IHCeasy® NDUFA1 Ready-To-Use IHC Kit
NDUFA1 Ready-to-use reagent kit for IHC.
Reactivity
Human, Mouse, Rat
Sample Type
FFPE tissue
Cat no : KHC3137
Synonyms
CI MWFE, CI-MWFE, Complex I MWFE, Complex I-MWFE, MWFE
Validation Data Gallery
Product Information
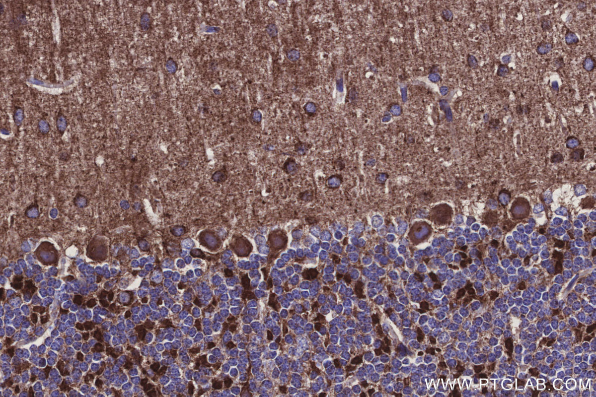
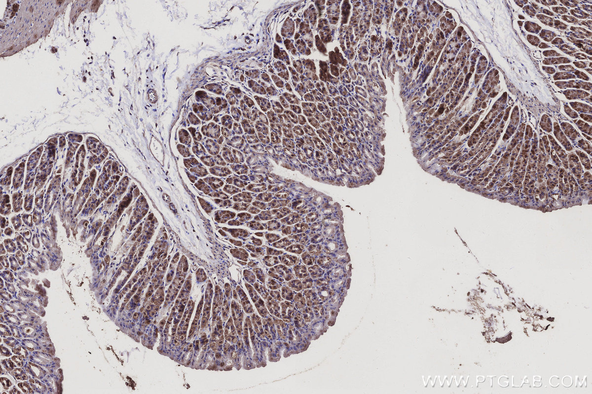
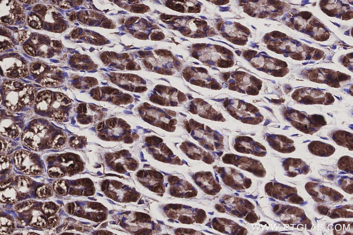
KHC3137 is a ready-to-use IHC kit for staining of NDUFA1. The kit provides all reagents, from antigen retrieval to cover slip mounting, that require little to no diluting or handling prior to use. Simply apply the reagents to your sample slide according to the protocol and you're steps away from obtaining high-quality IHC data.
| Product name | IHCeasy® NDUFA1 Ready-To-Use IHC Kit |
| Sample type | FFPE tissue |
| Assay type | Immunohistochemistry |
| Primary antibody type | Rabbit Recombinant |
| Secondary antibody type | Polymer-HRP-Goat anti-Rabbit |
| Reactivity | Human, Mouse, Rat |
Kit components
| Component | Size | Concentration |
|---|---|---|
| Antigen Retrieval Buffer | 100 mL | 50× |
| Washing Buffer | 100 mL ×2 | 20× |
| Blocking Buffer | 5 mL | RTU |
| Primary Antibody | 5 mL | RTU |
| Secondary Antibody | 5 mL | RTU |
| Chromogen Component A | 0.2 mL | RTU |
| Chromogen Component B | 4 mL | RTU |
| Signal Enhancer | 5 mL | RTU |
| Counter Staining Reagent | 5 mL | RTU |
| Mounting Media | 5 mL | RTU |
| Datasheet | 1 Copy | |
| Manual | 1 Copy |
Background Information
NDUFA1, also known as NADH dehydrogenase [ubiquinone] 1 alpha subcomplex subunit 1, it's part of the NADH dehydrogenase (ubiquinone) 1 alpha subcomplex. The NDUFA1 gene encoding the MWFE polypeptide is located on the X chromosome. The NDUFA1 gene product (MWFE protein) is essential for activity of complex I in mammalian mitochondria, and it is predicted to be a membrane protein.
Properties
| Storage Instructions | All the reagents are stored at 2-8°C. The kit is stable for 6 months from the date of receipt. |
| Synonyms | CI MWFE, CI-MWFE, Complex I MWFE, Complex I-MWFE, MWFE |





