验证数据展示
经过测试的应用
| Positive WB detected in | HeLa cells, HepG2 cells, MCF-7 cells, HEK-293 cells, Jurkat cells, SH-SY5Y cells, NIH/3T3 cells, MDCK cells, mouse brain tissue, rat brain tissue |
| Positive IP detected in | HeLa cells |
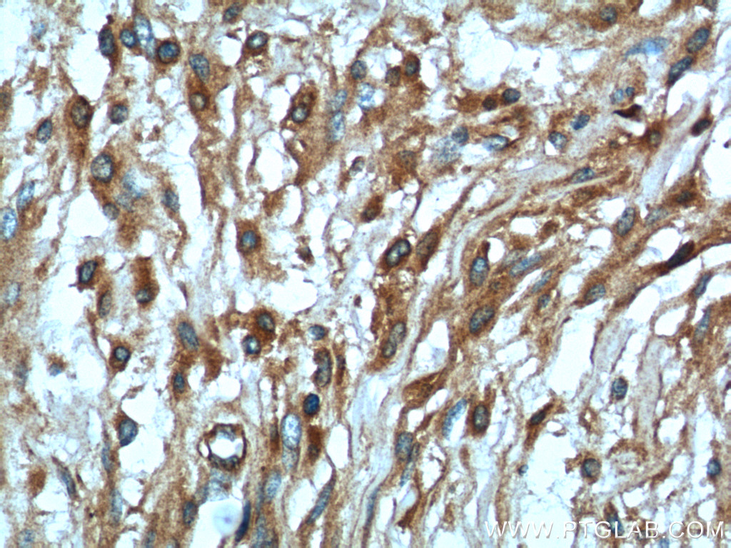
| Positive IHC detected in | mouse brain tissue, human meningioma tissue Note: suggested antigen retrieval with TE buffer pH 9.0; (*) Alternatively, antigen retrieval may be performed with citrate buffer pH 6.0 |
| Positive IF/ICC detected in | HeLa cells |
推荐稀释比
| 应用 | 推荐稀释比 |
|---|---|
| Western Blot (WB) | WB : 1:2000-1:16000 |
| Immunoprecipitation (IP) | IP : 0.5-4.0 ug for 1.0-3.0 mg of total protein lysate |
| Immunohistochemistry (IHC) | IHC : 1:750-1:3000 |
| Immunofluorescence (IF)/ICC | IF/ICC : 1:200-1:800 |
| It is recommended that this reagent should be titrated in each testing system to obtain optimal results. | |
| Sample-dependent, Check data in validation data gallery. | |
产品信息
21686-1-AP targets Neurofibromin 2 in WB, IHC, IF/ICC, IP, ELISA applications and shows reactivity with human, mouse, rat, canine samples.
| 经测试应用 | WB, IHC, IF/ICC, IP, ELISA Application Description |
| 文献引用应用 | WB, IHC, IF |
| 经测试反应性 | human, mouse, rat, canine |
| 文献引用反应性 | human, mouse, rat |
| 免疫原 |
CatNo: Ag16265 Product name: Recombinant human NF2 protein Source: e coli.-derived, PGEX-4T Tag: GST Domain: 245-595 aa of BC020257 Sequence: DPENRLTPKISFPWNEIRNISYSDKEFTIKPLDKKIDVFKFNSSKLRVNKLILQLCIGNHDLFMRRRKADSLEVQQMKAQAREEKARKQMERQRLAREKQMREEAERTRDELERRLLQMKEEATMANEALMRSEETADLLAEKAQITEEEAKLLAQKAAEAEQEMQRIKATAIRTEEEKRLMEQKVLEAEVLALKMAEESERRAKEADQLKQDLQEAREAERRAKQKLLEIATKPTYPPMNPIPAPLPPDIPSFNLIGDSLSFDFKDTDMKRLSMEIEKEKVEYMEKSKHLQEQLNELKTEIEALKLKERETALDILHNENSDRGGSSKHNTIKKLTLQSAKSRVAFFEEL 种属同源性预测 |
| 宿主/亚型 | Rabbit / IgG |
| 抗体类别 | Polyclonal |
| 产品类型 | Antibody |
| 全称 | neurofibromin 2 (merlin) |
| 别名 | NF2, Neurofibromin-2, Moesin-ezrin-radixin-like protein, Merlin |
| 计算分子量 | 595 aa, 70 kDa |
| 观测分子量 | 66-70 kDa |
| GenBank蛋白编号 | BC020257 |
| 基因名称 | NF2 |
| Gene ID (NCBI) | 4771 |
| RRID | AB_10792410 |
| 偶联类型 | Unconjugated |
| 形式 | Liquid |
| 纯化方式 | Antigen affinity purification |
| UNIPROT ID | P35240 |
| 储存缓冲液 | PBS with 0.02% sodium azide and 50% glycerol, pH 7.3. |
| 储存条件 | Store at -20°C. Stable for one year after shipment. Aliquoting is unnecessary for -20oC storage. |
背景介绍
Neurofibromatosis 2 (NF2) tumor suppressor protein-merlin is involved in Hippo/SWH signaling pathway that associated with tumor suppression by restricting proliferation and promoting apoptosis. It has been reported that merlin can change to phosphorylation form which inactivates merlin tumor suppressive abilities at serine 518 induced by Rac effector p21-activated kinase 2. The mutation of the NF2 tumor suppressor gene may lead to nervous system tumors, mesotheliomas and metastatic tumors.
实验方案
| Product Specific Protocols | |
|---|---|
| IF protocol for Neurofibromin 2 antibody 21686-1-AP | Download protocol |
| IHC protocol for Neurofibromin 2 antibody 21686-1-AP | Download protocol |
| IP protocol for Neurofibromin 2 antibody 21686-1-AP | Download protocol |
| WB protocol for Neurofibromin 2 antibody 21686-1-AP | Download protocol |
| Standard Protocols | |
|---|---|
| Click here to view our Standard Protocols |
发表文章
| Species | Application | Title |
|---|---|---|
Thyroid MicroRNA-146b-3p promotes cell metastasis by directly targeting NF2 in human papillary thyroid cancer. | ||
Onco Targets Ther PWP1 Promotes the Malignant Phenotypes of Lung Cancer Cells by Interacting with DVL2 and Merlin.
| ||
Cancer Manag Res MiR-25-3p Serves as an Oncogenic MicroRNA by Downregulating the Expression of Merlin in Osteosarcoma. | ||
Biochem Biophys Res Commun A hairpin within YAP mRNA 3'UTR functions in regulation at post-transcription level. | ||
J Cell Physiol Enhancement of tenogenic differentiation of rat tendon-derived stem cells by biglycan. |
















