验证数据展示
经过测试的应用
| Positive WB detected in | HEK-293 cells, HuH-7 cells, human brain tissue, K-562 cells, mouse kidney tissue, MCF-7 cells |
| Positive IP detected in | mouse kidney tissue |
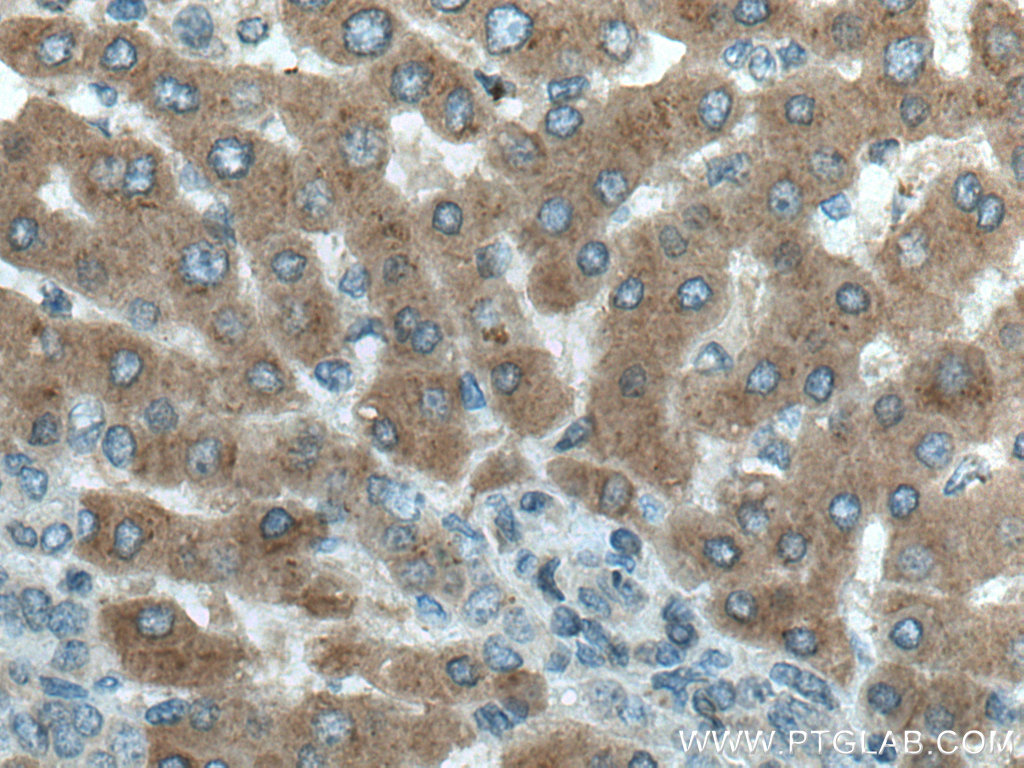
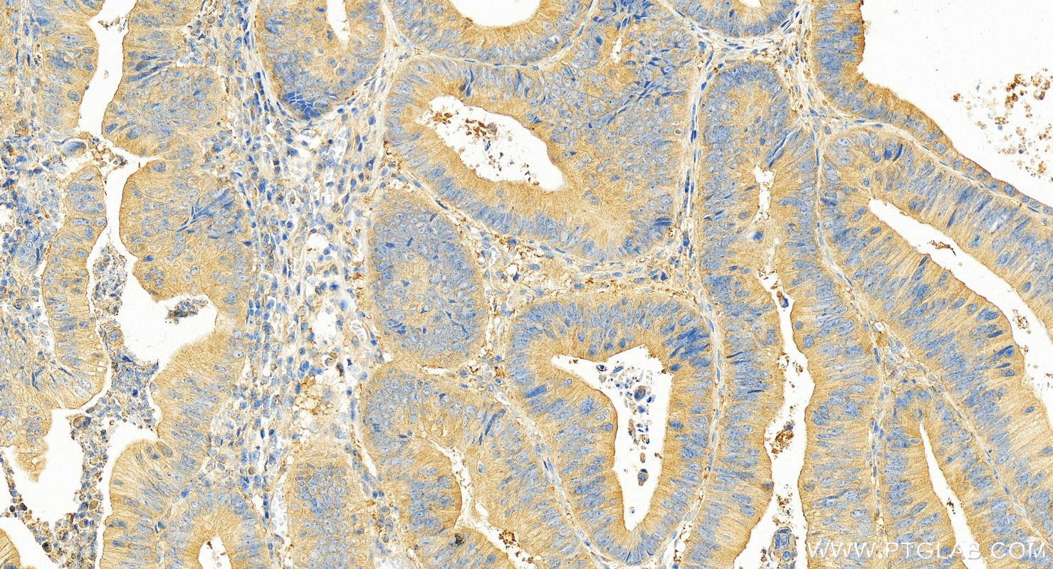
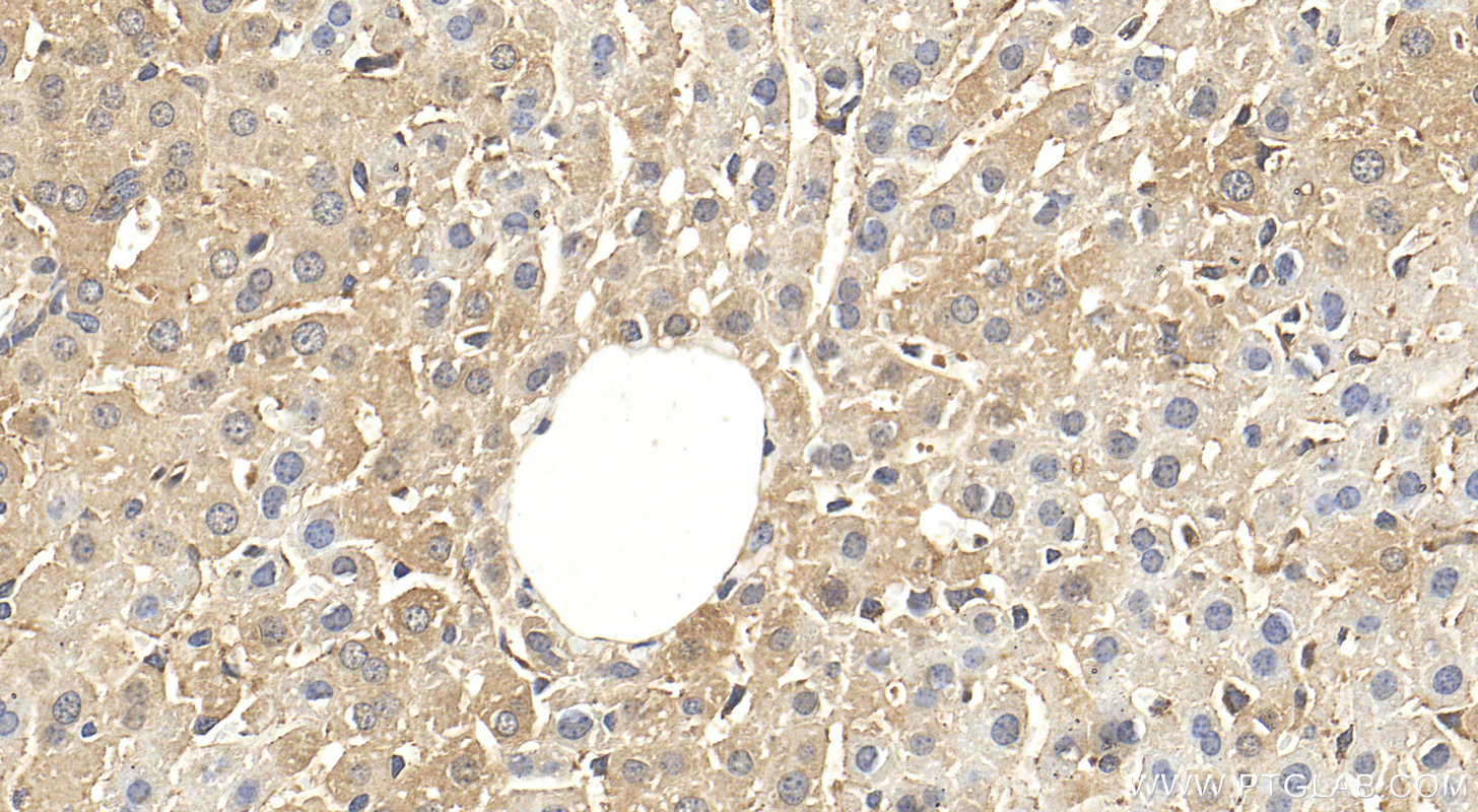
| Positive IHC detected in | human liver cancer tissue, human colon cancer tissue, mouse liver tissue Note: suggested antigen retrieval with TE buffer pH 9.0; (*) Alternatively, antigen retrieval may be performed with citrate buffer pH 6.0 |
| Positive IF/ICC detected in | HEK-293 cells |
推荐稀释比
| 应用 | 推荐稀释比 |
|---|---|
| Western Blot (WB) | WB : 1:2000-1:10000 |
| Immunoprecipitation (IP) | IP : 0.5-4.0 ug for 1.0-3.0 mg of total protein lysate |
| Immunohistochemistry (IHC) | IHC : 1:200-1:2000 |
| Immunofluorescence (IF)/ICC | IF/ICC : 1:200-1:800 |
| It is recommended that this reagent should be titrated in each testing system to obtain optimal results. | |
| Sample-dependent, Check data in validation data gallery. | |
产品信息
10794-1-AP targets MTHFD1 in WB, IHC, IF/ICC, IP, ELISA applications and shows reactivity with human, mouse samples.
| 经测试应用 | WB, IHC, IF/ICC, IP, ELISA Application Description |
| 文献引用应用 | WB, IHC, IF, IP |
| 经测试反应性 | human, mouse |
| 文献引用反应性 | human, mouse |
| 免疫原 |
CatNo: Ag1225 Product name: Recombinant human MTHFD1 protein Source: e coli.-derived, PGEX-4T Tag: GST Domain: 536-935 aa of BC009806 Sequence: TNDRFLRKITIGQAPTEKGHTRTAQFDISVASEIMAVLALTTSLEDMRERLGKMVVASSKKGEPVSAEDLGVSGALTVLMKDAIKPNLMQTLEGTPVFVHAGPFANIAHGNSSIIADQIALKLVGPEGFVVTEAGFGADIGMEKFFNIKCRYSGLCPHVVVLVATVRALKMHGGGPTVTAGLPLPKAYIQENLELVEKGFSNLKKQIENARMFGIPVVVAVNAFKTDTESELDLISRLSREHGAFDAVKCTHWAEGGKGALALAQAVQRAAQAPSSFQLLYDLKLPVEDKIRIIAQKIYGADDIELLPEAQHKAEVYTKQGFGNLPICMAKTHLSLSHNPEQKGVPTGFILPIRDIRASVGAGFLYPLVGTMSTMPGLPTRPCFYDIDLDPETEQVNGLF 种属同源性预测 |
| 宿主/亚型 | Rabbit / IgG |
| 抗体类别 | Polyclonal |
| 产品类型 | Antibody |
| 全称 | methylenetetrahydrofolate dehydrogenase (NADP+ dependent) 1, methenyltetrahydrofolate cyclohydrolase, formyltetrahydrofolate synthetase |
| 别名 | C-1-tetrahydrofolate synthase, cytoplasmic, C-1-tetrahydrofolate synthase, cytoplasmic, N-terminally processed, C1-THF synthase, Epididymis secretory sperm binding protein, MTHFC |
| 计算分子量 | 101 kDa |
| 观测分子量 | 101 kDa |
| GenBank蛋白编号 | BC009806 |
| 基因名称 | MTHFD1 |
| Gene ID (NCBI) | 4522 |
| RRID | AB_2147391 |
| 偶联类型 | Unconjugated |
| 形式 | Liquid |
| 纯化方式 | Antigen affinity purification |
| UNIPROT ID | P11586 |
| 储存缓冲液 | PBS with 0.02% sodium azide and 50% glycerol, pH 7.3. |
| 储存条件 | Store at -20°C. Stable for one year after shipment. Aliquoting is unnecessary for -20oC storage. |
背景介绍
MTHFD1 is a trifunctional enzyme involved in the pathway tetrahydrofolate interconversion, which is part of One-carbon metabolism. MTHFD1 is associated with HCC and CRC progression. It has been reported that MTHFD-deficient patient fibroblasts exhibit enriched MTHFD1 in the nucleus which is critical for de novo dTMP synthesis.(PMID: 31133746, 30997850, 31421459, 25548164)
实验方案
| Product Specific Protocols | |
|---|---|
| IF protocol for MTHFD1 antibody 10794-1-AP | Download protocol |
| IHC protocol for MTHFD1 antibody 10794-1-AP | Download protocol |
| IP protocol for MTHFD1 antibody 10794-1-AP | Download protocol |
| WB protocol for MTHFD1 antibody 10794-1-AP | Download protocol |
| Standard Protocols | |
|---|---|
| Click here to view our Standard Protocols |
发表文章
| Species | Application | Title |
|---|---|---|
J Pineal Res Melatonin modulates metabolic remodeling in HNSCC by suppressing MTHFD1L-formate axis. | ||
Redox Biol Cytosolic ME1 integrated with mitochondrial IDH2 supports tumor growth and metastasis. | ||
Proc Natl Acad Sci U S A Orthogonal genome-wide screens of bat cells identify MTHFD1 as a target of broad antiviral therapy.
| ||
Dev Cell Illuminating NAD+ Metabolism in Live Cells and In Vivo Using a Genetically Encoded Fluorescent Sensor. | ||
Cell Death Dis MTHFD1 regulates the NADPH redox homeostasis in MYCN-amplified neuroblastoma |















