验证数据展示
经过测试的应用
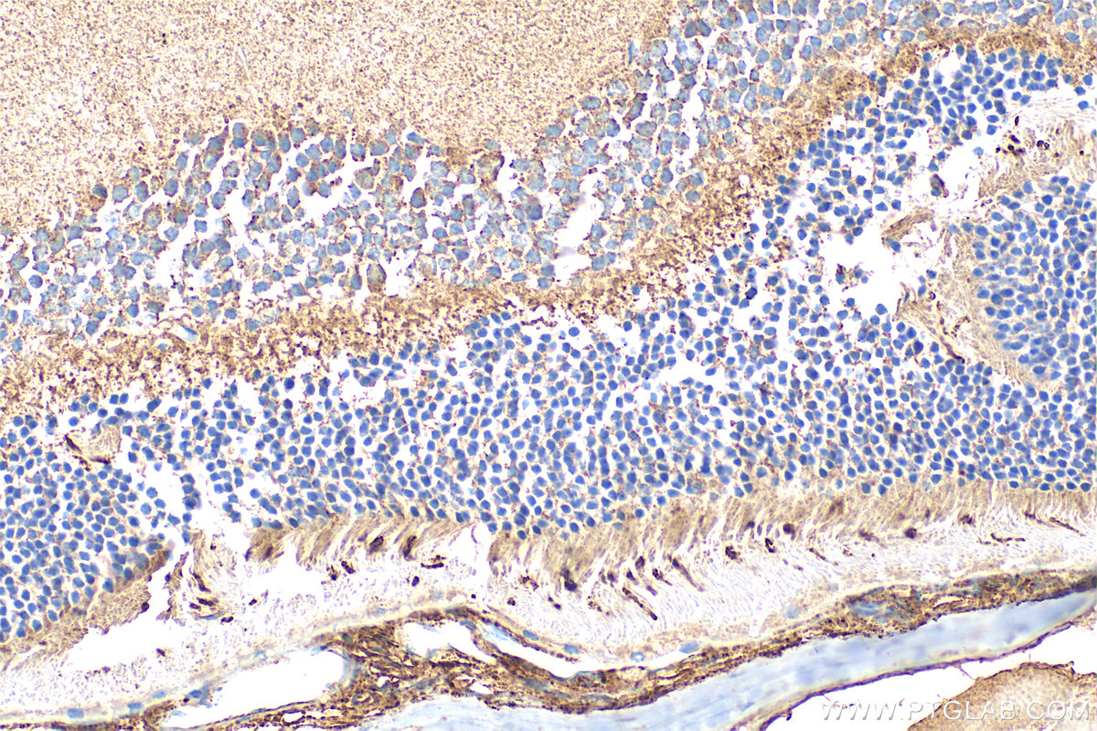
| Positive IHC detected in | mouse eye tissue Note: suggested antigen retrieval with TE buffer pH 9.0; (*) Alternatively, antigen retrieval may be performed with citrate buffer pH 6.0 |
| Positive IF-P detected in | mouse eye tissue, rat eye tissue |
推荐稀释比
| 应用 | 推荐稀释比 |
|---|---|
| Immunohistochemistry (IHC) | IHC : 1:50-1:500 |
| Immunofluorescence (IF)-P | IF-P : 1:50-1:500 |
| It is recommended that this reagent should be titrated in each testing system to obtain optimal results. | |
| Sample-dependent, Check data in validation data gallery. | |
发表文章中的应用
| IF | See 1 publications below |
产品信息
24660-1-AP targets OPN1SW in IHC, IF-P, ELISA applications and shows reactivity with human, mouse, rat samples.
| 经测试应用 | IHC, IF-P, ELISA Application Description |
| 文献引用应用 | IF |
| 经测试反应性 | human, mouse, rat |
| 文献引用反应性 | mouse |
| 免疫原 |
CatNo: Ag20387 Product name: Recombinant human OPN1SW protein Source: e coli.-derived, PET30a Tag: 6*His Domain: 265-348 aa of BC156719 Sequence: YAAFAMYMVNNRNHGLDLRLVTIPSFFSKSACIYNPIIYCFMNKQFQACIMKMVCGKAMTDESDTCSSQKTEVSTVSSTQVGPN 种属同源性预测 |
| 宿主/亚型 | Rabbit / IgG |
| 抗体类别 | Polyclonal |
| 产品类型 | Antibody |
| 全称 | opsin 1 (cone pigments), short-wave-sensitive |
| 别名 | Blue sensitive opsin, Blue-sensitive opsin, BOP, CBT, Short-wave-sensitive opsin 1 |
| 计算分子量 | 348 aa, 39 kDa |
| GenBank蛋白编号 | BC156719 |
| 基因名称 | OPN1SW |
| Gene ID (NCBI) | 611 |
| RRID | AB_3085746 |
| 偶联类型 | Unconjugated |
| 形式 | Liquid |
| 纯化方式 | Antigen affinity purification |
| UNIPROT ID | P03999 |
| 储存缓冲液 | PBS with 0.02% sodium azide and 50% glycerol, pH 7.3. |
| 储存条件 | Store at -20°C. Stable for one year after shipment. Aliquoting is unnecessary for -20oC storage. |
背景介绍
OPN1SW (Short-wave-sensitive opsin 1) belongs to the G-protein coupled receptor 1 family, opsin subfamily. It's one of three types of cone photoreceptors responsible for normal color vision. Inherited tritan color vision deficiencies exhibit an autosomal dominant inheritance pattern and are caused by mutations in OPN1SW (PMID: 32400513).
实验方案
| Product Specific Protocols | |
|---|---|
| IF protocol for OPN1SW antibody 24660-1-AP | Download protocol |
| IHC protocol for OPN1SW antibody 24660-1-AP | Download protocol |
| Standard Protocols | |
|---|---|
| Click here to view our Standard Protocols |



