验证数据展示
经过测试的应用
| Positive WB detected in | HeLa cells, A549 cells, HEK-293 cells, MCF-7 cells, Jurkat cells, NIH/3T3 cells, C6 cells |
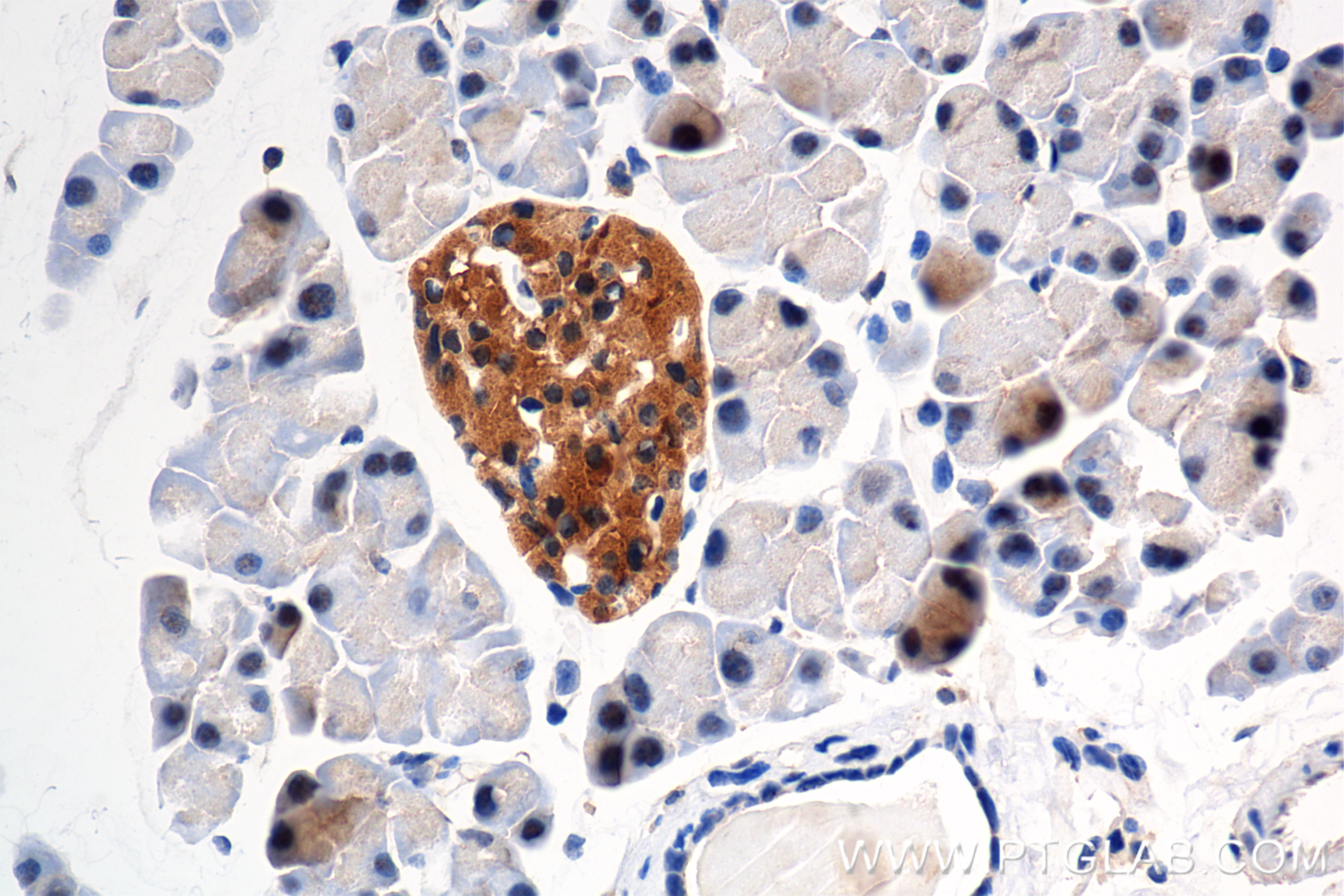
| Positive IHC detected in | mouse testis tissue, mouse pancreas tissue Note: suggested antigen retrieval with TE buffer pH 9.0; (*) Alternatively, antigen retrieval may be performed with citrate buffer pH 6.0 |
推荐稀释比
| 应用 | 推荐稀释比 |
|---|---|
| Western Blot (WB) | WB : 1:5000-1:50000 |
| Immunohistochemistry (IHC) | IHC : 1:500-1:2000 |
| It is recommended that this reagent should be titrated in each testing system to obtain optimal results. | |
| Sample-dependent, Check data in validation data gallery. | |
产品信息
83815-2-RR targets NRAS in WB, IHC, ELISA applications and shows reactivity with human, mouse, rat samples.
| 经测试应用 | WB, IHC, ELISA Application Description |
| 经测试反应性 | human, mouse, rat |
| 免疫原 |
CatNo: Ag1081 Product name: Recombinant human NRAS protein Source: e coli.-derived, PGEX-4T Tag: GST Domain: 1-189 aa of BC005219 Sequence: MTEYKLVVVGAGGVGKSALTIQLIQNHFVDEYDPTIEDSYRKQVVIDGETCLLDILDTAGQEEYSAMRDQYMRTGEGFLCVFAINNSKSFADINLYREQIKRVKDSDDVPMVLVGNKCDLPTRTVDTKQAHELAKSYGIPFIETSAKTRQGVEDAFYTLVREIRQYRMKKLNSSDDGTQGCMGLPCVVM 种属同源性预测 |
| 宿主/亚型 | Rabbit / IgG |
| 抗体类别 | Recombinant |
| 产品类型 | Antibody |
| 全称 | neuroblastoma RAS viral (v-ras) oncogene homolog |
| 别名 | HRAS1, EC:3.6.5.2, GTPase NRas, N ras, NRAS1 |
| 计算分子量 | 21 kDa |
| 观测分子量 | 21 kDa |
| GenBank蛋白编号 | BC005219 |
| 基因名称 | NRAS |
| Gene ID (NCBI) | 4893 |
| 偶联类型 | Unconjugated |
| 形式 | Liquid |
| 纯化方式 | Protein A purification |
| UNIPROT ID | P01111 |
| 储存缓冲液 | PBS with 0.02% sodium azide and 50% glycerol, pH 7.3. |
| 储存条件 | Store at -20°C. Stable for one year after shipment. Aliquoting is unnecessary for -20oC storage. |
背景介绍
NRAS, also named as N-ras and NRAS1, is neuroblastoma RAS viral (v-ras) oncogene homolog from the mammalian ras gene family and it is a member of the small GTPase superfamily. RAS proteins are involved in signal transduction pathways, and bind GDP/GTP and possess intrinsic GTPase activity. It is mapped on chromosome 1, and it is activated in HL60, a promyelocytic leukemia line. Defects in NRAS are a cause of juvenile myelomonocytic leukemia (JMML). NRAS is one member of RAS gene family of oncoproteins, which is commonly mutated in melanoma and hematopoietic cancers via mapped on chromosome 1 (PMID: 2327491, PMID: 26990546). NRAS mediates activation of both mitogen-activated protein kinase (MAPK) and PI3K/AKT/MYC signaling (PMID: 17297468). NRAS induced classical MAPK signaling leads to cyclin D1 expression and cell cycle dysregulation and promotion of prosurvival pathways (PMID:7970723,PMID: 18246127). In addition, NRAS effectively prevents Glycogen Synthase Kinase3 (GSK3)-mediated phosphorylation of MYC via PI3K/AKT, which results in enhanced activity of endogenous MYC protein (PMID: 17297468). Mutational NRAS causes Ras-GTP to be in a state of continuous activation, which results in malignant proliferation and metastasis (PMID: 24985059).
实验方案
| Product Specific Protocols | |
|---|---|
| WB protocol for NRAS antibody 83815-2-RR | Download protocol |
| Standard Protocols | |
|---|---|
| Click here to view our Standard Protocols |




