验证数据展示
经过测试的应用
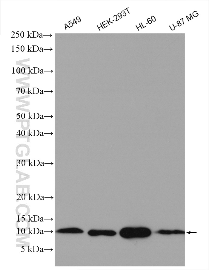
| Positive WB detected in | A549 cells, HL-60 cells, U-937 cells, Y79 cells, U-87 MG cells, HEK-293T cells, HUVEC cells, J774A.1 cells, Neuro-2a cells, mouse spleen tissue, rat spleen tissue, Jurkat cells |
| Positive IP detected in | mouse spleen tissue |
| Positive IF/ICC detected in | U-251 cells |
| Positive FC (Intra) detected in | THP-1 cells |
推荐稀释比
| 应用 | 推荐稀释比 |
|---|---|
| Western Blot (WB) | WB : 1:5000-1:50000 |
| Immunoprecipitation (IP) | IP : 0.5-4.0 ug for 1.0-3.0 mg of total protein lysate |
| Immunofluorescence (IF)/ICC | IF/ICC : 1:50-1:500 |
| Flow Cytometry (FC) (INTRA) | FC (INTRA) : 0.40 ug per 10^6 cells in a 100 µl suspension |
| It is recommended that this reagent should be titrated in each testing system to obtain optimal results. | |
| Sample-dependent, Check data in validation data gallery. | |
产品信息
20415-1-AP targets MIF in WB, IF/ICC, FC (Intra), IP, ELISA applications and shows reactivity with human, mouse, rat samples.
| 经测试应用 | WB, IF/ICC, FC (Intra), IP, ELISA Application Description |
| 文献引用应用 | WB, IF |
| 经测试反应性 | human, mouse, rat |
| 文献引用反应性 | human, mouse, rat |
| 免疫原 |
CatNo: Ag14058 Product name: Recombinant human MIF protein Source: e coli.-derived, PGEX-4T Tag: GST Domain: 51-115 aa of BC000447 Sequence: GGSSEPCALCSLHSIGKIGGAQNRSYSKLLCGLLAERLRISPDRVYINYYDMNAANVGWNNSTFA 种属同源性预测 |
| 宿主/亚型 | Rabbit / IgG |
| 抗体类别 | Polyclonal |
| 产品类型 | Antibody |
| 全称 | macrophage migration inhibitory factor (glycosylation-inhibiting factor) |
| 别名 | EC:5.3.2.1, EC:5.3.3.12, Glycosylation-inhibiting factor, L-dopachrome isomerase, L-dopachrome tautomerase |
| 计算分子量 | 115 aa, 12 kDa |
| 观测分子量 | 12 kDa |
| GenBank蛋白编号 | BC000447 |
| 基因名称 | MIF |
| Gene ID (NCBI) | 4282 |
| RRID | AB_10694820 |
| 偶联类型 | Unconjugated |
| 形式 | Liquid |
| 纯化方式 | Antigen affinity purification |
| UNIPROT ID | P14174 |
| 储存缓冲液 | PBS with 0.02% sodium azide and 50% glycerol, pH 7.3. |
| 储存条件 | Store at -20°C. Stable for one year after shipment. Aliquoting is unnecessary for -20oC storage. |
背景介绍
MIF is a pleiotropic cytokine that contributes to the pathogenesis of many autoimmune diseases through its upstream immunoregulatory function and its polymorphic genetic locus. MIF is a highly conserved protein of 12.5 kDa, with evolutionarily ancient homologues in plants, protozoans, nematodes, and invertebrates.
实验方案
| Product Specific Protocols | |
|---|---|
| FC protocol for MIF antibody 20415-1-AP | Download protocol |
| IF protocol for MIF antibody 20415-1-AP | Download protocol |
| IP protocol for MIF antibody 20415-1-AP | Download protocol |
| WB protocol for MIF antibody 20415-1-AP | Download protocol |
| Standard Protocols | |
|---|---|
| Click here to view our Standard Protocols |
发表文章
| Species | Application | Title |
|---|---|---|
Stem Cell Res Ther DPSCs regulate epithelial-T cell interactions in oral submucous fibrosis | ||
Am J Pathol CDR1as Deficiency Prevents Photoreceptor Degeneration by Regulating miR-7a-5p/α-syn/Parthanatos Pathway in Retinal Detachment | ||
Cancer Lett Macrophage migration inhibitory factor promotes tumor aggressiveness of esophageal squamous cell carcinoma via activation of Akt and inactivation of GSK3β.
| ||
Cell Prolif TSP50 promotes hepatocyte proliferation and tumour formation by activating glucose-6-phosphate dehydrogenase (G6PD). | ||
Front Endocrinol (Lausanne) Exercise prevents fatal stress-induced myocardial injury in obese mice | ||
Food Chem Toxicol The crosstalk between M1 macrophage polarization and energy metabolism disorder contributes to polystyrene nanoplastics-triggered testicular inflammation |










