验证数据展示
产品信息
80210-13-PBS targets Nanog as part of a matched antibody pair:
MP02157-2: 80210-13-PBS capture and 80210-12-PBS detection (validated in Cytometric bead array, Sandwich ELISA)
Unconjugated rabbit recombinant monoclonal antibody in PBS only (BSA and azide free) storage buffer at a concentration of 1 mg/mL, ready for conjugation. Created using Proteintech’s proprietary in-house recombinant technology. Recombinant production enables unrivalled batch-to-batch consistency, easy scale-up, and future security of supply.
This conjugation ready format makes antibodies ideal for use in many applications including: ELISAs, multiplex assays requiring matched pairs, mass cytometry, and multiplex imaging applications.Antibody use should be optimized by the end user for each application and assay.
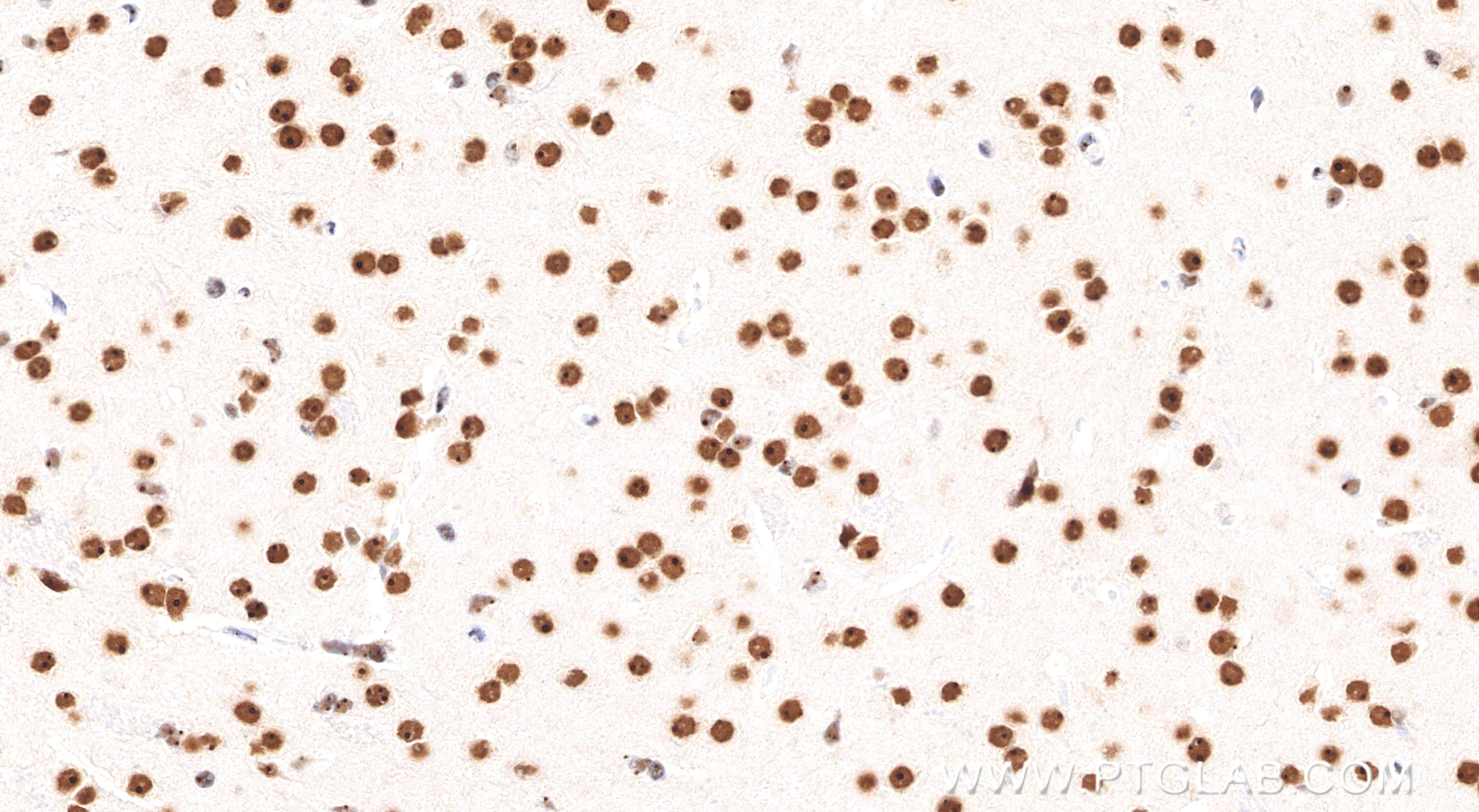
| 经测试应用 | WB, IHC, IF/ICC, Cytometric bead array, Sandwich ELISA, Indirect ELISA Application Description |
| 经测试反应性 | human, mouse, rat |
| 免疫原 |
CatNo: Ag5645 Product name: Recombinant human NANOG protein Source: e coli.-derived, PGEX-4T Tag: GST Domain: 1-305 aa of BC160187 Sequence: MSVDPACPQSLPCFEASDCKESSPMPVICGPEENYPSLQMSSAEMPHTETVSPLPSSMDLLIQDSPDSSTSPKGKQPTSAEKSVAKKEDKVPVKKQKTRTVFSSTQLCVLNDRFQRQKYLSLQQMQELSNILNLSYKQVKTWFQNQRMKSKRWQKNNWPKNSNGVTQKASAPTYPSLYSSYHQGCLVNPTGNLPMWSNQTWNNSTWSNQTQNIQSWSNHSWNTQTWCTQSWNNQAWNSPFYNCGEESLQSCMQFQPNSPASDLEAALEAAGEGLNVIQQTTRYFSTPQTMDLFLNYSMNMQPEDV 种属同源性预测 |
| 宿主/亚型 | Rabbit / IgG |
| 抗体类别 | Recombinant |
| 产品类型 | Antibody |
| 全称 | Nanog homeobox |
| 别名 | hNanog |
| 计算分子量 | 35 kDa |
| 观测分子量 | 35-40 kDa |
| GenBank蛋白编号 | BC160187 |
| 基因名称 | Nanog |
| Gene ID (NCBI) | 79923 |
| 偶联类型 | Unconjugated |
| 形式 | Liquid |
| 纯化方式 | Protein A purification |
| UNIPROT ID | Q9H9S0 |
| 储存缓冲液 | PBS only, pH 7.3. |
| 储存条件 | Store at -80°C. The product is shipped with ice packs. Upon receipt, store it immediately at -80°C |
背景介绍
Nanog is a member of the homeobox family of DNA binding transcription factors and has been shown to maintain embryonic stem (ES) cell self-renewal independently of leukemia inhibitory factor (LIF)/Stat3. Nanog mRNA is present in pluripotent mouse and human cell lines, and absent from differentiated cells. Functionally, Nanog works together with other key pluripotent factors (Oct4, Sox2, and Lin28) to reprogram human fibroblasts and generate induced pluripotent stem (iPS) cells. These key factors form a regulatory network to support or limit each other's expression level, which maintains the properties of ES cells. There are two kinds of variants that can be recognized by NANOG, one is a normal form (~39 kDa), the other is a post-translation modified form (~48 kDa) (21136380 ). Nanog has two isoforms with molecular weights of 34.4 kDa and 31.9 kDa. (PMID: 21969378)










