验证数据展示
经过测试的应用
| Positive WB detected in | HL-60 cells | 
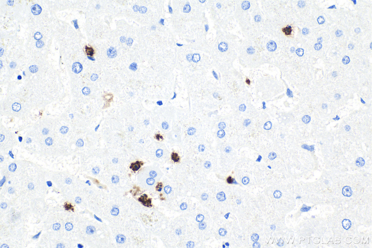
| Positive IHC detected in | human liver tissue, human tonsillitis tissue Note: suggested antigen retrieval with TE buffer pH 9.0; (*) Alternatively, antigen retrieval may be performed with citrate buffer pH 6.0 | 
| Positive IF-P detected in | human tonsillitis tissue | 
| Positive IF/ICC detected in | HL-60 cells | 
| Positive FC (Intra) detected in | HL-60 cells | 
Not recommend for IHC about rat sample. Mouse monoclonal antibodies of IgA isotype can be detected with "anti-mouse IgG (H+L)" secondary antibodies.
推荐稀释比
| 应用 | 推荐稀释比 | 
|---|---|
| Western Blot (WB) | WB : 1:1000-1:8000 | 
| Immunohistochemistry (IHC) | IHC : 1:400-1:1600 | 
| Immunofluorescence (IF)-P | IF-P : 1:200-1:800 | 
| Immunofluorescence (IF)/ICC | IF/ICC : 1:200-1:800 | 
| Flow Cytometry (FC) (INTRA) | FC (INTRA) : 0.25 ug per 10^6 cells in a 100 µl suspension | 
| It is recommended that this reagent should be titrated in each testing system to obtain optimal results. | |
| Sample-dependent, Check data in validation data gallery. | |
产品信息
66177-1-Ig targets MPO in WB, IHC, IF/ICC, IF-P, FC (Intra), IP, ELISA applications and shows reactivity with human, rat samples.
| 经测试应用 | WB, IHC, IF/ICC, IF-P, FC (Intra), ELISA Application Description | 
| 文献引用应用 | WB, IHC, IF, IP, ELISA | 
| 经测试反应性 | human, rat | 
| 文献引用反应性 | human, rat, bovine, cow | 
| 免疫原 | CatNo: Ag17564 Product name: Recombinant human MPO protein Source: e coli.-derived, PGEX-4T Tag: GST Domain: 606-657 aa of BC130476 Sequence: CGLPQPETVGQLGTVLRNLKLARKLMEQYGTPNNIDIWMGGVSEPLKRKGRV种属同源性预测 | 
| 宿主/亚型 | Mouse / IgA | 
| 抗体类别 | Monoclonal | 
| 产品类型 | Antibody | 
| 全称 | myeloperoxidase | 
| 别名 | 4C11F6, EC:1.11.2.2, myeloperoxidase | 
| 计算分子量 | 745 aa, 84 kDa | 
| 观测分子量 | 90 kDa | 
| GenBank蛋白编号 | BC130476 | 
| 基因名称 | MPO | 
| Gene ID (NCBI) | 4353 | 
| RRID | AB_2881572 | 
| 偶联类型 | Unconjugated | 
| 形式 | Liquid | 
| 纯化方式 | Caprylic acid/ammonium sulfate precipitation | 
| UNIPROT ID | P05164 | 
| 储存缓冲液 | PBS with 0.02% sodium azide and 50% glycerol, pH 7.3. | 
| 储存条件 | Store at -20°C. Stable for one year after shipment. Aliquoting is unnecessary for -20oC storage. | 
背景介绍
The MPO gene encodes myeloperoxidase, a lysosomal hemoprotein located in the azurophilic granules of polymorphonuclear (PMN) leukocytes and monocytes. In response to stimulation, MPO is activated into a transient intermediate with potent antimicrobial oxidizing abilities(PMID:17650507). The mRNA is translated into a single protein of 90 kDa, which displays enzymatic activity and undergoes proteolytic maturation into a heavy chain of 59 kDa and a light chain of 13.5 kDa; these subunits then dimerize into the mature tetramer and the mature MPO is a heterotetramer composed of two identical heavy chains and two identical light chains(PMID:12773517). Fragments with molecular masses of 43-47 kDa were formed by autocatalysis during warming in sample buffer (PMID:12960244). The 24-kDa material had a map identical to that of 13.5 kDa subunit and represents a dimer of the 13.5 kDa subunit (PMID:3008892). Defects in MPO are the cause of myeloperoxidase deficiency (MPOD). It has 3 isoforms produced by alternative splicing.
实验方案
| Product Specific Protocols | |
|---|---|
| FC protocol for MPO antibody 66177-1-Ig | Download protocol | 
| IF protocol for MPO antibody 66177-1-Ig | Download protocol | 
| IHC protocol for MPO antibody 66177-1-Ig | Download protocol | 
| WB protocol for MPO antibody 66177-1-Ig | Download protocol | 
| Standard Protocols | |
|---|---|
| Click here to view our Standard Protocols | 
发表文章
| Species | Application | Title | 
|---|---|---|
| Nat Commun Overcoming therapeutic resistance in oncolytic herpes virotherapy by targeting IGF2BP3-induced NETosis in malignant glioma | ||
| Cell Death Differ NLRX1 mediated impaired microglial phagocytosis of NETs in cerebral ischemia and reperfusion injury | ||
| PLoS Pathog Prion protein signaling induces M2 macrophage polarization and protects from lethal influenza infection in mice. | ||
| Int Immunopharmacol Sappanone A enhances hepatocyte proliferation in lipopolysaccharide-induced acute liver injury in mice by promoting injured hepatocyte apoptosis and regulating macrophage polarization | ||
| FEBS J A combined model of serum neutrophil extracellular traps, CD8+ T cells, and tumor proportion score provides better prediction of PD-1 inhibitor efficacy in patients with NSCLC | ||
| Sci Rep Persisting and Increasing Neutrophil Infiltration Associates with Gastric Carcinogenesis and E-cadherin Downregulation. | 










