验证数据展示
经过测试的应用
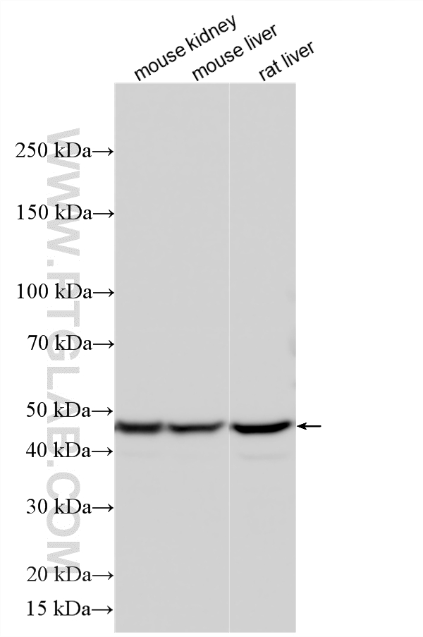
| Positive WB detected in | mouse kidney tissue, HepG2 cells, mouse liver tissue, rat liver tissue | 
| Positive IHC detected in | human liver cancer tissue Note: suggested antigen retrieval with TE buffer pH 9.0; (*) Alternatively, antigen retrieval may be performed with citrate buffer pH 6.0 | 
推荐稀释比
| 应用 | 推荐稀释比 | 
|---|---|
| Western Blot (WB) | WB : 1:2000-1:10000 | 
| Immunohistochemistry (IHC) | IHC : 1:50-1:500 | 
| It is recommended that this reagent should be titrated in each testing system to obtain optimal results. | |
| Sample-dependent, Check data in validation data gallery. | |
发表文章中的应用
| WB | See 3 publications below | 
| IHC | See 1 publications below | 
产品信息
16347-1-AP targets PAH in WB, IHC, ELISA applications and shows reactivity with human, mouse, rat samples.
| 经测试应用 | WB, IHC, ELISA Application Description | 
| 文献引用应用 | WB, IHC | 
| 经测试反应性 | human, mouse, rat | 
| 文献引用反应性 | human, mouse | 
| 免疫原 | CatNo: Ag9541 Product name: Recombinant human PAH protein Source: e coli.-derived, PGEX-4T Tag: GST Domain: 177-452 aa of BC026251 Sequence: VEYMEEGKKTWGTVFKTLKSLYKTHACYEYNHIFPLLEKYCGFHEDNIPQLEDVSQFLQTCTGFRLRPVAGLLSSRDFLGGLAFRVFHCTQYIRHGSKPMYTPEPDICHELLGHVPLFSDRSFAQFSQEIGLASLGAPDEYIEKLATIYWFTVEFGLCKQGDSIKAYGAGLLSSFGELQYCLSEKPKLLPLELEKTAIQNYTVTEFQPLYYVAESFNDAKEKVRNFAATIPRPFSVRYDPYTQRIEVLDNTQQLKILADSINSEIGILCSALQKIK种属同源性预测 | 
| 宿主/亚型 | Rabbit / IgG | 
| 抗体类别 | Polyclonal | 
| 产品类型 | Antibody | 
| 全称 | phenylalanine hydroxylase | 
| 别名 | EC:1.14.16.1, PH, Phe-4-monooxygenase, Phenylalanine-4-hydroxylase, PKU | 
| 计算分子量 | 452 aa, 52 kDa | 
| 观测分子量 | 45-52 kDa | 
| GenBank蛋白编号 | BC026251 | 
| 基因名称 | PAH | 
| Gene ID (NCBI) | 5053 | 
| RRID | AB_2878247 | 
| 偶联类型 | Unconjugated | 
| 形式 | Liquid | 
| 纯化方式 | Antigen affinity purification | 
| UNIPROT ID | P00439 | 
| 储存缓冲液 | PBS with 0.02% sodium azide and 50% glycerol, pH 7.3. | 
| 储存条件 | Store at -20°C. Stable for one year after shipment. Aliquoting is unnecessary for -20oC storage. | 
背景介绍
PAH, also known as PH, belongs to the aromatic amino acid hydroxylase (AAAH) enzyme family. PAH catalyzes the conversion of L-phenylalanine (L-Phe) to L-tyrosine (L-Tyr) by para-hydroxylation of the aromatic side chain. PAH is primarily present in the liver, where removal of excess L-Phe prevents the neurotoxic effect of hyperphenylalaninemia (HPA). (PMID: 23457044)
实验方案
| Product Specific Protocols | |
|---|---|
| IHC protocol for PAH antibody 16347-1-AP | Download protocol | 
| WB protocol for PAH antibody 16347-1-AP | Download protocol | 
| Standard Protocols | |
|---|---|
| Click here to view our Standard Protocols | 
发表文章
| Species | Application | Title | 
|---|---|---|
| Pharmacol Res Medioresinol as a novel PGC-1α activator prevents pyroptosis of endothelial cells in ischemic stroke through PPARα-GOT1 axis. | ||
| Life Sci Alliance A phosphoproteomic approach reveals that PKD3 controls PKA-mediated glucose and tyrosine metabolism. | ||
| Adv Sci (Weinh) A Metabolic Reprogramming Amino Acid Polymer as an Immunosurveillance Activator and Leukemia Targeting Drug Carrier for T‐Cell Acute Lymphoblastic Leukemia | ||
| Arthritis Res Ther Investigation of ferroptosis-associated molecular subtypes and immunological characteristics in lupus nephritis based on artificial neural network learning | 




