验证数据展示
经过测试的应用
| Positive WB detected in | HEK-293 cells, Jurkat cells, C2C12 cell, HepG2 cells, mouse kidney tissue |
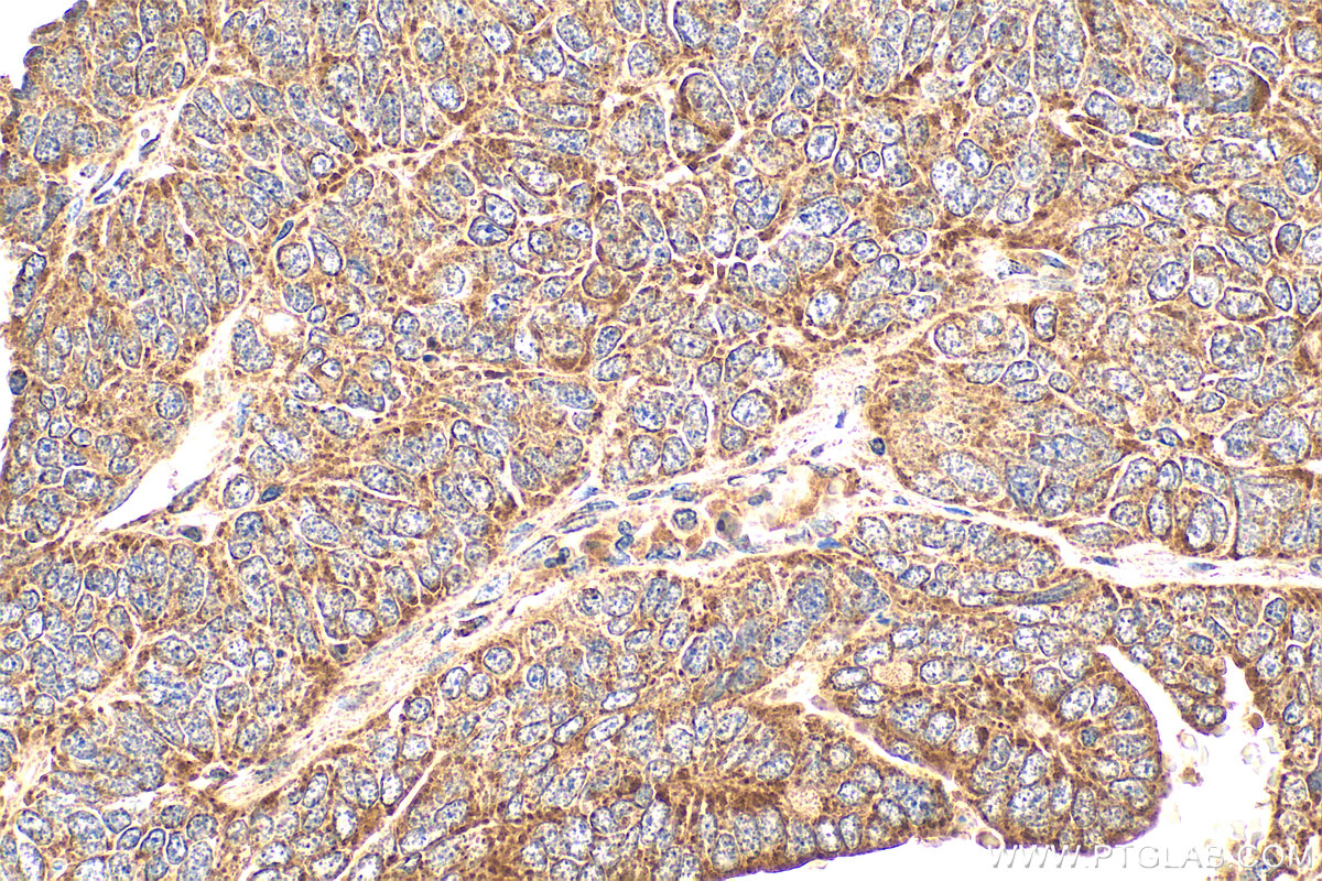
| Positive IHC detected in | human ovary tumor tissue Note: suggested antigen retrieval with TE buffer pH 9.0; (*) Alternatively, antigen retrieval may be performed with citrate buffer pH 6.0 |
| Positive IF/ICC detected in | HepG2 cells, HEK-293 cells |
| Positive FC (Intra) detected in | HepG2 cells |
推荐稀释比
| 应用 | 推荐稀释比 |
|---|---|
| Western Blot (WB) | WB : 1:1000-1:4000 |
| Immunohistochemistry (IHC) | IHC : 1:50-1:500 |
| Immunofluorescence (IF)/ICC | IF/ICC : 1:200-1:800 |
| Flow Cytometry (FC) (INTRA) | FC (INTRA) : 0.40 ug per 10^6 cells in a 100 µl suspension |
| It is recommended that this reagent should be titrated in each testing system to obtain optimal results. | |
| Sample-dependent, Check data in validation data gallery. | |
产品信息
22952-1-AP targets Osteopontin in WB, IHC, IF/ICC, FC (Intra), CoIP, ELISA applications and shows reactivity with human samples.
| 经测试应用 | WB, IHC, IF/ICC, FC (Intra), ELISA Application Description |
| 文献引用应用 | WB, IHC, IF, CoIP, ELISA |
| 经测试反应性 | human |
| 文献引用反应性 | human, pig, rabbit, bovine |
| 免疫原 |
CatNo: Ag19216 Product name: Recombinant human OPN, SPP1 protein Source: e coli.-derived, PGEX-4T Tag: GST Domain: 13-300 aa of BC007016 Sequence: ITCAIPVKQADSGSSEEKQLYNKYPDAVATWLNPDPSQKQNLLAPQTLPSKSNESHDHMDDMDDEDDDDHVDSQDSIDSNDSDDVDDTDDSHQSDESHHSDESDELVTDFPTDLPATEVFTPVVPTVDTYDGRGDSVVYGLRSKSKKFRRPDIQYPDATDEDITSHMESEELNGAYKAIPVAQDLNAPSDWDSRGKDSYETSQLDDQSAETHSHKQSRLYKRKANDESNEHSDVIDSQELSKVSREFHSHEFHSHEDMLVVDPKSKEEDKHLKFRISHELDSASSEVN 种属同源性预测 |
| 宿主/亚型 | Rabbit / IgG |
| 抗体类别 | Polyclonal |
| 产品类型 | Antibody |
| 全称 | secreted phosphoprotein 1 |
| 别名 | OPN, BNSP, Bone sialoprotein 1, BSPI, ETA 1 |
| 计算分子量 | 314 aa, 35 kDa |
| 观测分子量 | 70 kDa, 44-66 kDa |
| GenBank蛋白编号 | BC007016 |
| 基因名称 | Osteopontin |
| Gene ID (NCBI) | 6696 |
| RRID | AB_2783651 |
| 偶联类型 | Unconjugated |
| 形式 | Liquid |
| 纯化方式 | Antigen affinity purification |
| UNIPROT ID | P10451 |
| 储存缓冲液 | PBS with 0.02% sodium azide and 50% glycerol, pH 7.3. |
| 储存条件 | Store at -20°C. Stable for one year after shipment. Aliquoting is unnecessary for -20oC storage. |
背景介绍
Osteopontin (OPN), also known as SPP1, is a secreted glycophosphoprotein that belongs to the small integrin-binding ligand N-linked glycoprotein (SIBLING) family. Originally isolated from bone, OPN has been found in kidneys, vascular tissues, biological fluids, and various tumor tissues (PMID: 15138464; 16406521). OPN can interact with CD44 and integrins and regulate diverse biological processes. It has a multifaceted role in bone development and remodeling, and is also involved in the inflammatory and immune response, oncogenesis and cancer progression. The very acidic nature of OPN, as well as the presence of variable posttranslational modifications, has led to anomalous migration in SDS-polyacrylamide gels and therefore to reports of different molecular weights for OPN (PMID: 8293561). Depending on the cell and tissue source and/or the SDS-PAGE system, OPN migrates with a molecular weight of 44-80 kDa, as well as at some smaller bands corresponding to peptide fragments (PMID: 8195113; 17890765).
实验方案
| Product Specific Protocols | |
|---|---|
| FC protocol for Osteopontin antibody 22952-1-AP | Download protocol |
| IF protocol for Osteopontin antibody 22952-1-AP | Download protocol |
| IHC protocol for Osteopontin antibody 22952-1-AP | Download protocol |
| WB protocol for Osteopontin antibody 22952-1-AP | Download protocol |
| Standard Protocols | |
|---|---|
| Click here to view our Standard Protocols |
发表文章
| Species | Application | Title |
|---|---|---|
Circulation Carbonylation of Runx2 at K176 by 4-Hydroxynonenal Accelerates Vascular Calcification | ||
Adv Mater Realizing Highly Efficient Sonodynamic Bactericidal Capability through the Phonon-Electron Coupling Effect Using Two-Dimensional Catalytic Planar Defects | ||
Cell Stem Cell Decoding the temporal and regional specification of microglia in the developing human brain. | ||
Nat Aging Single-cell and spatial RNA sequencing identify divergent microenvironments and progression signatures in early- versus late-onset prostate cancer | ||
Bioact Mater Urchin-like multiscale structured fluorinated hydroxyapatite as versatile filler for caries restoration dental resin composites | ||
Nat Cell Biol Single-cell reconstruction of the adult human heart during heart failure and recovery reveals the cellular landscape underlying cardiac function. |










