验证数据展示
经过测试的应用
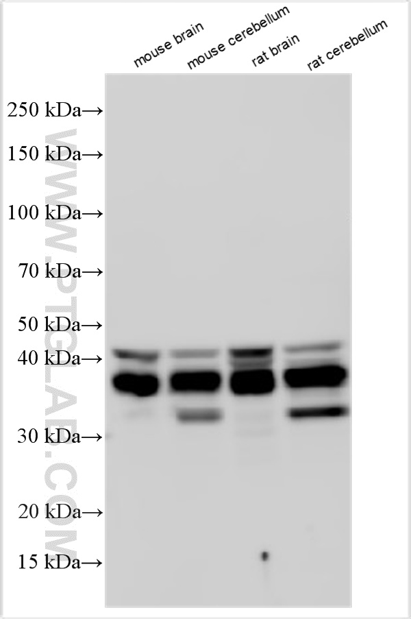
| Positive WB detected in | mouse brain tissue, mouse cerebellum tissue, rat brain tissue, rat cerebellum tissue |
推荐稀释比
| 应用 | 推荐稀释比 |
|---|---|
| Western Blot (WB) | WB : 1:5000-1:50000 |
| It is recommended that this reagent should be titrated in each testing system to obtain optimal results. | |
| Sample-dependent, Check data in validation data gallery. | |
产品信息
33254-1-AP targets NDRG4 in WB, ELISA applications and shows reactivity with human, mouse, rat samples.
| 经测试应用 | WB, ELISA Application Description |
| 经测试反应性 | human, mouse, rat |
| 免疫原 |
CatNo: Ag38351 Product name: Recombinant human NDRG4 protein Source: e coli.-derived, PGEX-4T Tag: GST Domain: 42-223 aa of BC011795 Sequence: NHKLCFNTFFNFEDMQEITKHFVVCHVDAPGQQVGASQFPQGYQFPSMEQLAAMLPSVVQHFGFKYVIGIGVGAGAYVLAKFALIFPDLVEGLVLVNIDPNGKGWIDWAATKLSGLTSTLPDTVLSHLFSQEELVNNTELVQSYRQQIGNVVNQANLQLFWNMYNSRRDLDINRPGTVPNAK 种属同源性预测 |
| 宿主/亚型 | Rabbit / IgG |
| 抗体类别 | Polyclonal |
| 产品类型 | Antibody |
| 全称 | NDRG family member 4 |
| 别名 | BDM1, Brain development-related molecule 1, NDRG family member 4, N-myc downstream-regulated gene 4 protein, Protein NDRG4 |
| 计算分子量 | 339 aa, 37 kDa |
| 观测分子量 | 37 kDa, 38 kDa and 41 kDa |
| GenBank蛋白编号 | BC011795 |
| 基因名称 | NDRG4 |
| Gene ID (NCBI) | 65009 |
| RRID | AB_3742916 |
| 偶联类型 | Unconjugated |
| 形式 | Liquid |
| 纯化方式 | Antigen affinity Purification |
| UNIPROT ID | Q9ULP0 |
| 储存缓冲液 | PBS with 0.02% sodium azide and 50% glycerol, pH 7.3. |
| 储存条件 | Store at -20°C. Stable for one year after shipment. Aliquoting is unnecessary for -20oC storage. |
背景介绍
NDRG4 (N-myc downstream-regulated gene 4) is a member of the NDRG family (NDRG1-4), a group of evolutionarily conserved proteins implicated in cell differentiation, stress responses, and tumor suppression. Unlike other family members (e.g., NDRG1 linked to cancer metastasis), NDRG4 is highly expressed in the brain and heart, with emerging roles in neuronal development and cardiovascular function. Methylation of NDRG4 in stool DNA is a diagnostic marker for colorectal cancer.
实验方案
| Product Specific Protocols | |
|---|---|
| WB protocol for NDRG4 antibody 33254-1-AP | Download protocol |
| Standard Protocols | |
|---|---|
| Click here to view our Standard Protocols |
