验证数据展示
经过测试的应用
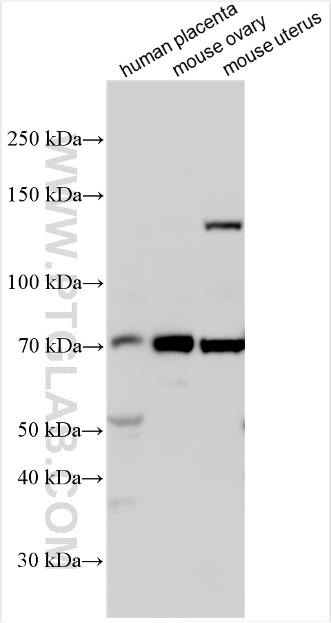
| Positive WB detected in | human placenta tissue, mouse ovary tissue, mouse uterus tissue |
| Positive IHC detected in | mouse ovary tissue Note: suggested antigen retrieval with TE buffer pH 9.0; (*) Alternatively, antigen retrieval may be performed with citrate buffer pH 6.0 |
推荐稀释比
| 应用 | 推荐稀释比 |
|---|---|
| Western Blot (WB) | WB : 1:500-1:1000 |
| Immunohistochemistry (IHC) | IHC : 1:50-1:500 |
| It is recommended that this reagent should be titrated in each testing system to obtain optimal results. | |
| Sample-dependent, Check data in validation data gallery. | |
产品信息
22324-1-AP targets OVGP1 in WB, IHC, ELISA applications and shows reactivity with human, mouse samples.
| 经测试应用 | WB, IHC, ELISA Application Description |
| 经测试反应性 | human, mouse |
| 免疫原 |
CatNo: Ag17771 Product name: Recombinant human OVGP1 protein Source: e coli.-derived, PGEX-4T Tag: GST Domain: 329-678 aa of BC126177 Sequence: VGYDNAISFSYKAWFIRREHFGGAMVWTLDMDDVRGTFCGTGPFPLVYVLNDILVRAEFSSTSLPQFWLSSAVNSSSTDPERLAVTTAWTTDSKILPPGGEAGVTEIHGKCENMTITPRGTTVTPTKETVSLGKHTVALGEKTEITGAMTMTSVGHQSMTPGEKALTPVGHQSVTTGQKTLTSVGYQSVTPGEKTLTPVGHQSVTPVSHQSVSPGGTTMTPVHFQTETLRQNTVAPRRKAVAREKVTVPSRNISVTPEGQTMPLRGENLTSEVGTHPRMGNLGLQMEAENRMMLSSSPVIQLPEQTPLAFDNRFVPIYGNHSSVNSVTPQTSPLSLKKEIPENSAVDEEA 种属同源性预测 |
| 宿主/亚型 | Rabbit / IgG |
| 抗体类别 | Polyclonal |
| 产品类型 | Antibody |
| 全称 | oviductal glycoprotein 1, 120kDa |
| 别名 | CHIT5, EGP, MUC9, Mucin 9, OGP, OVGP1, Oviduct specific glycoprotein, Oviductal glycoprotein, Oviductin |
| 计算分子量 | 678 aa, 75 kDa |
| 观测分子量 | 70 kDa |
| GenBank蛋白编号 | BC126177 |
| 基因名称 | OVGP1 |
| Gene ID (NCBI) | 5016 |
| RRID | AB_3085696 |
| 偶联类型 | Unconjugated |
| 形式 | Liquid |
| 纯化方式 | Antigen Affinity purified |
| UNIPROT ID | Q12889 |
| 储存缓冲液 | PBS with 0.02% sodium azide and 50% glycerol, pH 7.3. |
| 储存条件 | Store at -20°C. Stable for one year after shipment. Aliquoting is unnecessary for -20oC storage. |
背景介绍
OVGP1 (oviduct-specific glycoprotein, also known as MUC9) is a high molecular-weight glycoprotein thought to be exclusively secreted by the non-ciliated epithelial cells of the fallopian tube (PMID: 12444068). Identified first as an estrogen-induced secretory protein in the oviduct, OVGP1 aids in sperm capacitation, fertilization, and early embryonic development (PMID: 28883914). OVGP1 is the major non-serum protein present in OF (oviduct fluid) and its biological activity differs among species (PMID: 27601270).
实验方案
| Product Specific Protocols | |
|---|---|
| IHC protocol for OVGP1 antibody 22324-1-AP | Download protocol |
| WB protocol for OVGP1 antibody 22324-1-AP | Download protocol |
| Standard Protocols | |
|---|---|
| Click here to view our Standard Protocols |

