验证数据展示
产品信息
84184-4-PBS targets MED6 as part of a matched antibody pair:
MP01087-3: 84184-4-PBS capture and 84184-2-PBS detection (validated in Cytometric bead array, Sandwich ELISA)
Unconjugated rabbit recombinant monoclonal antibody in PBS only (BSA and azide free) storage buffer at a concentration of 1 mg/mL, ready for conjugation. Created using Proteintech’s proprietary in-house recombinant technology. Recombinant production enables unrivalled batch-to-batch consistency, easy scale-up, and future security of supply.
This conjugation ready format makes antibodies ideal for use in many applications including: ELISAs, multiplex assays requiring matched pairs, mass cytometry, and multiplex imaging applications.Antibody use should be optimized by the end user for each application and assay.
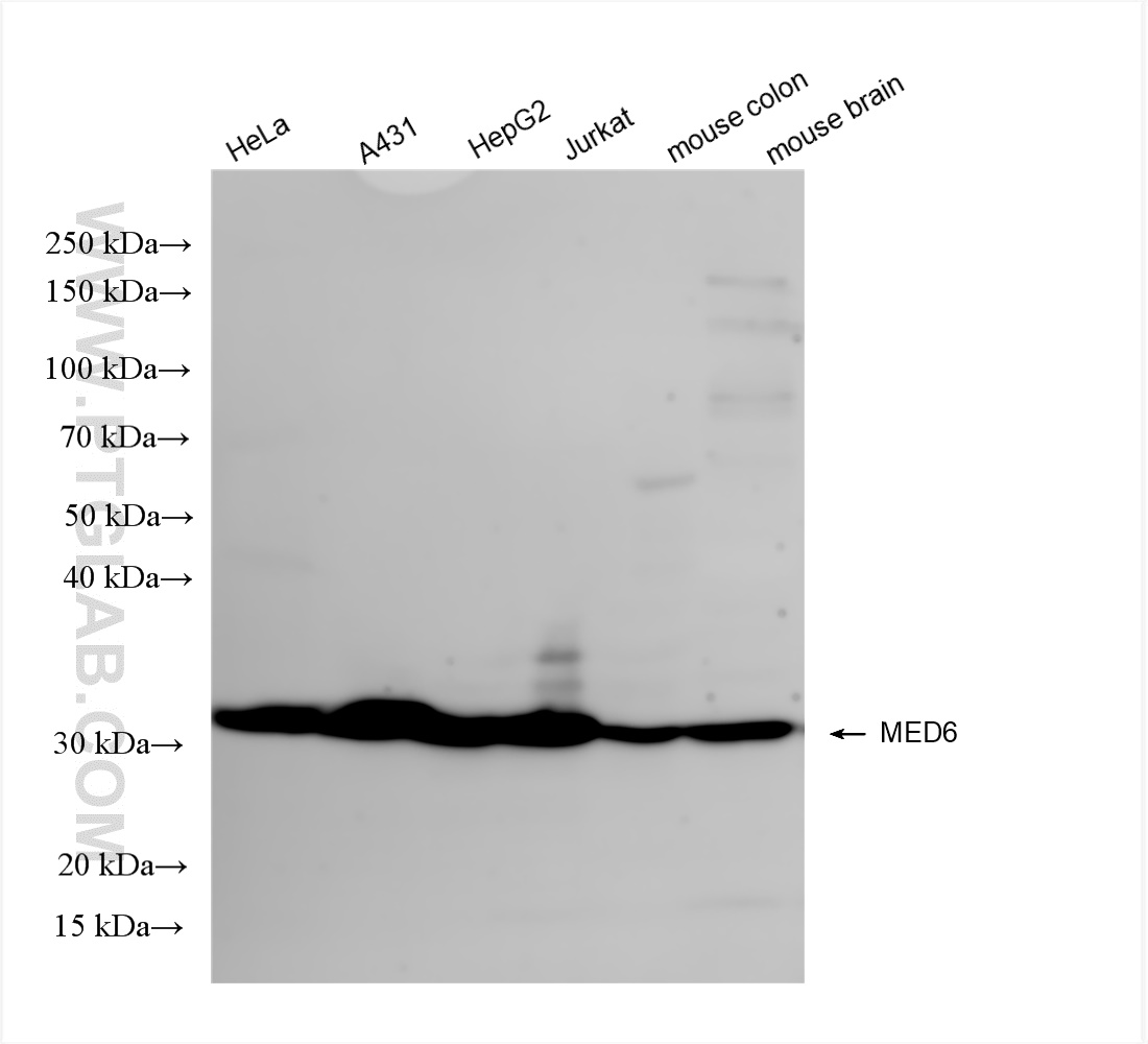
| 经测试应用 | WB, IF/ICC, FC (Intra), Cytometric bead array, Sandwich ELISA, Indirect ELISA, Sample test Application Description |
| 经测试反应性 | human, mouse |
| 免疫原 |
CatNo: Ag7541 Product name: Recombinant human MED6 protein Source: e coli.-derived, PGEX-4T Tag: GST Domain: 1-246 aa of BC004106 Sequence: MAAVDIRDNLLGISWVDSSWIPILNSGSVLDYFSERSNPFYDRTCNNEVVKMQRLTLEHLNQMVGIEYILLHAQEPILFIIRKQQRQSPAQVIPLADYYIIAGVIYQAPDLGSVINSRVLTAVHGIQSAFDEAMSYCRYHPSKGYWWHFKDHEEQDKVRPKAKRKEEPSSIFQRQRVDALLLDLRQKFPPKFVQLKPGEKPVPVDQTKKEAEPIPETVKPEEKETTKNVQQTVSAKGPPEKRMRLQ 种属同源性预测 |
| 宿主/亚型 | Rabbit / IgG |
| 抗体类别 | Recombinant |
| 产品类型 | Antibody |
| 全称 | mediator complex subunit 6 |
| 别名 | 241382H2, Activator-recruited cofactor 33 kDa component, ARC33, hMed6, Mediator of RNA polymerase II transcription subunit 6 |
| 计算分子量 | 28 kDa |
| 观测分子量 | 33 kDa |
| GenBank蛋白编号 | BC004106 |
| 基因名称 | MED6 |
| Gene ID (NCBI) | 10001 |
| 偶联类型 | Unconjugated |
| 形式 | Liquid |
| 纯化方式 | Protein A purification |
| UNIPROT ID | O75586 |
| 储存缓冲液 | PBS only, pH 7.3. |
| 储存条件 | Store at -80°C. The product is shipped with ice packs. Upon receipt, store it immediately at -80°C |
背景介绍
MED6 is a part of mediator complex. Mediator functions as a bridge to convey information from gene-specific regulatory proteins to the basal RNA polymerase II transcription machinery. Mediator is recruited to promoters by direct interactions with regulatory proteins and serves as a scaffold for the assembly of a functional preinitiation complex with RNA polymerase II and the general transcription factors.






