验证数据展示
经过测试的应用
| Positive WB detected in | PC-3 cells, HEK-293 cells, HeLa cells, HSC-T6 cells, ROS1728 cells, Neuro-2a cells, 4T1 cells, rat liver tissue, NIH/3T3 cells, MCF-7 cells |
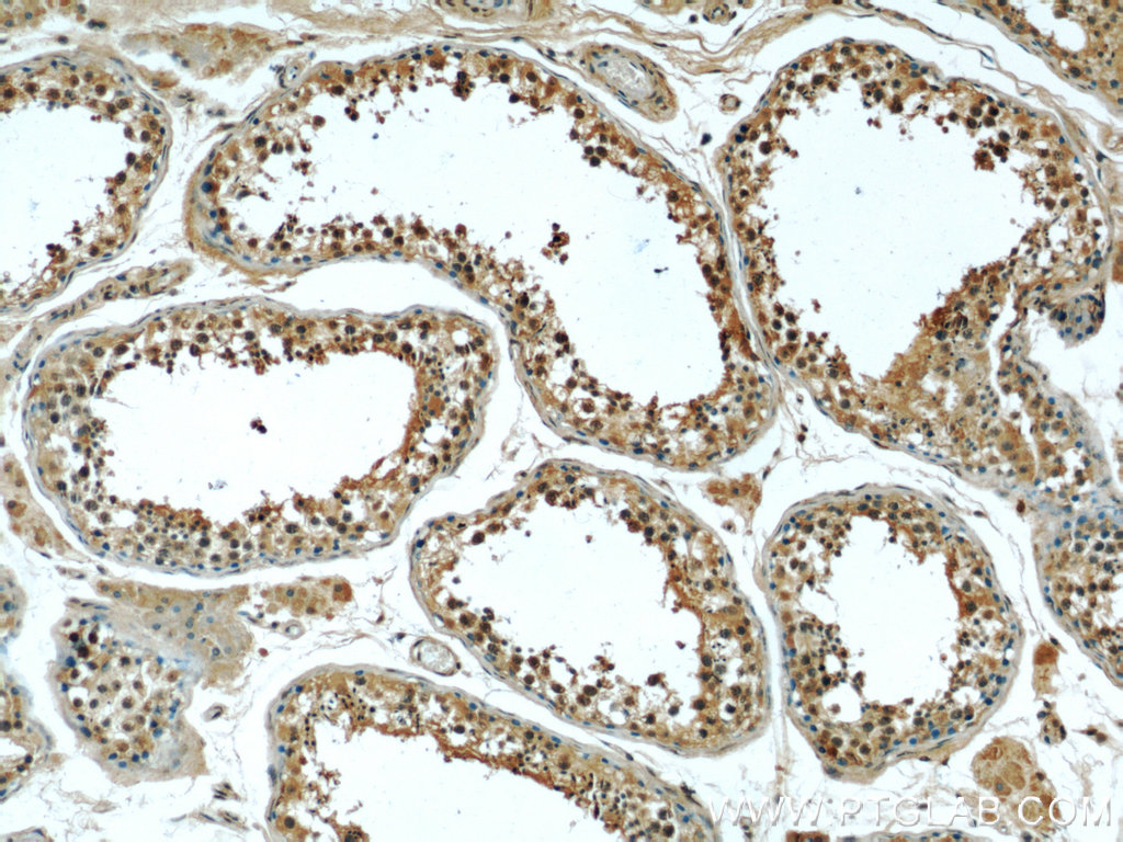
| Positive IHC detected in | human breast cancer tissue, human testis tissue Note: suggested antigen retrieval with TE buffer pH 9.0; (*) Alternatively, antigen retrieval may be performed with citrate buffer pH 6.0 |
推荐稀释比
| 应用 | 推荐稀释比 |
|---|---|
| Western Blot (WB) | WB : 1:500-1:2000 |
| Immunohistochemistry (IHC) | IHC : 1:200-1:1000 |
| It is recommended that this reagent should be titrated in each testing system to obtain optimal results. | |
| Sample-dependent, Check data in validation data gallery. | |
发表文章中的应用
| KD/KO | See 2 publications below |
| WB | See 4 publications below |
| IHC | See 2 publications below |
产品信息
66101-1-Ig targets P4HA1 in WB, IHC, ELISA applications and shows reactivity with human, mouse, rat samples.
| 经测试应用 | WB, IHC, ELISA Application Description |
| 文献引用应用 | WB, IHC |
| 经测试反应性 | human, mouse, rat |
| 文献引用反应性 | human, mouse |
| 免疫原 |
CatNo: Ag17867 Product name: Recombinant human P4HA1 protein Source: e coli.-derived, PET28a Tag: 6*His Domain: 238-534 aa of BC034998 Sequence: HQRANGNLKYFEYIMAKEKDVNKSASDDQSDQKTTPKKKGVAVDYLPERQKYEMLCRGEGIKMTPRRQKKLFCRYHDGNRNPKFILAPAKQEDEWDKPRIIRFHDIISDAEIEIVKDLAKPRLRRATISNPITGDLETVHYRISKSAWLSGYENPVVSRINMRIQDLTGLDVSTAEELQVANYGVGGQYEPHFDFARKDEPDAFKELGTGNRIATWLFYMSDVSAGGATVFPEVGASVWPKKGTAVFWYNLFASGEGDYSTRHAACPVLVGNKWVSNKWLHERGQEFRRPCTLSELE 种属同源性预测 |
| 宿主/亚型 | Mouse / IgG1 |
| 抗体类别 | Monoclonal |
| 产品类型 | Antibody |
| 全称 | prolyl 4-hydroxylase, alpha polypeptide I |
| 别名 | 1H10A6, EC:1.14.11.2, P4HA, Procollagen-proline,2-oxoglutarate-4-dioxygenase subunit alpha-1, Prolyl 4-hydroxylase subunit alpha-1 |
| 计算分子量 | 534 aa, 61 kDa |
| 观测分子量 | 61 kDa |
| GenBank蛋白编号 | BC034998 |
| 基因名称 | P4HA1 |
| Gene ID (NCBI) | 5033 |
| RRID | AB_2881500 |
| 偶联类型 | Unconjugated |
| 形式 | Liquid |
| 纯化方式 | Protein G purification |
| UNIPROT ID | P13674 |
| 储存缓冲液 | PBS with 0.02% sodium azide and 50% glycerol, pH 7.3. |
| 储存条件 | Store at -20°C. Stable for one year after shipment. Aliquoting is unnecessary for -20oC storage. |
背景介绍
P4HA1(Prolyl 4-hydroxylase subunit alpha-1) is also named as P4HA and belongs to the P4HA family , which play a central role in collagen synthesis. P4HA1 catalyzes the post-translational formation of 4-hydroxyproline in -Xaa-Pro-Gly- sequences in collagens and other proteins. The gene encodes a polypeptide of 517 amino acid residues and a signal peptide of 17 amino acids and the full length protein has two glycosylation sites (uniprot). It can exsit as a heteromer, dimer or tetramer (refer to: GENATLAS). P4HA1 has 3 isoforms produced by alternative splicing with the molecular weight of 61 kDa, 61 kDa and 59 kDa. This antibody is specific to P4HA1.
实验方案
| Product Specific Protocols | |
|---|---|
| IHC protocol for P4HA1 antibody 66101-1-Ig | Download protocol |
| WB protocol for P4HA1 antibody 66101-1-Ig | Download protocol |
| Standard Protocols | |
|---|---|
| Click here to view our Standard Protocols |
发表文章
| Species | Application | Title |
|---|---|---|
Mol Oncol Prolyl 4-hydroxylase subunit alpha 1 (P4HA1) is a biomarker of poor prognosis in primary melanomas, and its depletion inhibits melanoma cell invasion and disrupts tumor blood vessel walls.
| ||
Front Oncol P4HA1 Regulates CD31 via COL6A1 in the Transition of Glioblastoma Stem-Like Cells to Tumor Endothelioid Cells.
| ||
Front Mol Biosci Identification of Prognostic Biomarkers in Patients With Malignant Rhabdoid Tumor of the Kidney Based on mTORC1 Signaling Pathway-Related Genes. | ||
bioRxiv Collagen Prolyl Hydroxylases Regulate HIF-α Levels Independently of pVHL in ccRCC. | ||
Acta Pharm Sin B Palmitoylated SARM1 targeting P4HA1 promotes collagen deposition and myocardial fibrosis: A new target for anti-myocardial fibrosis. |












