验证数据展示
经过测试的应用
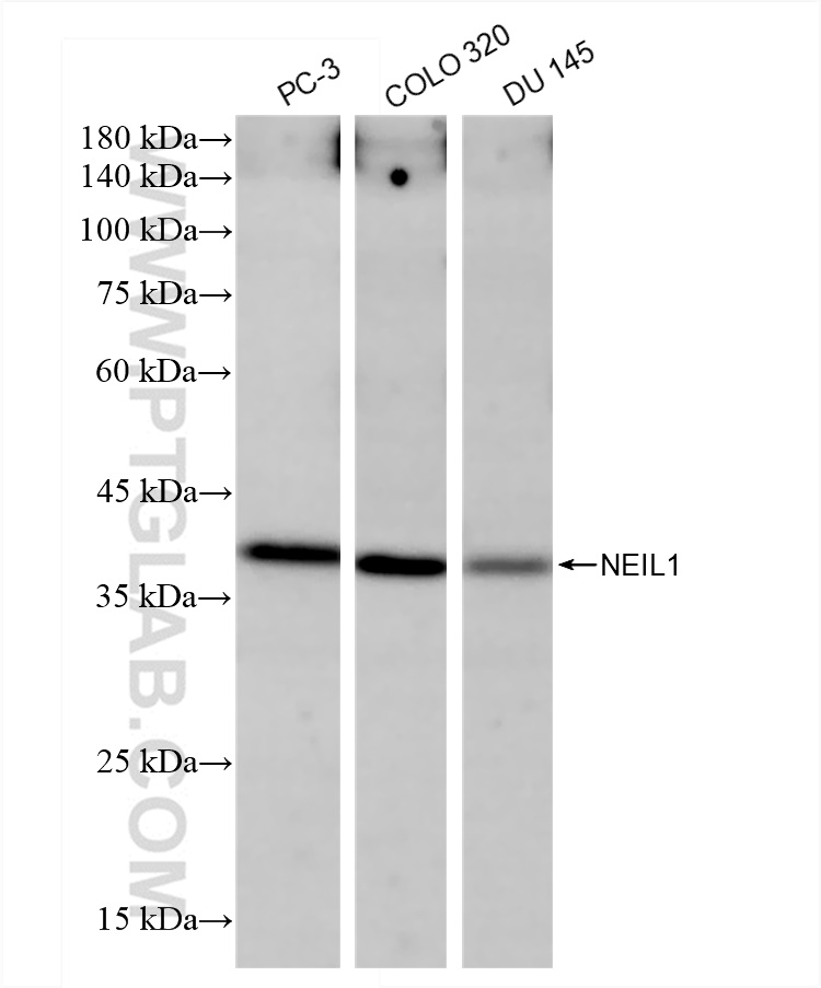
| Positive WB detected in | PC-3 cells, COLO 320 cells, DU145 cells |
| Positive FC (Intra) detected in | HEK-293 cells |
推荐稀释比
| 应用 | 推荐稀释比 |
|---|---|
| Western Blot (WB) | WB : 1:500-1:2000 |
| Flow Cytometry (FC) (INTRA) | FC (INTRA) : 0.25 ug per 10^6 cells in a 100 µl suspension |
| It is recommended that this reagent should be titrated in each testing system to obtain optimal results. | |
| Sample-dependent, Check data in validation data gallery. | |
产品信息
83376-7-RR targets NEIL1 in WB, ELISA applications and shows reactivity with human samples.
| 经测试应用 | WB, ELISA Application Description |
| 经测试反应性 | human |
| 免疫原 |
CatNo: Ag2793 Product name: Recombinant human NEIL1 protein Source: e coli.-derived, PGEX-4T Tag: GST Domain: 1-390 aa of BC010876 Sequence: MPEGPELHLASQFVNEACRALVFGGCVEKSSVSRNPEVPFESSAYRISASARGKELRLILSPLPGAQPQQEPLALVFRFGMSGSFQLVPREELPRHAHLRFYTAPPGPRLALCFVDIRRFGRWDLGGKWQPGRGPCVLQEYQQFRENVLRNLADKAFDRPICEALLDQRFFNGIGNYLRAEILYRLKIPPFEKARSVLEALQQHRPSPELTLSQKIRTKLQNPDLLELCHSVPKEVVQLGGRGYGSESGEEDFAAFRAWLRCYGMPGMSSLQDRHGRTIWFQGDPGPLAPKGRKSRKKKSKATQLSPEDRVEDALPPSKAPSRTRRAKRDLPKRTATQRPEGTSLQQDPEAPTVPKKGRRKGRQAASGHCRPRKVKADIPSLEPEGTSAS 种属同源性预测 |
| 宿主/亚型 | Rabbit / IgG |
| 抗体类别 | Recombinant |
| 产品类型 | Antibody |
| 全称 | nei endonuclease VIII-like 1 (E. coli) |
| 别名 | NEI L1, Endonuclease VIII-like 1, Endonuclease 8-like 1, EC:3.2.2.-, DNA-(apurinic or apyrimidinic site) lyase Neil1 |
| 计算分子量 | 390 aa, 44 kDa |
| 观测分子量 | 40-45 kDa |
| GenBank蛋白编号 | BC010876 |
| 基因名称 | NEIL1 |
| Gene ID (NCBI) | 79661 |
| RRID | AB_3671029 |
| 偶联类型 | Unconjugated |
| 形式 | Liquid |
| 纯化方式 | Protein A purfication |
| UNIPROT ID | Q96FI4 |
| 储存缓冲液 | PBS with 0.02% sodium azide and 50% glycerol, pH 7.3. |
| 储存条件 | Store at -20°C. Stable for one year after shipment. Aliquoting is unnecessary for -20oC storage. |
背景介绍
NEIL1, also named as NEH1 and FPG1, belongs to the FPG family. It is involved in base excision repair of DNA damaged by oxidation or by mutagenic agents. NEIL1 acts as DNA glycosylase that recognizes and removes damaged bases. It has a preference for oxidized pyrimidines, such as thymine glycol, formamidopyrimidine (Fapy) and 5-hydroxyuracil. NEIL1 has marginal activity towards 8-oxoguanine. It has AP (apurinic/apyrimidinic) lyase activity and introduces nicks in the DNA strand. It cleaves the DNA backbone by beta-delta elimination to generate a single-strand break at the site of the removed base with both 3'- and 5'-phosphates. NEIL1 has DNA glycosylase/lyase activity towards mismatched uracil and thymine, in particular in U:C and T:C mismatches. The increased BER activity of NEILs may represent an adaptive response against ROS-induced DNA damage resulting from aniline exposure, and could be an important mechanism for the removal of oxidative DNA lesions. (PMID:21145906)
实验方案
| Product Specific Protocols | |
|---|---|
| FC protocol for NEIL1 antibody 83376-7-RR | Download protocol |
| WB protocol for NEIL1 antibody 83376-7-RR | Download protocol |
| Standard Protocols | |
|---|---|
| Click here to view our Standard Protocols |


