验证数据展示
经过测试的应用
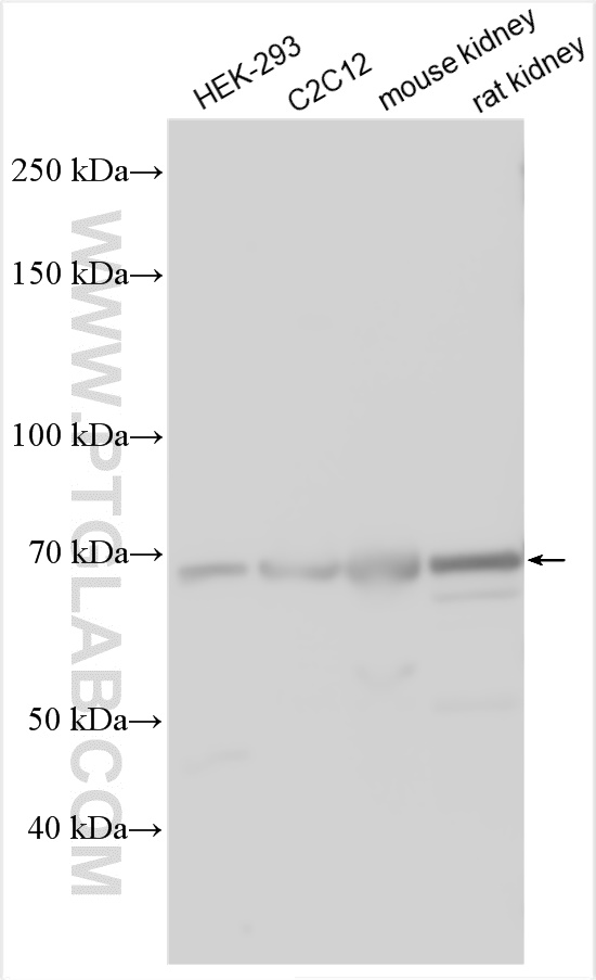
| Positive WB detected in | mouse kidney tissue, HEK-293, rat kidney tissue, HEK-293 cells, C2C12 cells |
| Positive IHC detected in | human stomach cancer tissue, human kidney tissue, human small intestine tissue Note: suggested antigen retrieval with TE buffer pH 9.0; (*) Alternatively, antigen retrieval may be performed with citrate buffer pH 6.0 |
推荐稀释比
| 应用 | 推荐稀释比 |
|---|---|
| Western Blot (WB) | WB : 1:500-1:1000 |
| Immunohistochemistry (IHC) | IHC : 1:50-1:500 |
| It is recommended that this reagent should be titrated in each testing system to obtain optimal results. | |
| Sample-dependent, Check data in validation data gallery. | |
产品信息
25715-1-AP targets Osteopontin in WB, IHC, IF, ELISA applications and shows reactivity with human, mouse, rat samples.
| 经测试应用 | WB, IHC, ELISA Application Description |
| 文献引用应用 | WB, IHC, IF |
| 经测试反应性 | human, mouse, rat |
| 文献引用反应性 | human, mouse, rat |
| 免疫原 |
CatNo: Ag22588 Product name: Recombinant human OPN, SPP1 protein Source: e coli.-derived, PET28a Tag: 6*His Domain: 1-300 aa of BC007016 Sequence: MRIAVICFCLLGITCAIPVKQADSGSSEEKQLYNKYPDAVATWLNPDPSQKQNLLAPQTLPSKSNESHDHMDDMDDEDDDDHVDSQDSIDSNDSDDVDDTDDSHQSDESHHSDESDELVTDFPTDLPATEVFTPVVPTVDTYDGRGDSVVYGLRSKSKKFRRPDIQYPDATDEDITSHMESEELNGAYKAIPVAQDLNAPSDWDSRGKDSYETSQLDDQSAETHSHKQSRLYKRKANDESNEHSDVIDSQELSKVSREFHSHEFHSHEDMLVVDPKSKEEDKHLKFRISHELDSASSEVN 种属同源性预测 |
| 宿主/亚型 | Rabbit / IgG |
| 抗体类别 | Polyclonal |
| 产品类型 | Antibody |
| 全称 | secreted phosphoprotein 1 |
| 别名 | SPP1, PSEC0156, OPN, ETA 1, BSPI |
| 计算分子量 | 314 aa, 35 kDa |
| 观测分子量 | 66 kDa |
| GenBank蛋白编号 | BC007016 |
| 基因名称 | Osteopontin |
| Gene ID (NCBI) | 6696 |
| RRID | AB_2880206 |
| 偶联类型 | Unconjugated |
| 形式 | Liquid |
| 纯化方式 | Antigen affinity purification |
| UNIPROT ID | P10451 |
| 储存缓冲液 | PBS with 0.02% sodium azide and 50% glycerol, pH 7.3. |
| 储存条件 | Store at -20°C. Stable for one year after shipment. Aliquoting is unnecessary for -20oC storage. |
背景介绍
Osteopontin (OPN), also known as SPP1, is a secreted glycophosphoprotein that belongs to the small integrin-binding ligand N-linked glycoprotein (SIBLING) family. Originally isolated from bone, OPN has been found in kidney, vascular tissues, biological fluids, and various tumor tissues (PMID: 15138464; 16406521). OPN can interact with CD44 and integrins and regulate diverse biological processes. It has a multifaceted role in bone development and remodeling, and is also involved in the inflammatory and immune response, oncogenesis and cancer progression. The very acidic nature of OPN, as well as the presence of variable posttranslational modifications, has led to anomalous migration in SDS-polyacrylamide gels and therefore to reports of different molecular weights for OPN (PMID: 8293561). Depending on the cell and tissue source and/or the SDS-PAGE system, OPN migrates with a molecular weight of 44-80 kDa, as well as at some smaller bands correspond to peptide fragments (PMID: 8195113; 17890765).
实验方案
| Product Specific Protocols | |
|---|---|
| IHC protocol for Osteopontin antibody 25715-1-AP | Download protocol |
| WB protocol for Osteopontin antibody 25715-1-AP | Download protocol |
| Standard Protocols | |
|---|---|
| Click here to view our Standard Protocols |
发表文章
| Species | Application | Title |
|---|---|---|
Nat Neurosci Microglia and macrophages promote corralling, wound compaction and recovery after spinal cord injury via Plexin-B2. | ||
Sci Adv Diversified transcriptional responses of myeloid and glial cells in spinal cord injury shaped by HDAC3 activity. | ||
ACS Appl Mater Interfaces ZIF-8-Modified Black Phosphorus Nanosheets Incorporated into Injectable Dual-Component Hydrogels for Enhanced Photothermal Antibacterial and Osteogenic Activities | ||
Part Fibre Toxicol Aryl hydrocarbon receptor activation-mediated vascular toxicity of ambient fine particulate matter: contribution of polycyclic aromatic hydrocarbons and osteopontin as a biomarker. | ||
J Transl Med Multi-omics-driven discovery of invasive patterns and treatment strategies in CA19-9 positive intrahepatic cholangiocarcinoma | ||
Cell Mol Life Sci Metastasis suppressor 1 controls osteoblast differentiation and bone homeostasis through regulating Src-Wnt/β-catenin signaling. |









