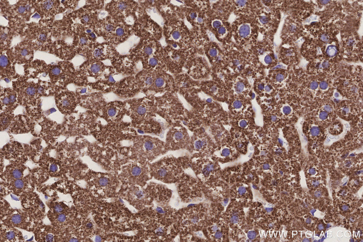
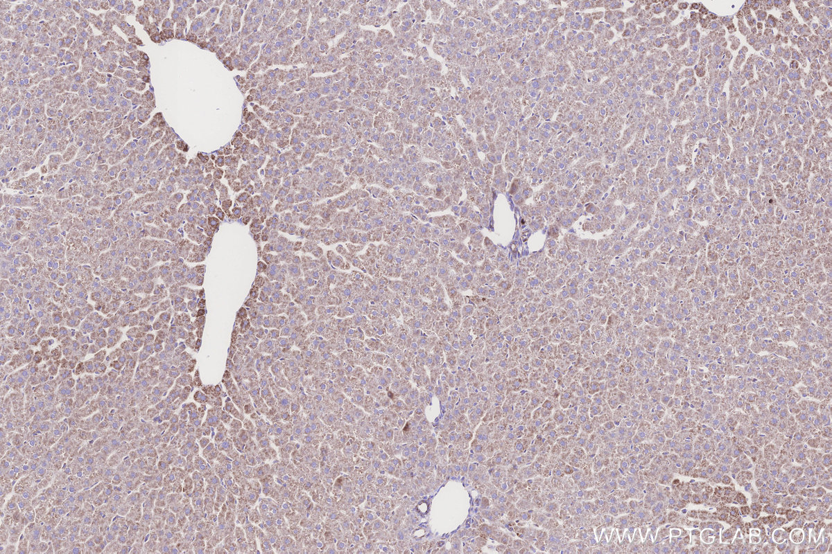
IHCeasy® NDUFS1 Ready-To-Use IHC Kit
NDUFS1 Ready-to-use reagent kit for IHC.
Reactivity
Human, Mouse, Rat
Sample Type
FFPE tissue
Cat no : KHC3242
Synonyms
CI 75Kd, CI-75kD, Complex I 75kD, Complex I-75kD, EC:7.1.1.2
Validation Data Gallery
Product Information
KHC3242 is a ready-to-use IHC kit for staining of NDUFS1. The kit provides all reagents, from antigen retrieval to cover slip mounting, that require little to no diluting or handling prior to use. Simply apply the reagents to your sample slide according to the protocol and you're steps away from obtaining high-quality IHC data.
| Product name | IHCeasy® NDUFS1 Ready-To-Use IHC Kit |
| Sample type | FFPE tissue |
| Assay type | Immunohistochemistry |
| Primary antibody type | Mouse Monoclonal |
| Secondary antibody type | Polymer-HRP-Goat anti-Mouse |
| Reactivity | Human, Mouse, Rat |
Kit components
| Component | Size | Concentration |
|---|---|---|
| Antigen Retrieval Buffer | 100 mL | 50× |
| Washing Buffer | 100 mL ×2 | 20× |
| Blocking Buffer | 5 mL | RTU |
| Primary Antibody | 5 mL | RTU |
| Secondary Antibody | 5 mL | RTU |
| Chromogen Component A | 0.2 mL | RTU |
| Chromogen Component B | 4 mL | RTU |
| Signal Enhancer | 5 mL | RTU |
| Counter Staining Reagent | 5 mL | RTU |
| Mounting Media | 5 mL | RTU |
| Datasheet | 1 Copy | |
| Manual | 1 Copy |
Background Information
The multisubunit NADH:ubiquinone oxidoreductase (75 kDa subunit, mitochondrial)(NDUFS1) is the first enzyme complex in the electron transport chain of mitochondria. It is also named as Complex I-75kD. By use of chaotropic agents, complex I can be fragmented into 3 different fractions: a flavoprotein fraction, an iron-sulfur protein (IP) fraction, and a hydrophobic protein (HP) fraction. NDUFS1 is the largest subunit of complex I and it is a component of the iron-sulfur (IP) fragment of the enzyme.
Properties
| Storage Instructions | All the reagents are stored at 2-8°C. The kit is stable for 6 months from the date of receipt. |
| Synonyms | CI 75Kd, CI-75kD, Complex I 75kD, Complex I-75kD, EC:7.1.1.2 |





