验证数据展示
经过测试的应用
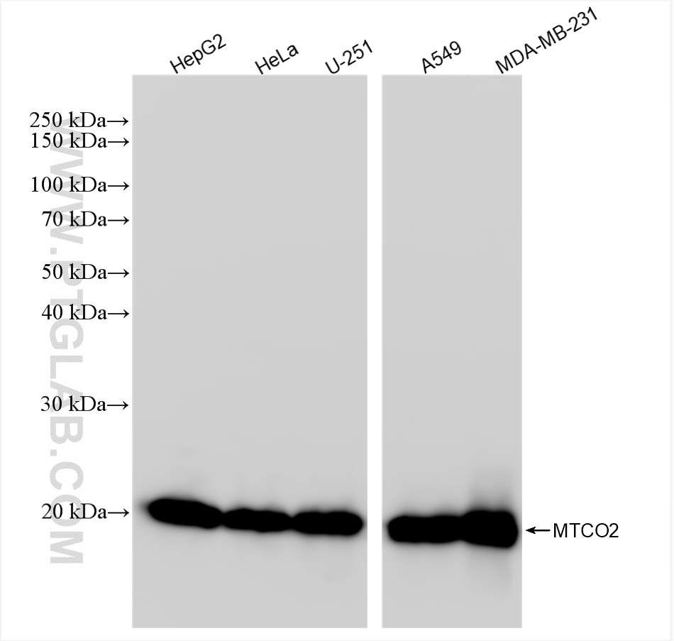
| Positive WB detected in | HepG2 cells, 143B.TK.P0 cells, 143B cells, HeLa cells, U-251 cells, A549 cells, MDA-MB-231 cells |
| Positive IP detected in | HeLa cells |
| Positive IHC detected in | human ovarian cancer, human stomach cancer tissue Note: suggested antigen retrieval with TE buffer pH 9.0; (*) Alternatively, antigen retrieval may be performed with citrate buffer pH 6.0 |
| Positive IF/ICC detected in | HepG2 cells |
| Positive FC (Intra) detected in | HeLa cells |
推荐稀释比
| 应用 | 推荐稀释比 |
|---|---|
| Western Blot (WB) | WB : 1:5000-1:50000 |
| Immunoprecipitation (IP) | IP : 0.5-4.0 ug for 1.0-3.0 mg of total protein lysate |
| Immunohistochemistry (IHC) | IHC : 1:500-1:2000 |
| Immunofluorescence (IF)/ICC | IF/ICC : 1:200-1:800 |
| Flow Cytometry (FC) (INTRA) | FC (INTRA) : 0.25 ug per 10^6 cells in a 100 µl suspension |
| It is recommended that this reagent should be titrated in each testing system to obtain optimal results. | |
| Sample-dependent, Check data in validation data gallery. | |
产品信息
83132-7-RR targets MTCO2 in WB, IHC, IF/ICC, FC (Intra), IP, ELISA applications and shows reactivity with human samples.
| 经测试应用 | WB, IHC, IF/ICC, FC (Intra), IP, ELISA Application Description |
| 经测试反应性 | human |
| 免疫原 |
fusion protein 种属同源性预测 |
| 宿主/亚型 | Rabbit / IgG |
| 抗体类别 | Recombinant |
| 产品类型 | Antibody |
| 全称 | cytochrome c oxidase II |
| 别名 | COX2, 230448C9, COII, COX 2, COXII |
| 计算分子量 | 26 kDa |
| 观测分子量 | 23-26 kDa |
| GenBank蛋白编号 | YP_003024029 |
| 基因名称 | MTCO2 |
| Gene ID (NCBI) | 4513 |
| RRID | AB_3670835 |
| 偶联类型 | Unconjugated |
| 形式 | Liquid |
| 纯化方式 | Protein A purfication |
| UNIPROT ID | P00403 |
| 储存缓冲液 | PBS with 0.02% sodium azide and 50% glycerol, pH 7.3. |
| 储存条件 | Store at -20°C. Stable for one year after shipment. Aliquoting is unnecessary for -20oC storage. |
背景介绍
MTCO2, also named as COII, COXII, and COX2, belongs to the cytochrome c oxidase subunit 2 family. It is the component of the respiratory chain that catalyzes the reduction of oxygen to water. Subunits 1-3 form the functional core of the enzyme complex. Subunit 2 transfers the electrons from cytochrome c via its binuclear copper A center to the bimetallic center of the catalytic subunit 1. Defects in COX2 are a cause of mitochondrial complex IV deficiency (MT-C4D).
实验方案
| Product Specific Protocols | |
|---|---|
| WB protocol for MTCO2 antibody 83132-7-RR | Download protocol |
| IHC protocol for MTCO2 antibody 83132-7-RR | Download protocol |
| IF protocol for MTCO2 antibody 83132-7-RR | Download protocol |
| IP protocol for MTCO2 antibody 83132-7-RR | Download protocol |
| FC protocol for MTCO2 antibody 83132-7-RR | Download protocol |
| Standard Protocols | |
|---|---|
| Click here to view our Standard Protocols |






