验证数据展示
经过测试的应用
| Positive WB detected in | A-673 cells, SK-BR-3 cells, PANC-1 cells, Ramos cells, HeLa cells, mouse heart tissue, rat heart tissue |
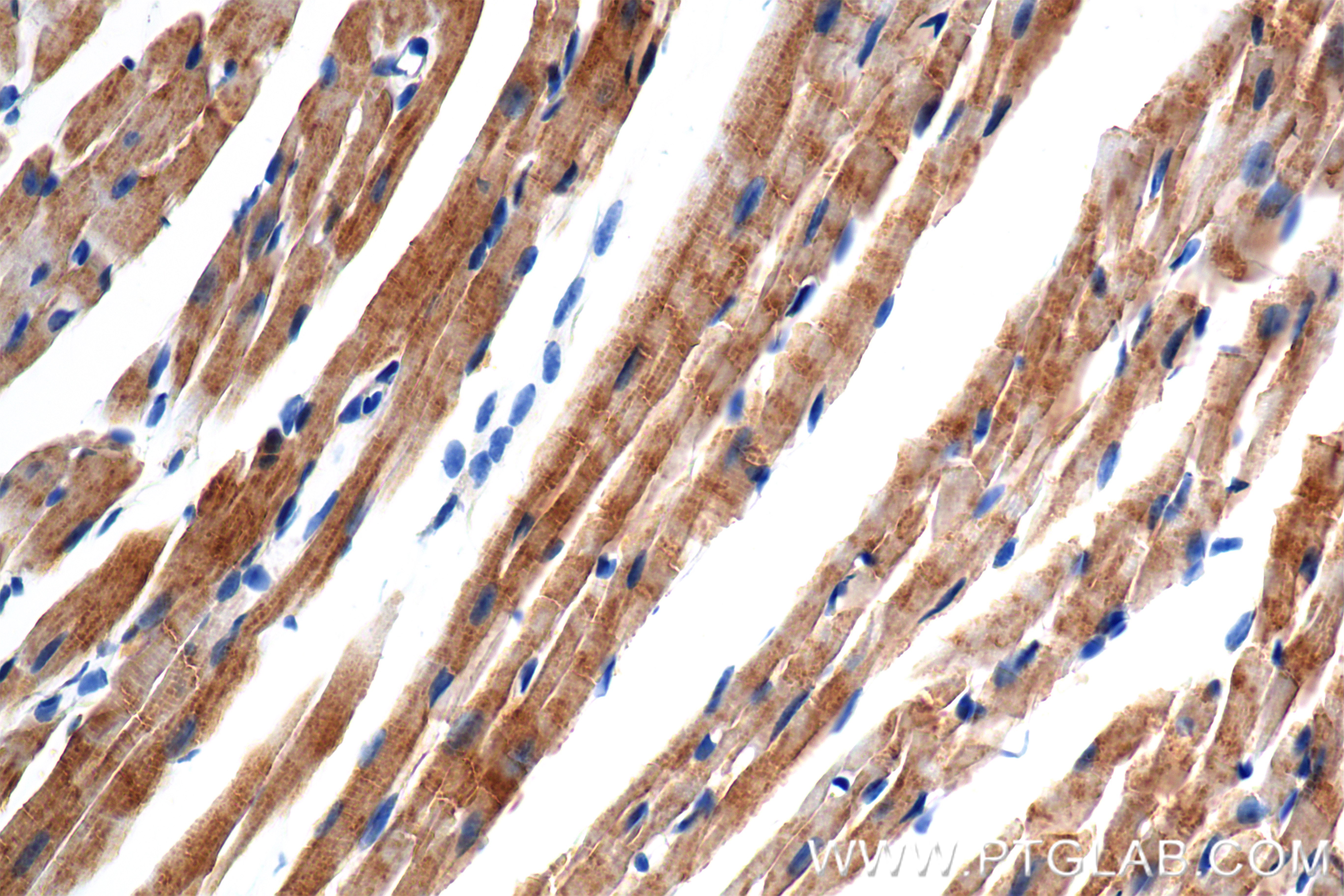
| Positive IHC detected in | mouse heart tissue, rat heart tissue Note: suggested antigen retrieval with TE buffer pH 9.0; (*) Alternatively, antigen retrieval may be performed with citrate buffer pH 6.0 |
推荐稀释比
| 应用 | 推荐稀释比 |
|---|---|
| Western Blot (WB) | WB : 1:5000-1:50000 |
| Immunohistochemistry (IHC) | IHC : 1:500-1:2000 |
| It is recommended that this reagent should be titrated in each testing system to obtain optimal results. | |
| Sample-dependent, Check data in validation data gallery. | |
产品信息
86470-1-RR targets NDUFA1 in WB, IHC, ELISA applications and shows reactivity with human, mouse, rat samples.
| 经测试应用 | WB, IHC, ELISA Application Description |
| 经测试反应性 | human, mouse, rat |
| 免疫原 |
CatNo: Ag7206 Product name: Recombinant human NDUFA1 protein Source: e coli.-derived, PGEX-4T Tag: GST Domain: 1-70 aa of BC000266 Sequence: MWFEILPGLSVMGVCLLIPGLATAYIHRFTNGGKEKRVAHFGYHWSLMERDRRISGVDRYYVSKGLENID 种属同源性预测 |
| 宿主/亚型 | Rabbit / IgG |
| 抗体类别 | Recombinant |
| 产品类型 | Antibody |
| 全称 | NADH dehydrogenase (ubiquinone) 1 alpha subcomplex, 1, 7.5kDa |
| 别名 | CI MWFE, CI-MWFE, Complex I MWFE, Complex I-MWFE, MWFE |
| 计算分子量 | 7.5 kDa |
| 观测分子量 | 8 kDa |
| GenBank蛋白编号 | BC000266 |
| 基因名称 | NDUFA1 |
| Gene ID (NCBI) | 4694 |
| RRID | AB_3744907 |
| 偶联类型 | Unconjugated |
| 形式 | Liquid |
| 纯化方式 | Protein A purification |
| UNIPROT ID | O15239 |
| 储存缓冲液 | PBS with 0.02% sodium azide and 50% glycerol, pH 7.3. |
| 储存条件 | Store at -20°C. Stable for one year after shipment. Aliquoting is unnecessary for -20oC storage. |
背景介绍
NDUFA1, also known as NADH dehydrogenase [ubiquinone] 1 alpha subcomplex subunit 1, it's part of the NADH dehydrogenase (ubiquinone) 1 alpha subcomplex. The NDUFA1 gene encoding the MWFE polypeptide is located on the X chromosome. The NDUFA1 gene product (MWFE protein) is essential for activity of complex I in mammalian mitochondria, and it is predicted to be a membrane protein (PMID: 10200266).
实验方案
| Product Specific Protocols | |
|---|---|
| IHC protocol for NDUFA1 antibody 86470-1-RR | Download protocol |
| WB protocol for NDUFA1 antibody 86470-1-RR | Download protocol |
| Standard Protocols | |
|---|---|
| Click here to view our Standard Protocols |





