验证数据展示
经过测试的应用
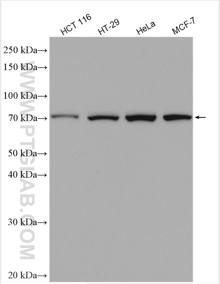
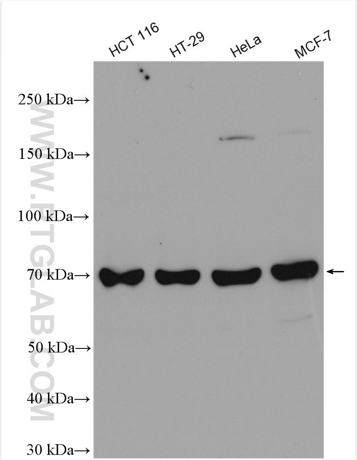
| Positive WB detected in | HCT 116 cells, mouse testis tissue, PC-3 cells, HeLa cells, A549 cells, rat testis tissue, HT-29 cells, MCF-7 cells, NCI-H1299 cells, HCT-116 cells |
| Positive IP detected in | mouse testis tissue |
| Positive IHC detected in | human pancreas tissue, human testis tissue Note: suggested antigen retrieval with TE buffer pH 9.0; (*) Alternatively, antigen retrieval may be performed with citrate buffer pH 6.0 |
| Positive IF/ICC detected in | MCF-7 cells |
推荐稀释比
| 应用 | 推荐稀释比 |
|---|---|
| Western Blot (WB) | WB : 1:1000-1:5000 |
| Immunoprecipitation (IP) | IP : 0.5-4.0 ug for 1.0-3.0 mg of total protein lysate |
| Immunohistochemistry (IHC) | IHC : 1:20-1:200 |
| Immunofluorescence (IF)/ICC | IF/ICC : 1:200-1:800 |
| It is recommended that this reagent should be titrated in each testing system to obtain optimal results. | |
| Sample-dependent, Check data in validation data gallery. | |
产品信息
10970-1-AP targets PABPC1,PABP in WB, IHC, IF/ICC, IP, CoIP, RIP, ELISA applications and shows reactivity with human, mouse, rat samples.
| 经测试应用 | WB, IHC, IF/ICC, IP, ELISA Application Description |
| 文献引用应用 | WB, IHC, IF, IP, CoIP, RIP |
| 经测试反应性 | human, mouse, rat |
| 文献引用反应性 | human, mouse, rat, pig |
| 免疫原 |
CatNo: Ag1422 Product name: Recombinant human PABPC1,PABP protein Source: e coli.-derived, PGEX-4T Tag: GST Domain: 287-636 aa of BC015958 Sequence: RITRYQGVNLYVKNLDDGIDDERLRKEFSPFGTITSAKVMMEGGRSKGFGFVCFSSPEEATKAVTEMNGRIVATKPLYVALAQRKEERQAHLTNQYMQRMASVRAVPNPVINPYQPAPPSGYFMAAIPQTQNRAAYYPPSQIAQLRPSPRWTAQGARPHPFQNMPGAIRPAAPRPPFSTMRPASSQVPRVMSTQRVANTSTQTMGPRPAAAAAAATPAVRTVPQYKYAAGVRNPQQHLNAQPQVTMQQPAVHVQGQEPLTASMLASAPPQEQKQMLGERLFPLIQAMHPTLAGKITGMLLEIDNSELLHMLESPESLRSKVDEAVAVLQAHQAKEAAQKAVNSATGVPTV 种属同源性预测 |
| 宿主/亚型 | Rabbit / IgG |
| 抗体类别 | Polyclonal |
| 产品类型 | Antibody |
| 全称 | poly(A) binding protein, cytoplasmic 1 |
| 别名 | PABP, PABP1, PABPC1, PABP 1, PABP-1 |
| 计算分子量 | 71 kDa |
| 观测分子量 | 71 kDa |
| GenBank蛋白编号 | BC015958 |
| 基因名称 | PABPC1 |
| Gene ID (NCBI) | 26986 |
| RRID | AB_10596918 |
| 偶联类型 | Unconjugated |
| 形式 | Liquid |
| 纯化方式 | Antigen affinity purification |
| UNIPROT ID | P11940 |
| 储存缓冲液 | PBS with 0.02% sodium azide and 50% glycerol, pH 7.3. |
| 储存条件 | Store at -20°C. Stable for one year after shipment. Aliquoting is unnecessary for -20oC storage. |
背景介绍
The poly(A)-binding protein (PABP), which is found complexed to the 3-prime poly(A) tail of eukaryotic mRNA, is required for poly(A) shortening and translation initiation [PMID: 21989405]. Polyadenylate-binding protein 1 (PABPC1) is a cytoplasmic-nuclear shuttling protein important for protein translation initiation, and both RNA processing and stability. In the cytoplasm, PABPC1 binds to the 3' poly(A) tail of eukaryotic mRNAs through its RNA-recognition motifs (RRM) and interacts with the N-terminus of eIF4G, part of the eIF4F complex associated with the 5' cap structure [PMID:20009508, 17381337].
实验方案
| Product Specific Protocols | |
|---|---|
| IF protocol for PABPC1,PABP antibody 10970-1-AP | Download protocol |
| IHC protocol for PABPC1,PABP antibody 10970-1-AP | Download protocol |
| IP protocol for PABPC1,PABP antibody 10970-1-AP | Download protocol |
| WB protocol for PABPC1,PABP antibody 10970-1-AP | Download protocol |
| Standard Protocols | |
|---|---|
| Click here to view our Standard Protocols |
发表文章
| Species | Application | Title |
|---|---|---|
Brain Behav Immun Transcriptomic and proteomic profiling of bi-partite and tri-partite murine iPSC-derived neurospheroids under steady-state and inflammatory condition | ||
Adv Sci (Weinh) Primate-Specific DAZ Regulates Translation of Cell Proliferation-Related mRNAs and is Essential for Maintenance of Spermatogonia | ||
Exp Mol Med The deubiquitinating enzyme STAMBP is a newly discovered driver of triple-negative breast cancer progression that maintains RAI14 protein stability | ||
Nat Commun An oncopeptide regulates m6A recognition by the m6A reader IGF2BP1 and tumorigenesis. | ||
Dev Cell DDX20 is required for cell-cycle reentry of prospermatogonia and establishment of spermatogonial stem cell pool during testicular development in mice | ||
J Exp Med E3 ligase MKRN3 is a tumor suppressor regulating PABPC1 ubiquitination in non-small cell lung cancer. |















