验证数据展示
经过测试的应用
| Positive WB detected in | HEK-293T cells, U-937 cells, mouse testis tissue, Jurkat cells |
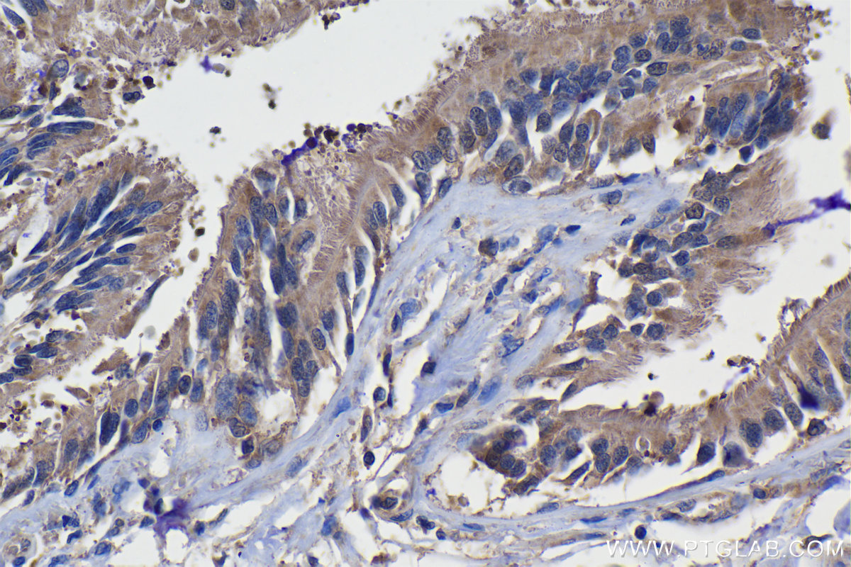
| Positive IHC detected in | rat liver tissue, human lung tissue, mouse lung tissue, mouse spleen tissue Note: suggested antigen retrieval with TE buffer pH 9.0; (*) Alternatively, antigen retrieval may be performed with citrate buffer pH 6.0 |
| Positive IF-P detected in | rat liver tissue |
| Positive FC (Intra) detected in | Jurkat cells |
推荐稀释比
| 应用 | 推荐稀释比 |
|---|---|
| Western Blot (WB) | WB : 1:500-1:2000 |
| Immunohistochemistry (IHC) | IHC : 1:500-1:2000 |
| Immunofluorescence (IF)-P | IF-P : 1:200-1:800 |
| Flow Cytometry (FC) (INTRA) | FC (INTRA) : 0.25 ug per 10^6 cells in a 100 µl suspension |
| It is recommended that this reagent should be titrated in each testing system to obtain optimal results. | |
| Sample-dependent, Check data in validation data gallery. | |
产品信息
27900-1-AP targets MERTK in WB, IHC, IF-P, FC (Intra), ELISA applications and shows reactivity with human, mouse, rat samples.
| 经测试应用 | WB, IHC, IF-P, FC (Intra), ELISA Application Description |
| 文献引用应用 | WB, IHC, IF |
| 经测试反应性 | human, mouse, rat |
| 文献引用反应性 | human, mouse, rat |
| 免疫原 |
CatNo: Ag27540 Product name: Recombinant human MERTK protein Source: e coli.-derived, PGEX-4T Tag: GST Domain: 829-999 aa of BC114918 Sequence: ELYEIMYSCWRTDPLDRPTFSVLRLQLEKLLESLPDVRNQADVIYVNTQLLESSEGLAQGSTLAPLDLNIDPDSIIASCTPRAAISVVTAEVHDSKPHEGRYILNGGSEEWEDLTSAPSAAVTAEKNSVLPGERLVRNGVSWSHSSMLPLGSSLPDELLFADDSSEGSEVLM 种属同源性预测 |
| 宿主/亚型 | Rabbit / IgG |
| 抗体类别 | Polyclonal |
| 产品类型 | Antibody |
| 全称 | c-mer proto-oncogene tyrosine kinase |
| 别名 | c mer, EC:2.7.10.1, MER, Proto oncogene c Mer, Proto-oncogene c-Mer |
| 计算分子量 | 999 aa, 110 kDa |
| 观测分子量 | 150-180 kDa |
| GenBank蛋白编号 | BC114918 |
| 基因名称 | MERTK |
| Gene ID (NCBI) | 10461 |
| RRID | AB_3086006 |
| 偶联类型 | Unconjugated |
| 形式 | Liquid |
| 纯化方式 | Antigen affinity purification |
| UNIPROT ID | Q12866 |
| 储存缓冲液 | PBS with 0.02% sodium azide and 50% glycerol, pH 7.3. |
| 储存条件 | Store at -20°C. Stable for one year after shipment. Aliquoting is unnecessary for -20oC storage. |
背景介绍
MerTK (Mer tyrosine kinase), also known as RP38, c-Eyk, c-mer, and Tyro12, was first cloned from a human B lymphoblastoid expression library (PMID:8086340) and is one of the TAM (Tyro-3, Axl, and MerTK) receptor tyrosine kinase (RTK) family (PMID:23833304). Although this RTK, like others, can promote tumor cell proliferation to some extent, MERTK primarily lends tumor cells crucial survival advantages while promoting invasion, migration and metastasis, drug resistance, and, in the innate immune system, suppressing anti-tumor immunity (PMID:32417270). The multiple MERTK species observed are likely due to posttranslational modifications (PMID: 23585477).
实验方案
| Product Specific Protocols | |
|---|---|
| FC protocol for MERTK antibody 27900-1-AP | Download protocol |
| IF protocol for MERTK antibody 27900-1-AP | Download protocol |
| IHC protocol for MERTK antibody 27900-1-AP | Download protocol |
| WB protocol for MERTK antibody 27900-1-AP | Download protocol |
| Standard Protocols | |
|---|---|
| Click here to view our Standard Protocols |
发表文章
| Species | Application | Title |
|---|---|---|
Cell Rep Med Disruption of MerTK increases the efficacy of checkpoint inhibitor by enhancing ferroptosis and immune response in hepatocellular carcinoma | ||
Eur Arch Otorhinolaryngol Aberrant expressions of TAM receptors are associated with postoperative recurrence in chronic rhinosinusitis with nasal polyps | ||
Front Endocrinol (Lausanne) Downregulation of MerTK in circulating T cells of patients with non-proliferative diabetic retinopathy | ||
J Ethnopharmacol Longan Aril polysaccharides ameliorate cognitive impairment in AD mice via restoration of the immune phagocytosis of microglia | ||
J Ethnopharmacol Xin-shu-bao tablets ameliorates ventricular remodeling against HFrEF via PPARγ/MFGE8 pathway based on MALDI-MSI and Lipidomics | ||
Sci Rep Bioinformatics analysis of Rho-signal transduction genes in postmenopausal osteoporosis and periodontitis |







