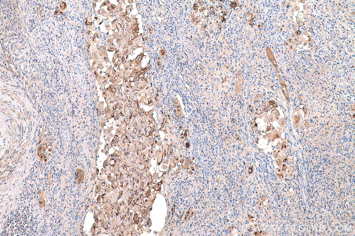
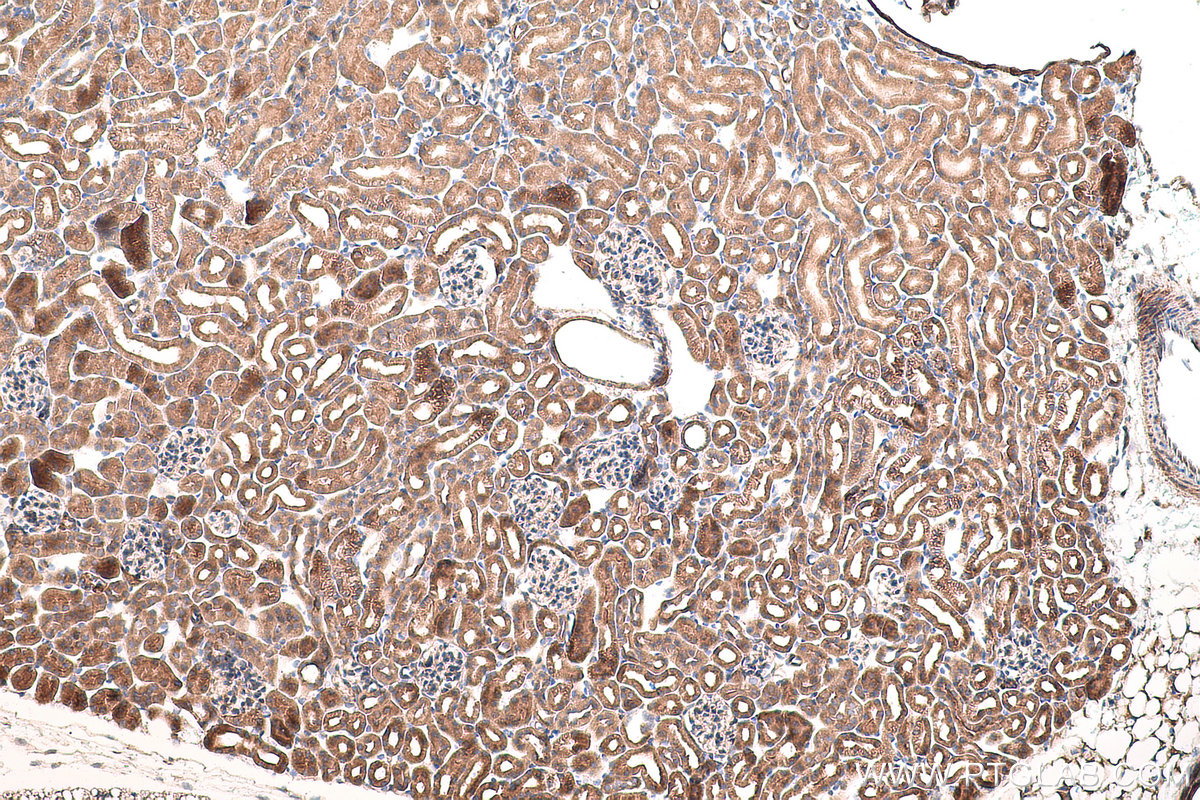
IHCeasy® Osteopontin/SPP1 Ready-To-Use IHC Kit
Osteopontin/SPP1 Ready-to-use reagent kit for IHC.
Reactivity
Human, Mouse
Sample Type
FFPE tissue
Cat no : KHC0782
Synonyms
BNSP, Bone sialoprotein 1, BSPI, ETA 1, Nephropontin, OPN, Osteopontin, secreted phosphoprotein 1, SPP 1, SPP1, Urinary stone protein, Uropontin
Validation Data Gallery
Product Information
KHC0782 is a ready-to-use IHC kit for staining of Osteopontin/SPP1. The kit provides all reagents, from antigen retrieval to cover slip mounting, that require little to no diluting or handling prior to use. Simply apply the reagents to your sample slide according to the protocol and you're steps away from obtaining high-quality IHC data.
| Product name | IHCeasy Osteopontin/SPP1 Ready-To-Use IHC Kit |
| Sample type | FFPE tissue |
| Assay type | Immunohistochemistry |
| Primary antibody type | Rabbit Polyclonal |
| Secondary antibody type | Polymer-HRP-Goat anti-Rabbit |
| Reactivity | Human, Mouse |
Kit components
| Component | Size | Concentration |
|---|---|---|
| Antigen Retrieval Buffer | 100 mL | 50× |
| Washing Buffer | 100 mL ×2 | 20× |
| Blocking Buffer | 5 mL | RTU |
| Primary Antibody | 5 mL | RTU |
| Secondary Antibody | 5 mL | RTU |
| Chromogen Component A | 0.2 mL | RTU |
| Chromogen Component B | 4 mL | RTU |
| Signal Enhancer | 5 mL | RTU |
| Counter Staining Reagent | 5 mL | RTU |
| Mounting Media | 5 mL | RTU |
| Datasheet | 1 Copy | |
| Manual | 1 Copy |
Background Information
Osteopontin (OPN), also known as SPP1, is a secreted glycophosphoprotein that belongs to the small integrin-binding ligand N-linked glycoprotein (SIBLING) family. Originally isolated from bone, OPN has been found in kidneys, vascular tissues, biological fluids, and various tumor tissues. OPN can interact with CD44 and integrins and regulate diverse biological processes. It has a multifaceted role in bone development and remodeling, and is also involved in the inflammatory and immune response, oncogenesis and cancer progression.
Properties
| Storage Instructions | All the reagents are stored at 2-8°C. The kit is stable for 6 months from the date of receipt. |
| Synonyms | BNSP, Bone sialoprotein 1, BSPI, ETA 1, Nephropontin, OPN, Osteopontin, secreted phosphoprotein 1, SPP 1, SPP1, Urinary stone protein, Uropontin |






