验证数据展示
经过测试的应用
| Positive WB detected in | HeLa cells, mouse lung tissue, rat lung tissue, HepG2 cells, L02 cells |
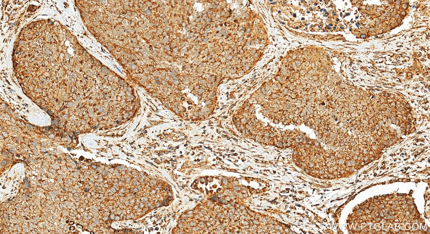
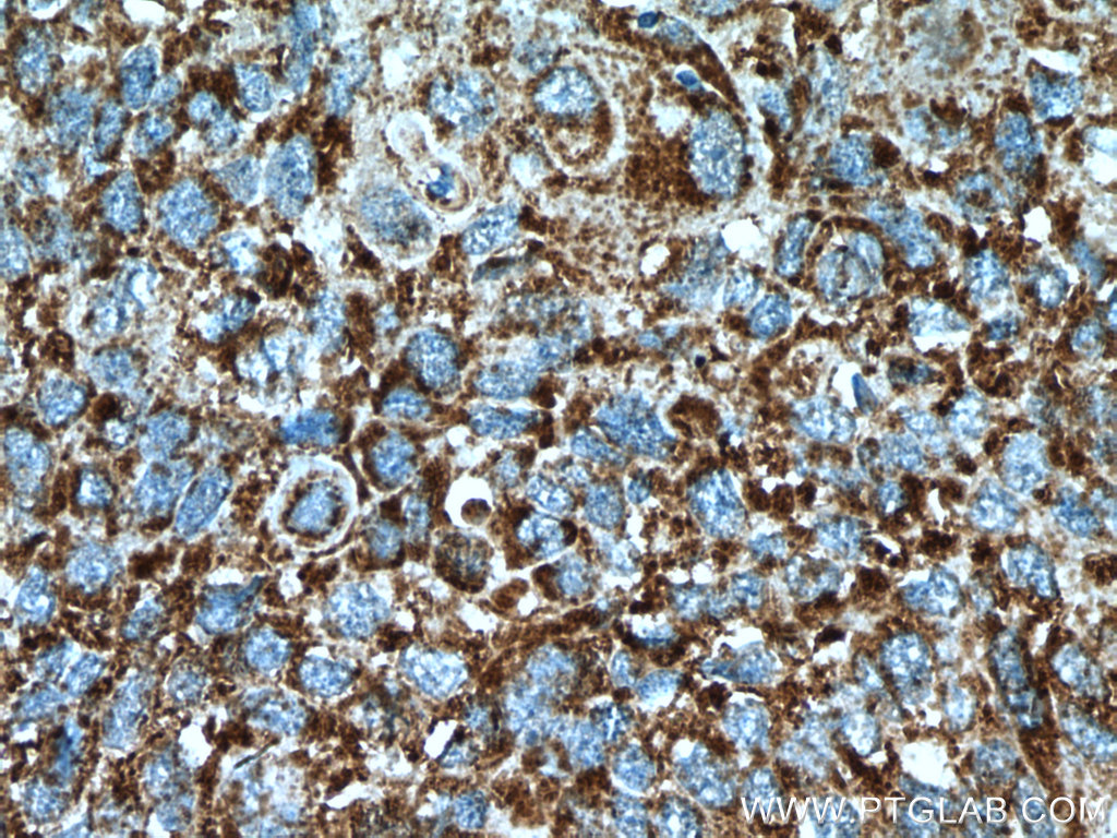
| Positive IHC detected in | human liver cancer tissue, human lung cancer tissue Note: suggested antigen retrieval with TE buffer pH 9.0; (*) Alternatively, antigen retrieval may be performed with citrate buffer pH 6.0 |
| Positive IF/ICC detected in | U2OS cells |
推荐稀释比
| 应用 | 推荐稀释比 |
|---|---|
| Western Blot (WB) | WB : 1:1000-1:8000 |
| Immunohistochemistry (IHC) | IHC : 1:200-1:1000 |
| Immunofluorescence (IF)/ICC | IF/ICC : 1:200-1:800 |
| It is recommended that this reagent should be titrated in each testing system to obtain optimal results. | |
| Sample-dependent, Check data in validation data gallery. | |
产品信息
15462-1-AP targets MDH2 in WB, IHC, IF/ICC, IP, ELISA applications and shows reactivity with human, mouse, rat samples.
| 经测试应用 | WB, IHC, IF/ICC, ELISA Application Description |
| 文献引用应用 | WB, IP |
| 经测试反应性 | human, mouse, rat |
| 文献引用反应性 | human, mouse, caenorhabditis elegans |
| 免疫原 |
CatNo: Ag7750 Product name: Recombinant human MDH2 protein Source: e coli.-derived, T-HIS Tag: 6*His Domain: 1-338 aa of BC001917 Sequence: MLSALARPVSAALRRSFSTSAQNNAKVAVLGASGGIGQPLSLLLKNSPLVSRLTLYDIAHTPGVAADLSHIETKAAVKGYLGPEQLPDCLKGCDVVVIPAGVPRKPGMTRDDLFNTNATIVATLTAACAQHCPEAMICVIANPVNSTIPITAEVFKKHGVYNPNKIFGVTTLDIVRANTFVAELKGLDPARVNVPVIGGHAGKTIIPLISQCTPKVDFPQDQLTALTGRIQEAGTEVVKAKAGAGSATLSMAYAGARFVFSLVDAMNGKEGVVECSFVKSQETECTYFSTPLLLGKKGIEKNLGIGKVSSFEEKMISDAIPELKASIKKGEDFVKTLK 种属同源性预测 |
| 宿主/亚型 | Rabbit / IgG |
| 抗体类别 | Polyclonal |
| 产品类型 | Antibody |
| 全称 | malate dehydrogenase 2, NAD (mitochondrial) |
| 别名 | EC:1.1.1.37, MDH, MDH 2 |
| 计算分子量 | 36 kDa |
| 观测分子量 | 33 kDa |
| GenBank蛋白编号 | BC001917 |
| 基因名称 | MDH2 |
| Gene ID (NCBI) | 4191 |
| RRID | AB_2878143 |
| 偶联类型 | Unconjugated |
| 形式 | Liquid |
| 纯化方式 | Antigen affinity purification |
| UNIPROT ID | P40926 |
| 储存缓冲液 | PBS with 0.02% sodium azide and 50% glycerol, pH 7.3. |
| 储存条件 | Store at -20°C. Stable for one year after shipment. Aliquoting is unnecessary for -20oC storage. |
背景介绍
MDH2 encodes the Krebs cycle enzyme mitochondrial malate dehydrogenase, which catalyzes the reversible oxidation of malate to oxaloacetate and plays a role in the malate-aspartate NADH shuttle. Mutations in MDH2 Cause Developmental and epileptic encephalopathy 51 (PMID: 27989324).
实验方案
| Product Specific Protocols | |
|---|---|
| IF protocol for MDH2 antibody 15462-1-AP | Download protocol |
| IHC protocol for MDH2 antibody 15462-1-AP | Download protocol |
| WB protocol for MDH2 antibody 15462-1-AP | Download protocol |
| Standard Protocols | |
|---|---|
| Click here to view our Standard Protocols |
发表文章
| Species | Application | Title |
|---|---|---|
Adv Sci (Weinh) SUCLG2 Regulates Mitochondrial Dysfunction through Succinylation in Lung Adenocarcinoma | ||
Nat Commun Low chorionic villous succinate accumulation associates with recurrent spontaneous abortion risk. | ||
J Exp Med Inhibiting both proline biosynthesis and lipogenesis synergistically suppresses tumor growth. | ||
Aging Dis Dietary Salt Disrupts Tricarboxylic Acid Cycle and Induces Tau Hyperphosphorylation and Synapse Dysfunction during Aging | ||
iScience The Symbiotic Relationship between the Neural Retina and Retinal Pigment Epithelium Is Supported by Utilizing Differential Metabolic Pathways. | ||
Biochim Biophys Acta Mol Basis Dis Genome-wide translational reprogramming of genes important for myocyte functions in overload-induced heart failure. |











