验证数据展示
产品信息
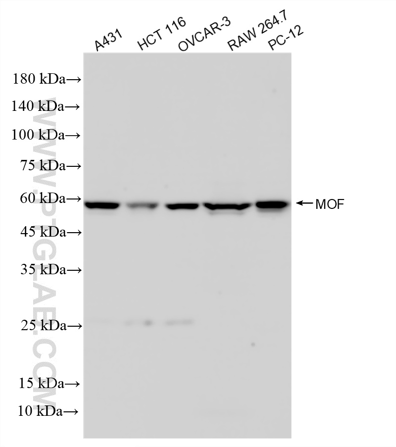
86910-3-PBS targets MOF in WB, IF/ICC, FC (Intra), Indirect ELISA applications and shows reactivity with human, mouse, rat samples.
| 经测试应用 | WB, IF/ICC, FC (Intra), Indirect ELISA Application Description |
| 经测试反应性 | human, mouse, rat |
| 免疫原 |
CatNo: Ag4802 Product name: Recombinant human MOF protein Source: e coli.-derived, PGEX-4T Tag: GST Domain: 118-467 aa of BC037773 Sequence: AVQKNSEKYLSELAEQPERKITRNQKRKHDEINHVQKTYAEMDPTTAALEKEHEAITKVKYVDKIHIGNYEIDAWYFSPFPEDYGKQPKLWLCEYCLKYMKYEKSYRFHLGQCQWRQPPGKEIYRKSNISVYEVDGKDHKIYCQNLCLLAKLFLDHKTLYFDVEPFVFYILTEVDRQGAHIVGYFSKEKESPDGNNVACILTLPPYQRRGYGKFLIAFSYELSKLESTVGSPEKPLSDLGKLSYRSYWSWVLLEILRDFRGTLSIKDLSQMTSITQNDIISTLQSLNMVKYWKGQHVICVTPKLVEEHLKSAQYKKPPITGGWGAAVCRGRWGSVSMWTGRSQGLLIAVT 种属同源性预测 |
| 宿主/亚型 | Rabbit / IgG |
| 抗体类别 | Recombinant |
| 产品类型 | Antibody |
| 全称 | MYST histone acetyltransferase 1 |
| 别名 | MYST1, EC:2.3.1.-, EC:2.3.1.48, Histone acetyltransferase KAT8, hMOF |
| 计算分子量 | 467 aa, 53 kDa |
| 观测分子量 | 52 kDa |
| GenBank蛋白编号 | BC037773 |
| 基因名称 | KAT8/MOF |
| Gene ID (NCBI) | 84148 |
| 偶联类型 | Unconjugated |
| 形式 | Liquid |
| 纯化方式 | Protein A purification |
| UNIPROT ID | Q9H7Z6 |
| 储存缓冲液 | PBS only, pH 7.3. |
| 储存条件 | Store at -80°C. The product is shipped with ice packs. Upon receipt, store it immediately at -80°C |
背景介绍
MOF, also known as MYST1, KAT8, is a member of the MYST acetyltransferase family, which is homologous to Drosophila males absent on the first (MOF) protein. Deletion of MYST1 in cells leads to genomic instability, spontaneous chromosomal aberration, cell cycle defects, reduced transcription of certain genes and defective DNA damage repair (PMID: 32711345). MYST1 dually localizes to the nucleus and mitochondria of human cancer cells (PMID: 37813994).



