验证数据展示
经过测试的应用
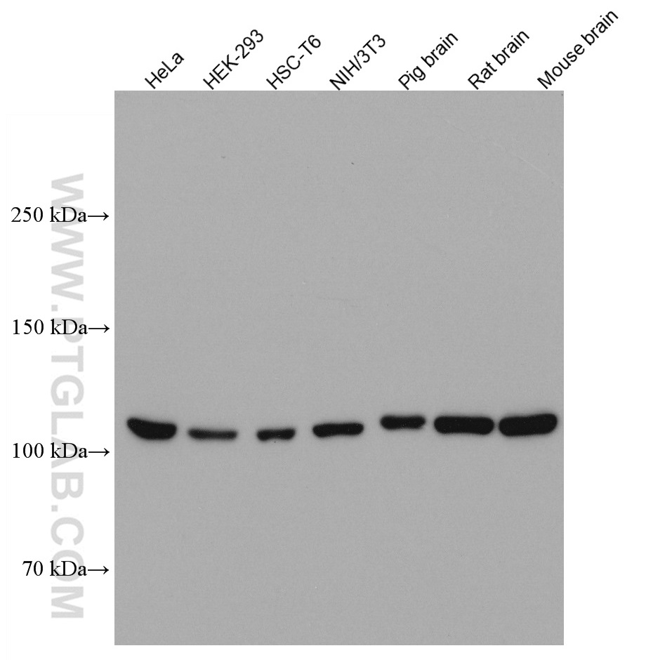
| Positive WB detected in | HeLa cells, HEK-293 cells, HSC-T6 cells, NIH/3T3 cells, pig brain tissue, rat brain tissue, mouse brain tissue |
| Positive IHC detected in | human lung cancer tissue, human colon cancer tissue Note: suggested antigen retrieval with TE buffer pH 9.0; (*) Alternatively, antigen retrieval may be performed with citrate buffer pH 6.0 |
| Positive IF/ICC detected in | HepG2 cells |
推荐稀释比
| 应用 | 推荐稀释比 |
|---|---|
| Western Blot (WB) | WB : 1:5000-1:50000 |
| Immunohistochemistry (IHC) | IHC : 1:250-1:1000 |
| Immunofluorescence (IF)/ICC | IF/ICC : 1:200-1:800 |
| It is recommended that this reagent should be titrated in each testing system to obtain optimal results. | |
| Sample-dependent, Check data in validation data gallery. | |
产品信息
66823-1-Ig targets OGT in WB, IHC, IF/ICC, ELISA applications and shows reactivity with Human, mouse, rat, pig samples.
| 经测试应用 | WB, IHC, IF/ICC, ELISA Application Description |
| 文献引用应用 | WB, IHC, IF |
| 经测试反应性 | Human, mouse, rat, pig |
| 文献引用反应性 | human, mouse, rat |
| 免疫原 |
CatNo: Ag28402 Product name: Recombinant human OGT protein Source: e coli.-derived, PET28a Tag: 6*His Domain: 1-400 aa of BC014434 Sequence: MASSVGNVADSTGLAELAHREYQAGDFEAAERHCMQLWRQEPDNTGVLLLLSSIHFQCRRLDRSAHFSTLAIKQNPLLAEAYSNLGNVYKERGQLQEAIEHYRHALRLKPDFIDGYINLAAALVAAGDMEGAVQAYVSALQYNPDLYCVRSDLGNLLKALGRLEEAKACYLKAIETQPNFAVAWSNLGCVFNAQGEIWLAIHHFEKAVTLDPNFLDAYINLGNVLKEARIFDRAVAAYLRALSLSPNHAVVHGNLACVYYEQGLIDLAIDTYRRAIELQPHFPDAYCNLANALKEKGSVAEAEDCYNTALRLCPTHADSLNNLANIKREQGNIEEAVRLYRKALEVFPEFAAAHSNLASVLQQQGKLQEALMHYKEAIRISPTFADAYSNMGNTLKEMQD 种属同源性预测 |
| 宿主/亚型 | Mouse / IgG2a |
| 抗体类别 | Monoclonal |
| 产品类型 | Antibody |
| 全称 | O-linked N-acetylglucosamine (GlcNAc) transferase (UDP-N-acetylglucosamine:polypeptide-N-acetylglucosaminyl transferase) |
| 别名 | FLJ23071, HRNT1, OGT |
| 计算分子量 | 1046 aa, 117 kDa |
| 观测分子量 | 110 kDa |
| GenBank蛋白编号 | BC014434 |
| 基因名称 | OGT |
| Gene ID (NCBI) | 8473 |
| RRID | AB_2882166 |
| 偶联类型 | Unconjugated |
| 形式 | Liquid |
| 纯化方式 | Protein A purification |
| UNIPROT ID | O15294 |
| 储存缓冲液 | PBS with 0.02% sodium azide and 50% glycerol, pH 7.3. |
| 储存条件 | Store at -20°C. Stable for one year after shipment. Aliquoting is unnecessary for -20oC storage. |
背景介绍
O-linked N-acetylglucosamine transferase (OGT) catalyzes the attachment of N-acetylglucosamine (GlcNAc) monosaccharides to the hydroxyl group of serine or threonine residues of numerous nuclear and cytoplasmic proteins and may play important roles in a large number of diverse intracellular processes ranging from translational control, transcription, transcriptional repression, INS resistance and regulation of the cell cycle. It exists as a heterotrimeric complex with two 110 kDa and one 70 kDa subunits. Recent studies have shown that O-GlcNAcylation plays essential roles in cancer formation and progression. O-GlcNAcylation as well as OGT expression was found to be significantly elevated in the cancer tissues.
实验方案
| Product Specific Protocols | |
|---|---|
| IF protocol for OGT antibody 66823-1-Ig | Download protocol |
| IHC protocol for OGT antibody 66823-1-Ig | Download protocol |
| WB protocol for OGT antibody 66823-1-Ig | Download protocol |
| Standard Protocols | |
|---|---|
| Click here to view our Standard Protocols |
发表文章
| Species | Application | Title |
|---|---|---|
Adv Sci (Weinh) LIMA1 O-GlcNAcylation Promotes Hepatic Lipid Deposition through Inducing β-catenin-Regulated FASn Expression in Metabolic Dysfunction-Associated Steatotic Liver Disease | ||
Sci Adv FOXA1 O-GlcNAcylation-mediated transcriptional switch governs metastasis capacity in breast cancer
| ||
Mol Cell Biochem O-GlcNAcylation of hexokinase 2 modulates mitochondrial dynamics and enhances the progression of lung cancer | ||
J Biol Chem Histone methyltransferase Dot1L recruits O-GlcNAc transferase to target chromatin sites to regulate histone O-GlcNAcylation. | ||
World J Gastrointest Oncol Senegenin suppresses hepatocellular carcinoma by regulating O-GlcNAcylation | ||
Oncogene Chromatin-associated OGT promotes the malignant progression of hepatocellular carcinoma by activating ZNF263
|





