验证数据展示
经过测试的应用
| Positive WB detected in | HepG2 cells |
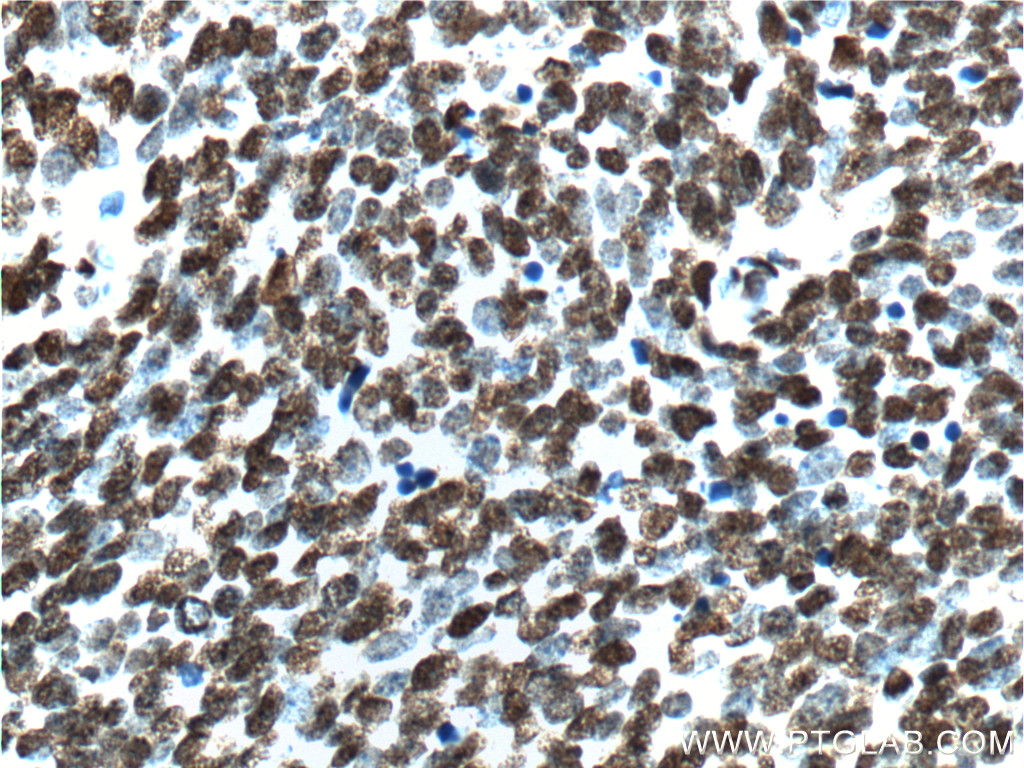
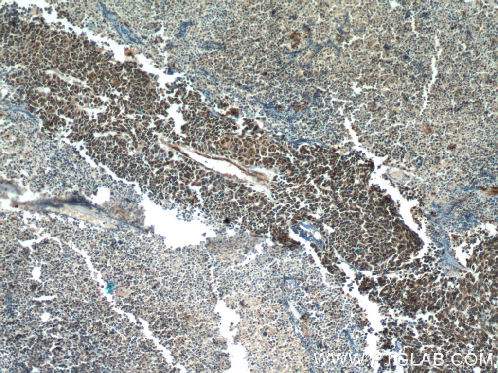
| Positive IHC detected in | human thyroid cancer tissue, human lung cancer tissue Note: suggested antigen retrieval with TE buffer pH 9.0; (*) Alternatively, antigen retrieval may be performed with citrate buffer pH 6.0 |
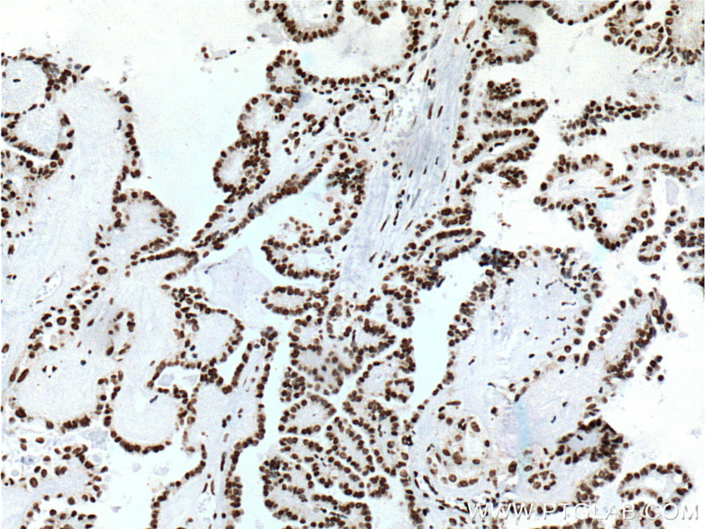
| Positive IF-P detected in | human lung cancer tissue |
推荐稀释比
| 应用 | 推荐稀释比 |
|---|---|
| Western Blot (WB) | WB : 1:1000-1:8000 |
| Immunohistochemistry (IHC) | IHC : 1:50-1:500 |
| Immunofluorescence (IF)-P | IF-P : 1:200-1:800 |
| It is recommended that this reagent should be titrated in each testing system to obtain optimal results. | |
| Sample-dependent, Check data in validation data gallery. | |
产品信息
66034-1-Ig targets TTF1/NKX2-1 in WB, IHC, IF-P, ELISA applications and shows reactivity with human, pig samples.
| 经测试应用 | WB, IHC, IF-P, ELISA Application Description |
| 文献引用应用 | WB, IHC, IF |
| 经测试反应性 | human, pig |
| 文献引用反应性 | human |
| 免疫原 |
Peptide 种属同源性预测 |
| 宿主/亚型 | Mouse / IgG3 |
| 抗体类别 | Monoclonal |
| 产品类型 | Antibody |
| 全称 | NK2 homeobox 1 |
| 别名 | TTF1, TTF1; NKX2-1, 2C8F3, BHC, Homeobox protein Nkx 2.1 |
| 计算分子量 | 42 kDa |
| 观测分子量 | 41 kDa |
| GenBank蛋白编号 | NM_003317 |
| 基因名称 | TTF1 |
| Gene ID (NCBI) | 7080 |
| RRID | AB_11045663 |
| 偶联类型 | Unconjugated |
| 形式 | Liquid |
| 纯化方式 | Protein A purification |
| UNIPROT ID | P43699 |
| 储存缓冲液 | PBS with 0.02% sodium azide and 50% glycerol, pH 7.3. |
| 储存条件 | Store at -20°C. Stable for one year after shipment. Aliquoting is unnecessary for -20oC storage. |
背景介绍
Homeobox protein Nkx-2.1 (NKX2-1), also named Thyroid nuclear factor 1,Thyroid transcription factor 1(TTF1). It is a transcription factor that binds and activates the promoter of thyroid specific genes such as thyroglobulin, thyroperoxidase, and thyrotropin receptor. Crucial in the maintenance of the thyroid differentiation phenotype. May play a role in lung development and surfactant homeostasis. Defects in NKX2-1 are the cause of benign hereditary chorea (BHC), choreoathetosis, hypothyroidism, and neonatal respiratory distress (CHNRD).
实验方案
| Product Specific Protocols | |
|---|---|
| IF protocol for TTF1/NKX2-1 antibody 66034-1-Ig | Download protocol |
| IHC protocol for TTF1/NKX2-1 antibody 66034-1-Ig | Download protocol |
| WB protocol for TTF1/NKX2-1 antibody 66034-1-Ig | Download protocol |
| Standard Protocols | |
|---|---|
| Click here to view our Standard Protocols |
发表文章
| Species | Application | Title |
|---|---|---|
Int Immunopharmacol TRx0237 induces apoptosis and enhances anti-PD-1 immunotherapeutic efficacy in anaplastic thyroid Cancer | ||
ACS Omega Interpreting the Pharmacological Mechanisms of Sho-saiko-to on Thyroid Carcinoma through Combining Network Pharmacology and Experimental Evaluation. | ||
Cell Biochem Biophys Suberoylanilide Hydroxamic Acid (SAHA) Reduces Fibrosis Markers and Deactivates Human Stellate Cells via the Epithelial-Mesenchymal Transition (EMT). | ||
Front Immunol Single-cell RNA-seq reveals a repair pattern in cystic lesions in steroid induced osteonecrosis of the femoral head | ||
Mol Pharm Dihydroartemisinin-Loaded ZIF-8 Nanoparticles Elicit Chemo-Immunotherapy against Malignant Pleural Effusion via Inhibition of OCT4/M-CSF Signaling Pathway. | ||
Nat Commun Single-cell analysis of gastric signet ring cell carcinoma reveals cytological and immune microenvironment features |







