验证数据展示
经过测试的应用
| Positive WB detected in | Jurkat cells, human kidney tissue, mouse kidney tissue, NIH/3T3 cells, rat kidney tissue | 
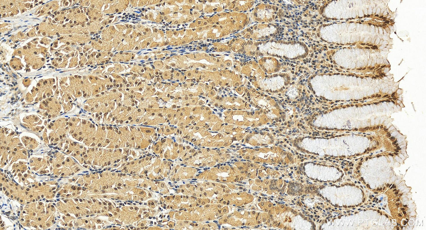
| Positive IHC detected in | human stomach tissue Note: suggested antigen retrieval with TE buffer pH 9.0; (*) Alternatively, antigen retrieval may be performed with citrate buffer pH 6.0 | 
推荐稀释比
| 应用 | 推荐稀释比 | 
|---|---|
| Western Blot (WB) | WB : 1:1000-1:6000 | 
| Immunohistochemistry (IHC) | IHC : 1:50-1:500 | 
| It is recommended that this reagent should be titrated in each testing system to obtain optimal results. | |
| Sample-dependent, Check data in validation data gallery. | |
发表文章中的应用
| WB | See 1 publications below | 
产品信息
10659-1-AP targets Neurofibromin 2 in WB, IHC, ELISA applications and shows reactivity with human, mouse samples.
| 经测试应用 | WB, IHC, ELISA Application Description | 
| 文献引用应用 | WB | 
| 经测试反应性 | human, mouse | 
| 文献引用反应性 | human | 
| 免疫原 | CatNo: Ag1013 Product name: Recombinant human NF2 protein Source: e coli.-derived, PGEX-4T Tag: GST Domain: 1-82 aa of BC007279 Sequence: MVVSLRALLLALRQKPHSTGTIHEVTAQLMMSVRLSFWPVAVCSCVAQMASFILIKAPPQPQQSPQPVLSTLLFMYLPGPAR种属同源性预测 | 
| 宿主/亚型 | Rabbit / IgG | 
| 抗体类别 | Polyclonal | 
| 产品类型 | Antibody | 
| 全称 | neurofibromin 2 (merlin) | 
| 别名 | NF2, Neurofibromin-2, Moesin-ezrin-radixin-like protein, Merlin | 
| 计算分子量 | 70 kDa | 
| 观测分子量 | 64-66 kDa | 
| GenBank蛋白编号 | BC007279 | 
| 基因名称 | NF2 | 
| Gene ID (NCBI) | 4771 | 
| RRID | AB_2149815 | 
| 偶联类型 | Unconjugated | 
| 形式 | Liquid | 
| 纯化方式 | Antigen affinity purification | 
| UNIPROT ID | P35240 | 
| 储存缓冲液 | PBS with 0.02% sodium azide and 50% glycerol, pH 7.3. | 
| 储存条件 | Store at -20°C. Stable for one year after shipment. Aliquoting is unnecessary for -20oC storage. | 
背景介绍
Neurofibromatosis 2 (NF2) tumor suppressor protein-merlin is involved in Hippo/SWH signaling pathway that associated with tumor suppression by restricting proliferation and promoting apoptosis. It has been reported that merlin can change to phosphorylation form which inactivates merlin tumor suppressive abilities at serine 518 induced by Rac effector p21-activated kinase 2. The mutation of the NF2 tumor suppressor gene may lead to nervous system tumors, mesotheliomas and metastatic tumors.
实验方案
| Product Specific Protocols | |
|---|---|
| IHC protocol for Neurofibromin 2 antibody 10659-1-AP | Download protocol | 
| WB protocol for Neurofibromin 2 antibody 10659-1-AP | Download protocol | 
| Standard Protocols | |
|---|---|
| Click here to view our Standard Protocols | 






