IHCeasy® NDRG4 Ready-To-Use IHC Kit
NDRG4 Ready-to-use reagent kit for IHC.
Reactivity
Human, Mouse, Rat
Sample Type
FFPE tissue
Cat no : KHC3037
Synonyms
BDM1, Brain development-related molecule 1, NDRG family member 4, N-myc downstream-regulated gene 4 protein, Protein NDRG4
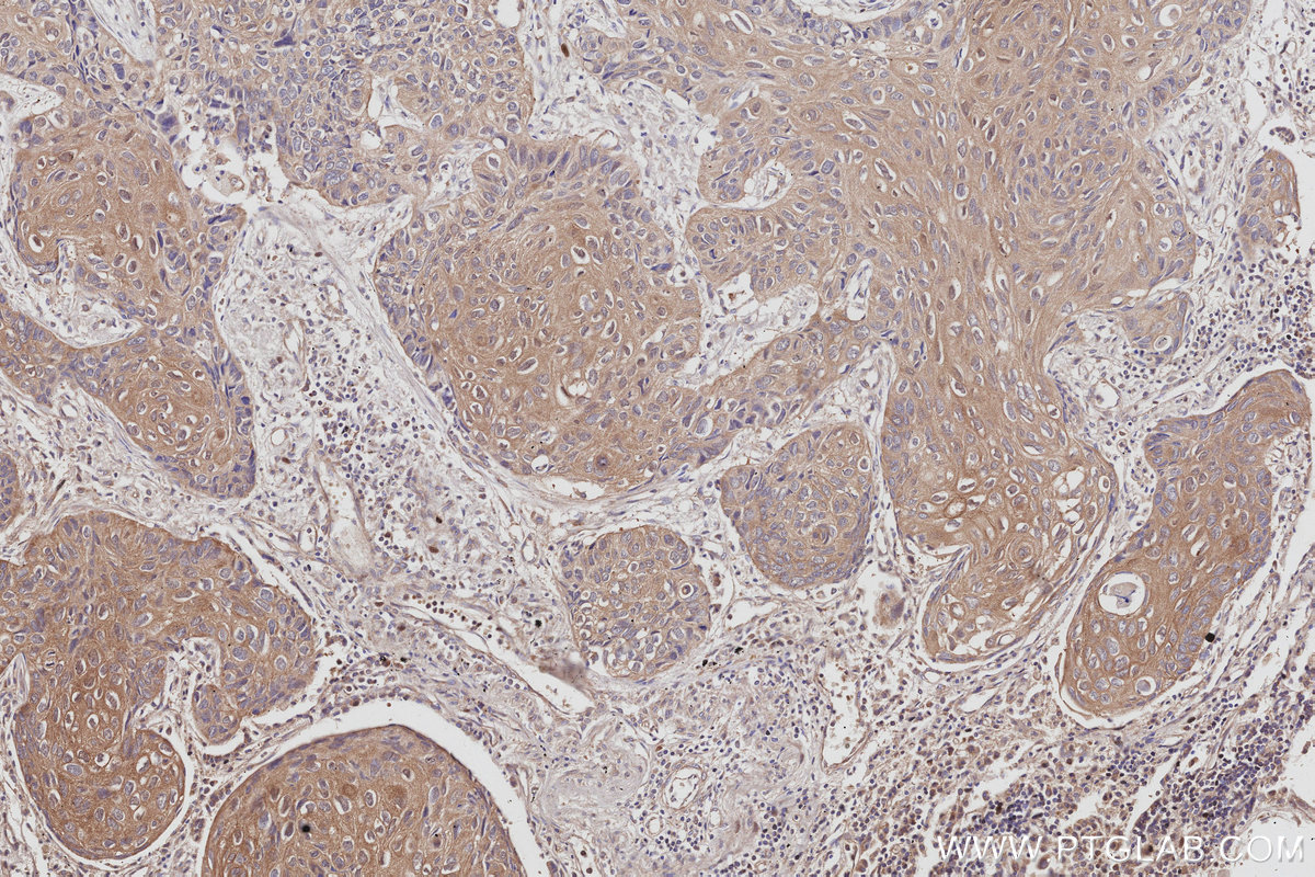
Validation Data Gallery
Product Information
KHC3037 is a ready-to-use IHC kit for staining of NDRG4. The kit provides all reagents, from antigen retrieval to cover slip mounting, that require little to no diluting or handling prior to use. Simply apply the reagents to your sample slide according to the protocol and you're steps away from obtaining high-quality IHC data.
| Product name | IHCeasy® NDRG4 Ready-To-Use IHC Kit |
| Sample type | FFPE tissue |
| Assay type | Immunohistochemistry |
| Primary antibody type | Rabbit Polyclonal |
| Secondary antibody type | Polymer-HRP-Goat anti-Rabbit |
| Reactivity | Human, Mouse, Rat |
Kit components
| Component | Size | Concentration |
|---|---|---|
| Antigen Retrieval Buffer | 100 mL | 50× |
| Washing Buffer | 100 mL ×2 | 20× |
| Blocking Buffer | 5 mL | RTU |
| Primary Antibody | 5 mL | RTU |
| Secondary Antibody | 5 mL | RTU |
| Chromogen Component A | 0.2 mL | RTU |
| Chromogen Component B | 4 mL | RTU |
| Signal Enhancer | 5 mL | RTU |
| Counter Staining Reagent | 5 mL | RTU |
| Mounting Media | 5 mL | RTU |
| Datasheet | 1 Copy | |
| Manual | 1 Copy |
Background Information
NDRG4 (N-myc downstream-regulated gene 4) is a member of the NDRG family (NDRG1-4), a group of evolutionarily conserved proteins implicated in cell differentiation, stress responses, and tumor suppression. Unlike other family members (e.g., NDRG1 linked to cancer metastasis), NDRG4 is highly expressed in the brain and heart, with emerging roles in neuronal development and cardiovascular function. Methylation of NDRG4 in stool DNA is a diagnostic marker for colorectal cancer.
Properties
| Storage Instructions | All the reagents are stored at 2-8°C. The kit is stable for 6 months from the date of receipt. |
| Synonyms | BDM1, Brain development-related molecule 1, NDRG family member 4, N-myc downstream-regulated gene 4 protein, Protein NDRG4 |



