验证数据展示
经过测试的应用
| Positive WB detected in | mouse brain tissue, rat brain tissue, pig brain tissue |
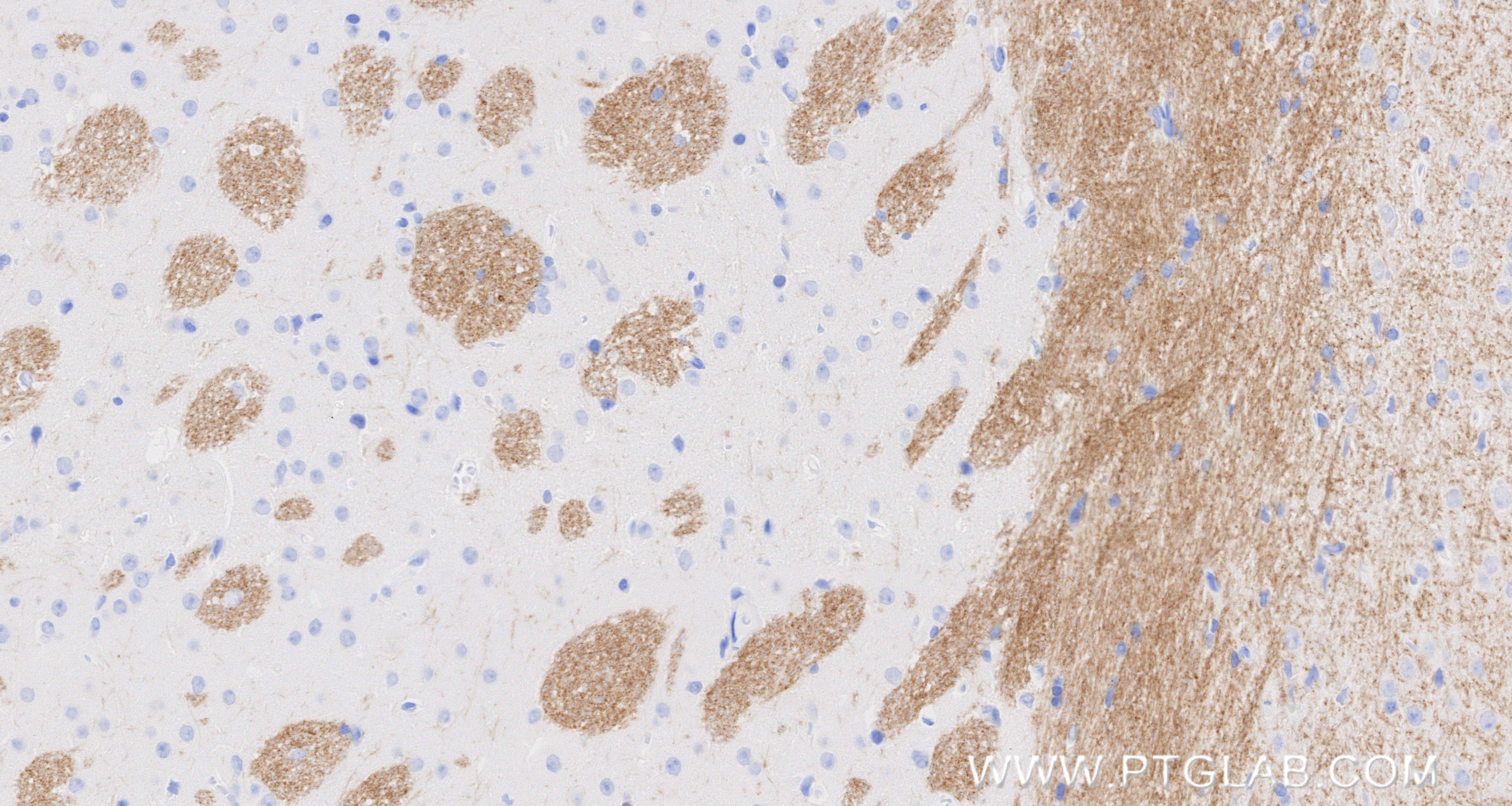
| Positive IHC detected in | mouse brain tissue Note: suggested antigen retrieval with TE buffer pH 9.0; (*) Alternatively, antigen retrieval may be performed with citrate buffer pH 6.0 |
| Positive IF-P detected in | mouse cerebellum tissue |
推荐稀释比
| 应用 | 推荐稀释比 |
|---|---|
| Western Blot (WB) | WB : 1:5000-1:50000 |
| Immunohistochemistry (IHC) | IHC : 1:250-1:1000 |
| Immunofluorescence (IF)-P | IF-P : 1:200-1:800 |
| It is recommended that this reagent should be titrated in each testing system to obtain optimal results. | |
| Sample-dependent, Check data in validation data gallery. | |
产品信息
83063-6-RR targets MOG in WB, IHC, IF-P, ELISA applications and shows reactivity with human, mouse, rat, pig samples.
| 经测试应用 | WB, IHC, IF-P, ELISA Application Description |
| 经测试反应性 | human, mouse, rat, pig |
| 免疫原 |
CatNo: Eg2878 Product name: Recombinant Human MOG protein (rFc Tag) (HPLC verified) Source: mammalian cells-derived, V37 Tag: C-rFc Domain: 30-154 aa of N/A Sequence: GQFRVIGPRHPIRALVGDEVELPCRISPGKNATGMEVGWYRPPFSRVVHLYRNGKDQDGDQAPEYRGRTELLKDAIGEGKVTLRIRNVRFSDEGGFTCFFRDHSYQEEAAMELKVEDPFYWVSPG 种属同源性预测 |
| 宿主/亚型 | Rabbit / IgG |
| 抗体类别 | Recombinant |
| 产品类型 | Antibody |
| 全称 | myelin oligodendrocyte glycoprotein |
| 别名 | MOGIG 2, Myelin-oligodendrocyte glycoprotein |
| 计算分子量 | 24 kDa |
| 观测分子量 | 25-28 kDa |
| GenBank蛋白编号 | N/A |
| 基因名称 | MOG |
| Gene ID (NCBI) | 4340 |
| 偶联类型 | Unconjugated |
| 形式 | Liquid |
| 纯化方式 | Protein A purification |
| UNIPROT ID | Q16653-1 |
| 储存缓冲液 | PBS with 0.02% sodium azide and 50% glycerol, pH 7.3. |
| 储存条件 | Store at -20°C. Stable for one year after shipment. Aliquoting is unnecessary for -20oC storage. |
背景介绍
Myelin/oligodendrocyte glycoprotein (MOG), a 23~28 kDa glycoprotein, a myelin antigen at the outer surface of the central nervous system (CNS) myelin sheath, which may trigger T-cell as well as B-cell responses. It therefore constitutes a pivotal target for autoimmune responses, which result in inflammation and also demyelination in the CNS. Its presence on the outer- most lamellae of mature CNS myelin and its late appearance during myelinogenesis suggest that it contributes to myelin maturation or maintenance. 10 isoforms of MOG produced by alternative splicing have been described, and heterodimers may be formed between the different isoforms. Defects in MOG are the cause of narcolepsy type 7 (NRCLP7), a neurological disabling sleep disorder characterized by excessive daytime sleepiness, sleep fragmentation, symptoms of abnormal rapid-eye-movement (REM) sleep, cataplexy, hypnagogic hallucinations, and sleep paralysis. Role of MOG in the pathogenesis of multiple sclerosis (MS) has been reported but remains to be clarified.
实验方案
| Product Specific Protocols | |
|---|---|
| IF protocol for MOG antibody 83063-6-RR | Download protocol |
| IHC protocol for MOG antibody 83063-6-RR | Download protocol |
| WB protocol for MOG antibody 83063-6-RR | Download protocol |
| Standard Protocols | |
|---|---|
| Click here to view our Standard Protocols |




