验证数据展示
经过测试的应用
| Positive WB detected in | HeLa cells, HepG2 cells |
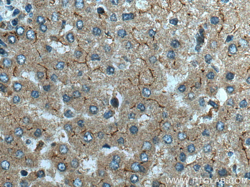
| Positive IHC detected in | human liver tissue Note: suggested antigen retrieval with TE buffer pH 9.0; (*) Alternatively, antigen retrieval may be performed with citrate buffer pH 6.0 |
推荐稀释比
| 应用 | 推荐稀释比 |
|---|---|
| Western Blot (WB) | WB : 1:500-1:2000 |
| Immunohistochemistry (IHC) | IHC : 1:50-1:500 |
| It is recommended that this reagent should be titrated in each testing system to obtain optimal results. | |
| Sample-dependent, Check data in validation data gallery. | |
发表文章中的应用
| WB | See 3 publications below |
产品信息
28085-1-AP targets NPC1L1 in WB, IHC, ELISA applications and shows reactivity with Human samples.
| 经测试应用 | WB, IHC, ELISA Application Description |
| 文献引用应用 | WB |
| 经测试反应性 | Human |
| 文献引用反应性 | human, rat |
| 免疫原 |
CatNo: Ag26277 Product name: Recombinant human NPC1L1 protein Source: e coli.-derived, PGEX-4T Tag: GST Domain: 415-514 aa of NM_001101648 Sequence: MPNRSSYRYDSLLLGPKNFSGILDLDLLLELLELQERLRHLQVWSPEAQRNISLQDICYAPLNPDNTSLYDCCINSLLQYFQNNRTLLLLTANQTLMGQTS 种属同源性预测 |
| 宿主/亚型 | Rabbit / IgG |
| 抗体类别 | Polyclonal |
| 产品类型 | Antibody |
| 全称 | NPC1 (Niemann-Pick disease, type C1, gene)-like 1 |
| 别名 | Niemann Pick C1 like protein 1, NPC1L1 |
| 计算分子量 | 149 kDa |
| 观测分子量 | 140-149 kDa |
| GenBank蛋白编号 | NM_001101648 |
| 基因名称 | NPC1L1 |
| Gene ID (NCBI) | 29881 |
| RRID | AB_2918146 |
| 偶联类型 | Unconjugated |
| 形式 | Liquid |
| 纯化方式 | Antigen affinity purification |
| UNIPROT ID | Q9UHC9 |
| 储存缓冲液 | PBS with 0.02% sodium azide and 50% glycerol, pH 7.3. |
| 储存条件 | Store at -20°C. Stable for one year after shipment. Aliquoting is unnecessary for -20oC storage. |
背景介绍
NPC1 like intracellular cholesterol transporter 1 (NPC1L1) is a multi-pass membrane protein which has 1332 amino acids and containing a conserved N-terminal Niemann-Pick C1 (NPC1) domain and a putative sterol-sensing domain (SSD). It is only found in the tubular membranes of primate hepatocytes and the brush-border membranes of the small intestine of mammals. PC1L1 is a key protein for intestinal absorption of cholesterol and plays an important role in cholesterol balance. Cholesterol contributes to cell proliferation, invasion and latency, and is essential for tumor formation and growth, so NPC1L1 plays a critical role in tumor development and spread (PMID: 36034854).
实验方案
| Product Specific Protocols | |
|---|---|
| IHC protocol for NPC1L1 antibody 28085-1-AP | Download protocol |
| WB protocol for NPC1L1 antibody 28085-1-AP | Download protocol |
| Standard Protocols | |
|---|---|
| Click here to view our Standard Protocols |
发表文章
| Species | Application | Title |
|---|---|---|
Biomedicines Co-Expression of Niemann-Pick Type C1-Like1 (NPC1L1) with ACE2 Receptor Synergistically Enhances SARS-CoV-2 Entry and Fusion | ||
Int J Biol Macromol Identification of targets and comparative study of administration methods for the lipid-lowering effects of fucoidan from Saccharina japonica | ||
Foods Efficient Hydrolysis of Earthworm Protein and the Lipid-Lowering Mechanism of Peptides in the Hydrolysate |


