产品信息
66962-1-Ig targets PAPPA in WB, IHC, ELISA applications and shows reactivity with human samples.
| 经测试应用 | WB, IHC, ELISA Application Description |
| 文献引用应用 | WB |
| 经测试反应性 | human |
| 文献引用反应性 | human |
| 免疫原 |
CatNo: Ag11863 Product name: Recombinant human PAPPA protein Source: e coli.-derived, PET28a Tag: 6*His Domain: 1279-1627 aa of BC078657 Sequence: ACEPVDCSIPDHHQVYAASFSCPEGTTFGSQCSFQCRHPAQLKGNNSLLTCMEDGLWSFPEALCELMCLAPPPVPNADLQTARCRENKHKVGSFCKYKCKPGYHVPGSSRKSKKRAFKTQCTQDGSWQEGACVPVTCDPPPPKFHGLYQCTNGFQFNSECRIKCEDSDASQGLGSNVIHCRKDGTWNGSFHVCQEMQGQCSVPNELNSNLKLQCPDGYAIGSECATSCLDHNSESIILPMNVTVRDIPHWLNPTRVERVVCTAGLKWYPHPALIHCVKGCEPFMGDNYCDAINNRAFCNYDGGDCCTSTVKTKKVTPFPMSCDLQGDCACRDPQAQEHSRKDLQGYSHG 种属同源性预测 |
| 宿主/亚型 | Mouse / IgG1 |
| 抗体类别 | Monoclonal |
| 产品类型 | Antibody |
| 全称 | pregnancy-associated plasma protein A, pappalysin 1 |
| 别名 | 1G5A7, ASBABP2, DIPLA1, EC:3.4.24.79, IGFBP 4ase |
| 计算分子量 | 1627 aa, 181 kDa |
| 观测分子量 | 180-220 kDa |
| GenBank蛋白编号 | BC078657 |
| 基因名称 | PAPPA |
| Gene ID (NCBI) | 5069 |
| RRID | AB_2882285 |
| 偶联类型 | Unconjugated |
| 形式 | Liquid |
| 纯化方式 | Protein G purification |
| UNIPROT ID | Q13219 |
| 储存缓冲液 | PBS with 0.02% sodium azide and 50% glycerol, pH 7.3. |
| 储存条件 | Store at -20°C. Stable for one year after shipment. Aliquoting is unnecessary for -20oC storage. |
背景介绍
Pregnancy-associated plasma protein A (PAPPA) is a metalloproteinase secreted by human placenta, and it can interact with IGF-binding proteins (IGFBPs) to regulate the proteolysis and the bioavailability of insulin-like growth factor (IGF). Circulating PAPPA represents a consolidated biomarker in combined first-trimester screening tests, allowing an early prenatal diagnosis of chromosomal abnormalities, preeclampsia, and intrauterine growth restriction risk. PAPPA is highly expressed in placenta and pregnancy serum (PMID: 34974815, 34974815).
实验方案
| Product Specific Protocols | |
|---|---|
| IHC protocol for PAPPA antibody 66962-1-Ig | Download protocol |
| WB protocol for PAPPA antibody 66962-1-Ig | Download protocol |
| Standard Protocols | |
|---|---|
| Click here to view our Standard Protocols |



