验证数据展示
经过测试的应用
| Positive WB detected in | MCF-7 cells, HL-60 cells, mouse brain tissue, rat brain tissue |
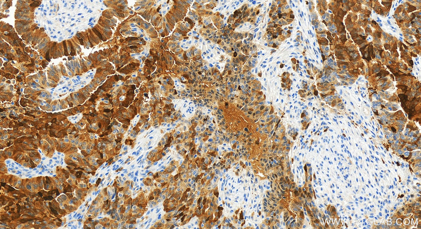
| Positive IHC detected in | human ovarian cancer Note: suggested antigen retrieval with TE buffer pH 9.0; (*) Alternatively, antigen retrieval may be performed with citrate buffer pH 6.0 |
推荐稀释比
| 应用 | 推荐稀释比 |
|---|---|
| Western Blot (WB) | WB : 1:5000-1:50000 |
| Immunohistochemistry (IHC) | IHC : 1:500-1:2000 |
| It is recommended that this reagent should be titrated in each testing system to obtain optimal results. | |
| Sample-dependent, Check data in validation data gallery. | |
产品信息
83868-1-RR targets PADI2 in WB, IHC, ELISA applications and shows reactivity with human, mouse, rat samples.
| 经测试应用 | WB, IHC, ELISA Application Description |
| 经测试反应性 | human, mouse, rat |
| 免疫原 |
CatNo: Ag17612 Product name: Recombinant human PADI2 protein Source: e coli.-derived, PET28a Tag: 6*His Domain: 118-438 aa of BC009701 Sequence: ISLDVDADRDGVVEKNNPKKASWTWGPEGQGAILLVNCDRETPWLPKEDCRDEKVYSKEDLKDMSQMILRTKGPDRLPAGYEIVLYISMSDSDKVGVFYVENPFFGQRYIHILGRRKLYHVVKYTGGSAELLFFVEGLCFPDEGFSGLVSIHVSLLEYMAQDIPLTPIFTDTVIFRIAPWIMTPNILPPVSVFVCCMKDNYLFLKEVKNLVEKTNCELKVCFQYLNRGDRWIQDEIEFGYIEAPHKGFPVVLDSPRDGNLKDFPVKELLGPDFGYVTREPLFESVTSLDSFGNLEVSPPVTVNGKTYPLGRILIGSSFPL 种属同源性预测 |
| 宿主/亚型 | Rabbit / IgG |
| 抗体类别 | Recombinant |
| 产品类型 | Antibody |
| 全称 | peptidyl arginine deiminase, type II |
| 别名 | 240763C5, EC:3.5.3.15, KIAA0994, PAD H19, PAD2 |
| 计算分子量 | 665 aa, 75 kDa |
| 观测分子量 | 75 kDa |
| GenBank蛋白编号 | BC009701 |
| 基因名称 | PADI2 |
| Gene ID (NCBI) | 11240 |
| RRID | AB_3671454 |
| 偶联类型 | Unconjugated |
| 形式 | Liquid |
| 纯化方式 | Protein A purfication |
| UNIPROT ID | Q9Y2J8 |
| 储存缓冲液 | PBS with 0.02% sodium azide and 50% glycerol, pH 7.3. |
| 储存条件 | Store at -20°C. Stable for one year after shipment. Aliquoting is unnecessary for -20oC storage. |
背景介绍
PADI2, also named KIAA0994, PDI2, PAD-H19, and PAD2(Peptidylarginine deiminase II ), belongs to the protein arginine deiminase family. It catalyzes the deimination of arginine residues of proteins. PADI2 may play a regulatory role in the expression of lactation-related genes via histone citrullination during diestrus (PMID:20668670).
实验方案
| Product Specific Protocols | |
|---|---|
| IHC protocol for PADI2 antibody 83868-1-RR | Download protocol |
| WB protocol for PADI2 antibody 83868-1-RR | Download protocol |
| Standard Protocols | |
|---|---|
| Click here to view our Standard Protocols |


