验证数据展示
经过测试的应用
| Positive WB detected in | mouse brain tissue, human milk, SGC-7901 cells, rat brain tissue |
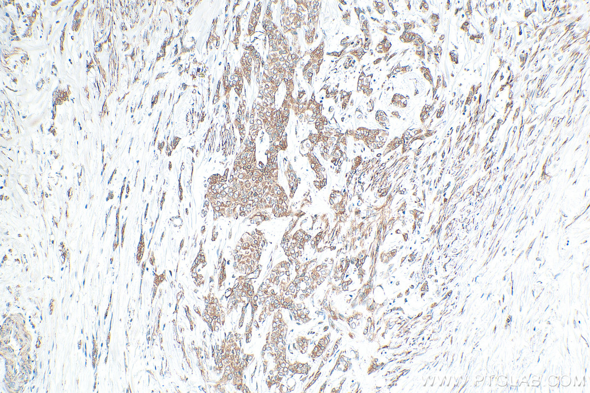
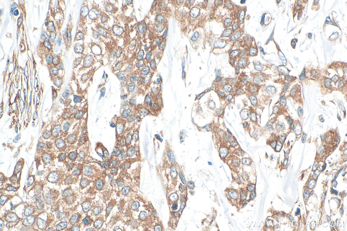
| Positive IHC detected in | human intrahepatic cholangiocarcinoma tissue, human urothelial carcinoma tissue Note: suggested antigen retrieval with TE buffer pH 9.0; (*) Alternatively, antigen retrieval may be performed with citrate buffer pH 6.0 |
| Positive IF/ICC detected in | U2OS cells |
推荐稀释比
| 应用 | 推荐稀释比 |
|---|---|
| Western Blot (WB) | WB : 1:1000-1:4000 |
| Immunohistochemistry (IHC) | IHC : 1:200-1:800 |
| Immunofluorescence (IF)/ICC | IF/ICC : 1:200-1:800 |
| It is recommended that this reagent should be titrated in each testing system to obtain optimal results. | |
| Sample-dependent, Check data in validation data gallery. | |
产品信息
30604-1-AP targets NUCB2 in WB, IHC, IF/ICC, ELISA applications and shows reactivity with human, mouse, rat samples.
| 经测试应用 | WB, IHC, IF/ICC, ELISA Application Description |
| 经测试反应性 | human, mouse, rat |
| 免疫原 |
CatNo: Ag30704 Product name: Recombinant human NUCB2 protein Source: e coli.-derived, PGEX-4T Tag: GST Domain: 320-420 aa of NM_005013 Sequence: KATEKKEFLEPDSWETLDQQQFFTEEELKEYENIIALQENELKKKADELQKQKEELQRQHDQLEAQKLEYHQVIQQMEQKKLQQGIPPSGPAGELKFEPHI 种属同源性预测 |
| 宿主/亚型 | Rabbit / IgG |
| 抗体类别 | Polyclonal |
| 产品类型 | Antibody |
| 全称 | nucleobindin 2 |
| 别名 | NUCB2/nesfatin-1, DNA binding protein NEFA, Gastric cancer antigen Zg4, NEFA, nucleobindin 2 |
| 计算分子量 | 50 kDa |
| 观测分子量 | 46-50 kDa |
| GenBank蛋白编号 | NM_005013 |
| 基因名称 | NUCB2 |
| Gene ID (NCBI) | 4925 |
| RRID | AB_3086372 |
| 偶联类型 | Unconjugated |
| 形式 | Liquid |
| 纯化方式 | Antigen affinity purification |
| UNIPROT ID | P80303 |
| 储存缓冲液 | PBS with 0.02% sodium azide and 50% glycerol, pH 7.3. |
| 储存条件 | Store at -20°C. Stable for one year after shipment. Aliquoting is unnecessary for -20oC storage. |
背景介绍
NucB2, an anorexigenic molecule, is expressed mainly in the hypothalamus, particularly in the supraoptic nucleus (SON) and the paraventricular nucleus (PVN). NucB2 is also expressed in the subfornical organ (SFO). Because the SON and PVN are involved in body fluid regulation, NucB2 may be involved in dehydration-induced anorexia. NUCB2 is composed of a signal peptide of 24 amino acids in the N-terminal region and a protin structure containing 396 amino acids. Nesfatin-1 is an 82-amino-acid peptide hormone cleaved from nucleobindin2 (NUCB2).
实验方案
| Product Specific Protocols | |
|---|---|
| IF protocol for NUCB2 antibody 30604-1-AP | Download protocol |
| IHC protocol for NUCB2 antibody 30604-1-AP | Download protocol |
| WB protocol for NUCB2 antibody 30604-1-AP | Download protocol |
| Standard Protocols | |
|---|---|
| Click here to view our Standard Protocols |







