验证数据展示
产品信息
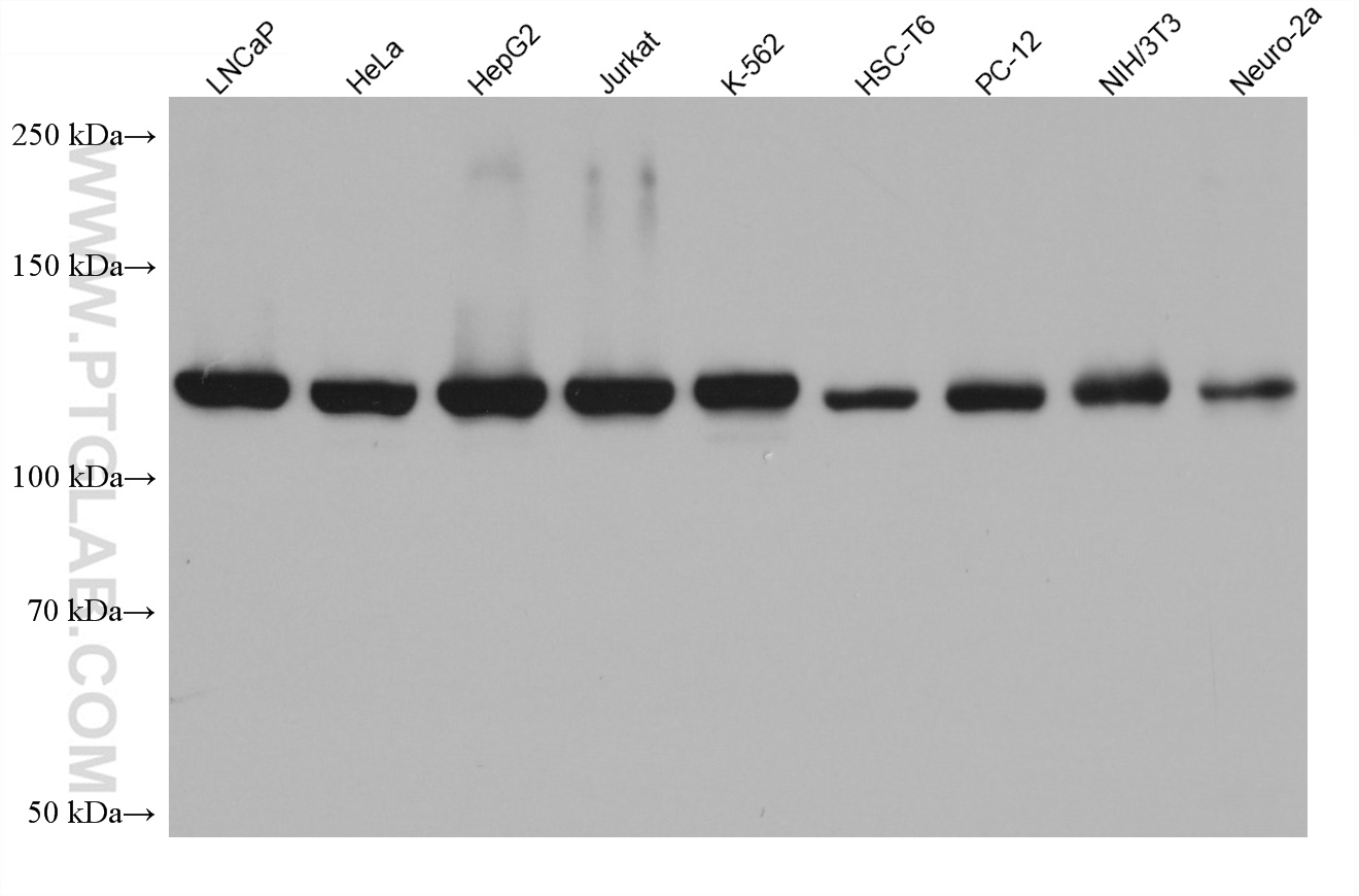
67465-1-PBS targets NAT10 in WB, Indirect ELISA applications and shows reactivity with human, mouse, rat samples.
| 经测试应用 | WB, Indirect ELISA Application Description |
| 经测试反应性 | human, mouse, rat |
| 免疫原 |
CatNo: Ag4355 Product name: Recombinant human NAT10 protein Source: e coli.-derived, PET28a Tag: 6*His Domain: 676-1025 aa of BC035558 Sequence: EAVSLLEEVITPRKDLPPLLLKLNERPAERLDYLGVSYGLTPRLLKFWKRAGFVPVYLRQTPNDLTGEHSCIMLKTLTDEDEADQGGWLAAFWKDFRRRFLALLSYQFSTFSPSLALNIIQNRNMGKPAQPALSREELEALFLPYDLKRLEMYSRNMVDYHLIMDMIPAISRIYFLNQLGDLALSAAQSALLLGIGLQHKSVDQLEKEIELPSGQLMGLFNRIIRKVVKLFNEVQEKAIEEQMVAAKDVVMEPTMKTLSDDLDEAAKEFQEKHKKEVGKLKSMDLSEYIIRGDDEEWNEVLNKAGPNASIISLKSDKKRKLEAKQEPKQSKKLKNRETKNKKDMKLKRKK 种属同源性预测 |
| 宿主/亚型 | Mouse / IgG2a |
| 抗体类别 | Monoclonal |
| 产品类型 | Antibody |
| 全称 | N-acetyltransferase 10 (GCN5-related) |
| 别名 | 18S rRNA cytosine acetyltransferase, 3E3D8, ALP, EC:2.3.1.-, KIAA1709 |
| 计算分子量 | 1025 aa, 116 kDa |
| 观测分子量 | 116 kDa |
| GenBank蛋白编号 | BC035558 |
| 基因名称 | NAT10 |
| Gene ID (NCBI) | 55226 |
| RRID | AB_2882694 |
| 偶联类型 | Unconjugated |
| 形式 | Liquid |
| 纯化方式 | Protein A purification |
| UNIPROT ID | Q9H0A0 |
| 储存缓冲液 | PBS only, pH 7.3. |
| 储存条件 | Store at -80°C. The product is shipped with ice packs. Upon receipt, store it immediately at -80°C |
背景介绍
NAT10 (N-acetyltransferase 10) is a nucleolar protein that is involved in regulation of telomerase activity, DNA damage response, and cytokinesis. It also plays a role in maintaining nuclear shape. Inhibition of NAT10 has been reported to rescue the misshapen nuclei in laminopathic cells via microtubule reorganization.


