验证数据展示
经过测试的应用
| Positive WB detected in | mouse heart tissue, human heart tissue, rat heart tissue |
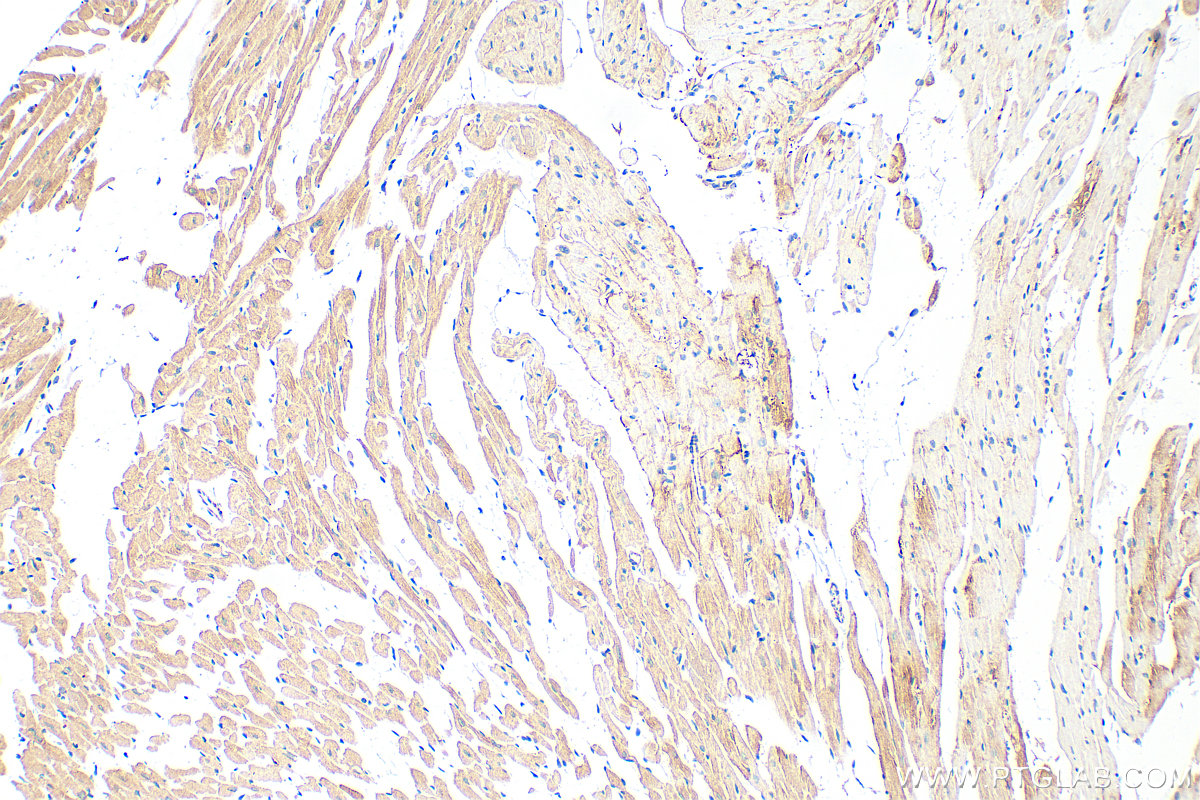
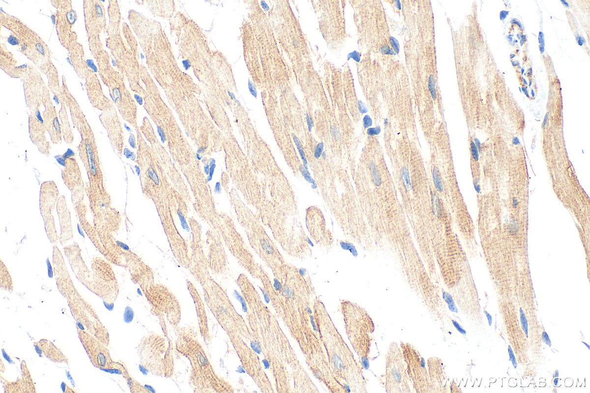
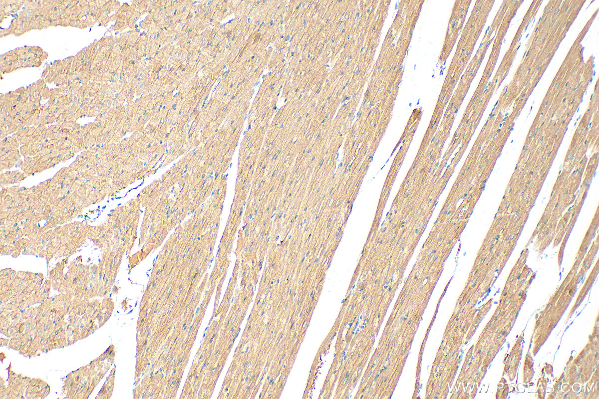
| Positive IHC detected in | mouse heart tissue, rat heart tissue Note: suggested antigen retrieval with TE buffer pH 9.0; (*) Alternatively, antigen retrieval may be performed with citrate buffer pH 6.0 |
| Positive IF/ICC detected in | HepG2 cells |
推荐稀释比
| 应用 | 推荐稀释比 |
|---|---|
| Western Blot (WB) | WB : 1:500-1:3000 |
| Immunohistochemistry (IHC) | IHC : 1:400-1:1600 |
| Immunofluorescence (IF)/ICC | IF/ICC : 1:50-1:500 |
| It is recommended that this reagent should be titrated in each testing system to obtain optimal results. | |
| Sample-dependent, Check data in validation data gallery. | |
产品信息
21527-1-AP targets MYLK3 in WB, IHC, IF/ICC, ELISA applications and shows reactivity with human, mouse, rat samples.
| 经测试应用 | WB, IHC, IF/ICC, ELISA Application Description |
| 文献引用应用 | WB, IHC, IF |
| 经测试反应性 | human, mouse, rat |
| 文献引用反应性 | human, mouse, rat |
| 免疫原 |
CatNo: Ag16137 Product name: Recombinant human MYLK3 protein Source: e coli.-derived, PGEX-4T Tag: GST Domain: 1-350 aa of BC109097 Sequence: MDTKLNMLNEKVDQLLHFQEDVTEKLQSMCRDMGHLERGLHRLEASRAPGPGGADGVPHIDTQAGWPEVLELVRAMQQDAAQHGARLEALFRMVAAVDRAIALVGATFQKSKVADFLMQGRVPWRRGSPGDSPEENKERVEEEGGKPKHVLSTSGLQSDAREPGEESQKADVLEGTAERLPPIRASGLGADPAQAVVSPGQGDGVPGPAQAFPGHLPLPTKVEAKAPETPSENLRTGLELAPAPGRVNVVSPSLEVAPGAGQGASSSRPDPEPLEEGTRLTPGPGPQCPGPPGLPAQARATHSGGETPPRISIHIQEMDTPGEMLMTGRGSLGPTLTTEAPAAAQPGKQG 种属同源性预测 |
| 宿主/亚型 | Rabbit / IgG |
| 抗体类别 | Polyclonal |
| 产品类型 | Antibody |
| 全称 | myosin light chain kinase 3 |
| 别名 | caMLCK, Cardiac-MLCK, Cardiac-MyBP-C-associated Ca/CaM kinase, EC:2.7.11.18, MLCK |
| 计算分子量 | 819 aa, 88 kDa |
| 观测分子量 | 85-100 kDa |
| GenBank蛋白编号 | BC109097 |
| 基因名称 | MYLK3 |
| Gene ID (NCBI) | 91807 |
| RRID | AB_10734432 |
| 偶联类型 | Unconjugated |
| 形式 | Liquid |
| 纯化方式 | Antigen affinity purification |
| UNIPROT ID | Q32MK0 |
| 储存缓冲液 | PBS with 0.02% sodium azide and 50% glycerol, pH 7.3. |
| 储存条件 | Store at -20°C. Stable for one year after shipment. Aliquoting is unnecessary for -20oC storage. |
背景介绍
Cardiac myosin light chain kinase (cMLCK) encoded by the myosin light chain kinase 3 (MYLK3) phosphorylates cardiac myosin light chain 2 (MLC2, encoded by MYL2) and facilitates actin-myosin interactions that enhance contractile force in the animal heart (PMID: 29235529).
实验方案
| Product Specific Protocols | |
|---|---|
| IF protocol for MYLK3 antibody 21527-1-AP | Download protocol |
| IHC protocol for MYLK3 antibody 21527-1-AP | Download protocol |
| WB protocol for MYLK3 antibody 21527-1-AP | Download protocol |
| Standard Protocols | |
|---|---|
| Click here to view our Standard Protocols |
发表文章
| Species | Application | Title |
|---|---|---|
Basic Res Cardiol Alkaline nucleoplasm facilitates contractile gene expression in the mammalian heart. | ||
Front Pharmacol GYY4137, as a slow-releasing H2S donor, ameliorates sodium deoxycholate-induced chronic intestinal barrier injury and gut microbiota dysbiosis | ||
J Agric Food Chem Bisdemethoxycurcumin and Curcumin Alleviate Inflammatory Bowel Disease by Maintaining Intestinal Epithelial Integrity and Regulating Gut Microbiota in Mice | ||
PLoS One Epac1 increases myosin regulatory light-chain phosphorylation, energetic cost of contraction, and susceptibility to heart failure | ||
Nutrients Betulinic Acid Reduces Intestinal Inflammation and Enhances Intestinal Tight Junctions by Modulating the PPAR-γ/NF-κB Signaling Pathway in Intestinal Cells and Organoids | ||
J Dairy Sci Qula-derived Limosilactobacillus fermentum TD-3 and Lactococcus lactis MQ1-1 alleviate aging-related intestinal barrier dysfunction via microbiota-short-chain fatty acid-AMPK/MLCK-tight junction axis |







