验证数据展示
产品信息
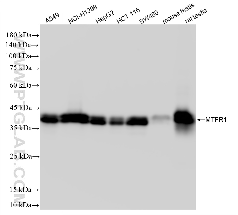
87130-1-PBS targets MTFR1 in WB, IF/ICC, Indirect ELISA applications and shows reactivity with human samples.
| 经测试应用 | WB, IF/ICC, Indirect ELISA Application Description |
| 经测试反应性 | human |
| 免疫原 |
CatNo: Ag10857 Product name: Recombinant human MTFR1 protein Source: e coli.-derived, PET28a Tag: 6*His Domain: 1-333 aa of BC036116 Sequence: MLGWIKRLIRMVFQQVGVSMQSVLWSRKPYGSSRSIVRKIGTNLSLIQCPRVQFQINSHATEWSPSHPGEDAVASFADVGWVAKEEGECSARLRTEVRSRPPLQDDLLFFEKAPSRQISLPDLSQEEPQLKTPARANEEALQKICALENELAALRAQIAKIVTQQEQQNLTAGDLDSTTFGTIPPHPPPPPPPLPPPALGLHQSTSAVDLIKERREKRANAGKTLVKNNPKKPEMPNMLEILKEMNSVKLRSVKRSEQDVKPKPVDATDPAALIAEALKKKFAYRYRSDSQDEVEKGIPKSESEATSERVLFGPHMLKPTGKMKALIENVSDS 种属同源性预测 |
| 宿主/亚型 | Rabbit / IgG |
| 抗体类别 | Recombinant |
| 产品类型 | Antibody |
| 全称 | mitochondrial fission regulator 1 |
| 别名 | Chondrocyte protein with a poly-proline region, CHPPR, FAM54A2, KIAA0009 |
| 计算分子量 | 333 aa, 37 kDa |
| 观测分子量 | 37 kDa |
| GenBank蛋白编号 | BC036116 |
| 基因名称 | MTFR1 |
| Gene ID (NCBI) | 9650 |
| RRID | AB_3745360 |
| 偶联类型 | Unconjugated |
| 形式 | Liquid |
| 纯化方式 | Protein A purification |
| UNIPROT ID | Q15390 |
| 储存缓冲液 | PBS only, pH 7.3. |
| 储存条件 | Store at -80°C. The product is shipped with ice packs. Upon receipt, store it immediately at -80°C |
背景介绍
MTFR1, also known as CHPPR, is a mitochondria protein. It may play a role in mitochondrial aerobic respiration. It may also regulate mitochondrial organization and fission.

