验证数据展示
产品信息
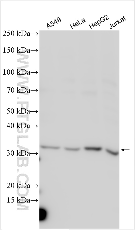
15529-1-PBS targets MTX1 in WB, IP, Indirect ELISA applications and shows reactivity with human samples.
| 经测试应用 | WB, IP, Indirect ELISA Application Description |
| 经测试反应性 | human |
| 免疫原 |
CatNo: Ag7685 Product name: Recombinant human MTX1 protein Source: e coli.-derived, PET28a Tag: 6*His Domain: 75-435 aa of BC001906 Sequence: YVGHLWMGRRPPSPEARGPVPRSSAASRARRSLASPGISPGPLTATIGGAVAGGGPRQGRAEAHKEVFPGQRVGKMAAPMELFCWSGGWGLPSVDLDSLAVLTYARFTGAPLKVHKISNPWQSPSGTLPALRTSHGEVISVPHKIITHLRKEVHTFWIDTKNYVEVTRKWYAEAMPFPLNFFLPGRMQRQYMERLQLLTGEHRPEDEEELEKELYREARECLTLLSQRLGSQKFFFGDAPASLDAFVFSYLALLLQAKLPSGKLQVHLRGLHNLCAYCTHILSLYFPWDGAEVPPQRQTPAGPETEEEPYRRRNQILSVLAGLAAMVGYALLSGIVSIQRATPARAPGTRTLGMAEEDEEE 种属同源性预测 |
| 宿主/亚型 | Rabbit / IgG |
| 抗体类别 | Polyclonal |
| 产品类型 | Antibody |
| 全称 | metaxin 1 |
| 别名 | |
| 计算分子量 | 51 kDa |
| 观测分子量 | 35 kDa |
| GenBank蛋白编号 | BC001906 |
| 基因名称 | MTX1 |
| Gene ID (NCBI) | 4580 |
| RRID | AB_2148416 |
| 偶联类型 | Unconjugated |
| 形式 | Liquid |
| 纯化方式 | Antigen affinity purification |
| UNIPROT ID | Q13505 |
| 储存缓冲液 | PBS only, pH 7.3. |
| 储存条件 | Store at -80°C. The product is shipped with ice packs. Upon receipt, store it immediately at -80°C |
背景介绍
METAXINs are proteins located in the outer membrane of the mammalian mitochondrion. METAXIN 1 was characterized firstly and was found to play a role in the import of mitochondrial precursor proteins. It may also play a role in the assembly of b-barrel proteins into the outer membrane METAXIN1 was reported to be essential for survival of the postimplantation mouse embryo. METAXIN 1 has multiple transcripts. Several isoforms of METAXIN 1 exist due to the alternative splicing, with the predicted MW of 51, 48 and 36 kDa, respectively. Metaxin 1 interacts with metaxin 2, a novel related protein associated with the mammalian mitochondrial outer membrane and form complex in the mitochondrion outer membrane.


