验证数据展示
经过测试的应用
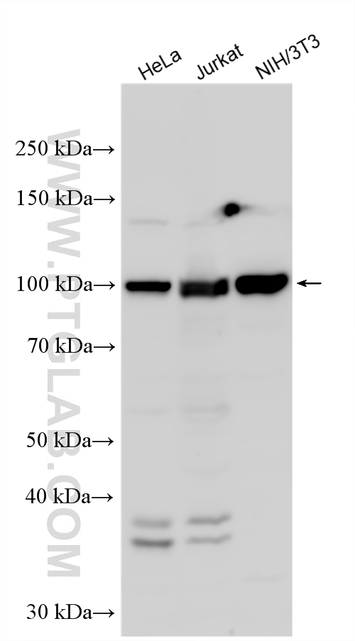
| Positive WB detected in | HeLa cells, Jurkat cells, NIH/3T3 cells |
| Positive IHC detected in | human ovary cancer tissue Note: suggested antigen retrieval with TE buffer pH 9.0; (*) Alternatively, antigen retrieval may be performed with citrate buffer pH 6.0 |
推荐稀释比
| 应用 | 推荐稀释比 |
|---|---|
| Western Blot (WB) | WB : 1:1000-1:6000 |
| Immunohistochemistry (IHC) | IHC : 1:250-1:1000 |
| It is recommended that this reagent should be titrated in each testing system to obtain optimal results. | |
| Sample-dependent, Check data in validation data gallery. | |
产品信息
25655-1-AP targets PAN3 in WB, IHC, ELISA applications and shows reactivity with human, mouse samples.
| 经测试应用 | WB, IHC, ELISA Application Description |
| 经测试反应性 | human, mouse |
| 免疫原 |
CatNo: Ag22559 Product name: Recombinant human PAN3 protein Source: e coli.-derived, PGEX-4T Tag: GST Domain: 512-687 aa of BC128180 Sequence: KAMELVTINYSSDLKNLILYLLTDQNRMRSVNDIMPMIGARFYTQLDAAQMRNDVIEEDLAKEVQNGRLFRLLAKLGTINERPEFQKDPTWSETGDRYLLKLFRDHLFHQVTEAGAPWIDLSHIISCLNKLDAGVPEKISLISRDEKSVLVVTYSDLKRCFENTFQELIAAANGQL 种属同源性预测 |
| 宿主/亚型 | Rabbit / IgG |
| 抗体类别 | Polyclonal |
| 产品类型 | Antibody |
| 全称 | PAN3 poly(A) specific ribonuclease subunit homolog (S. cerevisiae) |
| 别名 | hPan3, PAB1P-dependent poly(A)-specific ribonuclease, PAN deadenylation complex subunit 3, PAN2-PAN3 deadenylation complex subunit PAN3, Poly(A)-nuclease deadenylation complex subunit 3 |
| 计算分子量 | 887 aa, 96 kDa |
| 观测分子量 | 90-100kDa; 65-68 kDa |
| GenBank蛋白编号 | BC128180 |
| 基因名称 | PAN3 |
| Gene ID (NCBI) | 255967 |
| RRID | AB_3669491 |
| 偶联类型 | Unconjugated |
| 形式 | Liquid |
| 纯化方式 | Antigen affinity purification |
| UNIPROT ID | Q58A45 |
| 储存缓冲液 | PBS with 0.02% sodium azide and 50% glycerol, pH 7.3. |
| 储存条件 | Store at -20°C. Stable for one year after shipment. Aliquoting is unnecessary for -20oC storage. |
背景介绍
Shortening of the poly(A) tail in mRNA, called deadenylation, is the first rate-limiting step in mRNA turnover. PAN3 is the regulatory subunit of a cytoplasmic poly(A) nuclease complex that links the catalytic PAN2 subunit to the poly(A)-binding protein PABP, which stimulates PAN2-dependent deadenylation activity (PMID: 14583602). PAN3 has four isoforms, isoform1: 95 kDa; isoform2: 64 kDa, isoform3: 89 kDa and isoform4: 72 kDa. This antibody recognizes isoform 1/2/3.
实验方案
| Product Specific Protocols | |
|---|---|
| IHC protocol for PAN3 antibody 25655-1-AP | Download protocol |
| WB protocol for PAN3 antibody 25655-1-AP | Download protocol |
| Standard Protocols | |
|---|---|
| Click here to view our Standard Protocols |

