验证数据展示
经过测试的应用
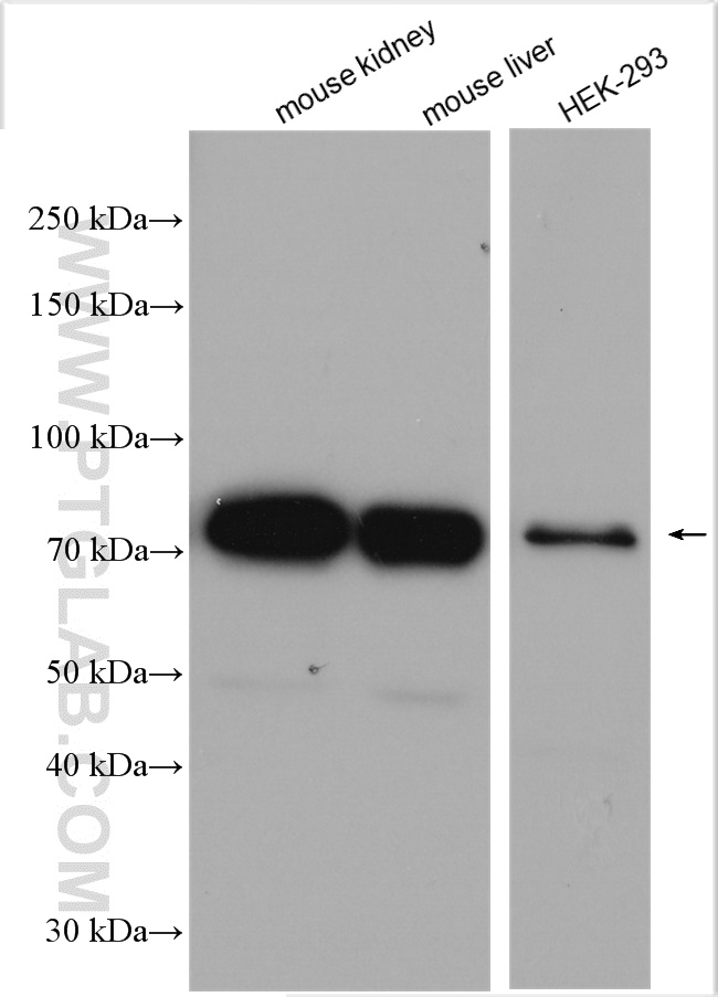
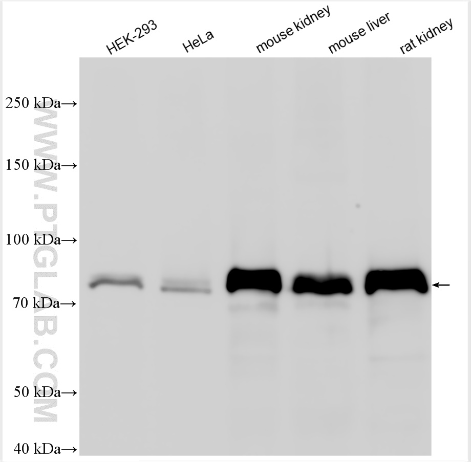
| Positive WB detected in | mouse kidney tissue, mouse liver tissue, HEK-293 cells, A549 cells, HeLa cells, HEK-293 tissue, rat kidney tissue |
| Positive IP detected in | mouse lung tissue |
| Positive IHC detected in | human liver cancer tissue Note: suggested antigen retrieval with TE buffer pH 9.0; (*) Alternatively, antigen retrieval may be performed with citrate buffer pH 6.0 |
| Positive IF/ICC detected in | HepG2 cells |
推荐稀释比
| 应用 | 推荐稀释比 |
|---|---|
| Western Blot (WB) | WB : 1:2000-1:10000 |
| Immunoprecipitation (IP) | IP : 0.5-4.0 ug for 1.0-3.0 mg of total protein lysate |
| Immunohistochemistry (IHC) | IHC : 1:250-1:1000 |
| Immunofluorescence (IF)/ICC | IF/ICC : 1:200-1:800 |
| It is recommended that this reagent should be titrated in each testing system to obtain optimal results. | |
| Sample-dependent, Check data in validation data gallery. | |
产品信息
12444-1-AP targets NDUFS1 in WB, IHC, IF/ICC, IP, CoIP, ELISA applications and shows reactivity with human, mouse, rat samples.
| 经测试应用 | WB, IHC, IF/ICC, IP, ELISA Application Description |
| 文献引用应用 | WB, IHC, IF, CoIP |
| 经测试反应性 | human, mouse, rat |
| 文献引用反应性 | human, mouse, rat, drosophila |
| 免疫原 |
CatNo: Ag3135 Product name: Recombinant human NDUFS1 protein Source: e coli.-derived, PGEX-4T Tag: GST Domain: 1-305 aa of BC030833 Sequence: MLRIPVRKALVGLSKSPKGCVRTTATAASNLIEVFVDGQSVMVEPGTTVLQACEKVGMQIPRFCYHERLSVAGNCRMCLVEIEKAPKVVAACAMPVMKGWNILTNSEKSKKAREGVMEFLLANHPLDCPICDQGGECDLQDQSMMFGNDRSRFLEGKRAVEDKNIGPLVKTIMTRCIQCTRCIRFASEIAGVDDLGTTGRGNDMQVGTYIEKMFMSELSGNIIDICPVGALTSKPYAFTAQPWETRKTESIDVMDAVGSNIVVSTRTGEVMRILPRMHEDINEEWISDKTRFAYDGLKRQRLTEP 种属同源性预测 |
| 宿主/亚型 | Rabbit / IgG |
| 抗体类别 | Polyclonal |
| 产品类型 | Antibody |
| 全称 | NADH dehydrogenase (ubiquinone) Fe-S protein 1, 75kDa (NADH-coenzyme Q reductase) |
| 别名 | NADH-ubiquinone oxidoreductase 75 kDa subunit, mitochondrial, EC:7.1.1.2, Complex I-75kD, Complex I 75kD, CI-75kD |
| 计算分子量 | 727 aa, 79 kDa |
| 观测分子量 | 74-81 kDa |
| GenBank蛋白编号 | BC030833 |
| 基因名称 | NDUFS1 |
| Gene ID (NCBI) | 4719 |
| RRID | AB_2282657 |
| 偶联类型 | Unconjugated |
| 形式 | Liquid |
| 纯化方式 | Antigen affinity purification |
| UNIPROT ID | P28331 |
| 储存缓冲液 | PBS with 0.02% sodium azide and 50% glycerol, pH 7.3. |
| 储存条件 | Store at -20°C. Stable for one year after shipment. Aliquoting is unnecessary for -20oC storage. |
背景介绍
The multisubunit NADH:ubiquinone oxidoreductase (75 kDa subunit, mitochondrial)(NDUFS1) is the first enzyme complex in the electron transport chain of mitochondria. It is also named as Complex I-75kD. By use of chaotropic agents, complex I can be fragmented into 3 different fractions: a flavoprotein fraction, an iron-sulfur protein (IP) fraction, and a hydrophobic protein (HP) fraction. NDUFS1 is the largest subunit of complex I and it is a component of the iron-sulfur (IP) fragment of the enzyme. NDUFS1 has some isoforms with the molecular mass of 68-81 kDa.
实验方案
| Product Specific Protocols | |
|---|---|
| IF protocol for NDUFS1 antibody 12444-1-AP | Download protocol |
| IHC protocol for NDUFS1 antibody 12444-1-AP | Download protocol |
| IP protocol for NDUFS1 antibody 12444-1-AP | Download protocol |
| WB protocol for NDUFS1 antibody 12444-1-AP | Download protocol |
| Standard Protocols | |
|---|---|
| Click here to view our Standard Protocols |
发表文章
| Species | Application | Title |
|---|---|---|
Cell Discov The Fe-S cluster assembly protein IscU2 increases α-ketoglutarate catabolism and DNA 5mC to promote tumor growth | ||
Cell Metab Integrative genetic analysis identifies FLVCR1 as a plasma-membrane choline transporter in mammals | ||
Nat Med Cardioprotection by S-nitrosation of a cysteine switch on mitochondrial complex I. | ||
Nat Struct Mol Biol TDP-43 aggregation induced by oxidative stress causes global mitochondrial imbalance in ALS. | ||
Cell Res NDUFAB1 confers cardio-protection by enhancing mitochondrial bioenergetics through coordination of respiratory complex and supercomplex assembly. |













