验证数据展示
经过测试的应用
| Positive WB detected in | A375 cells, HeLa cells, mouse thymus tissue, rat thymus tissue, Jurkat cells |
| Positive IP detected in | Jurkat cells |
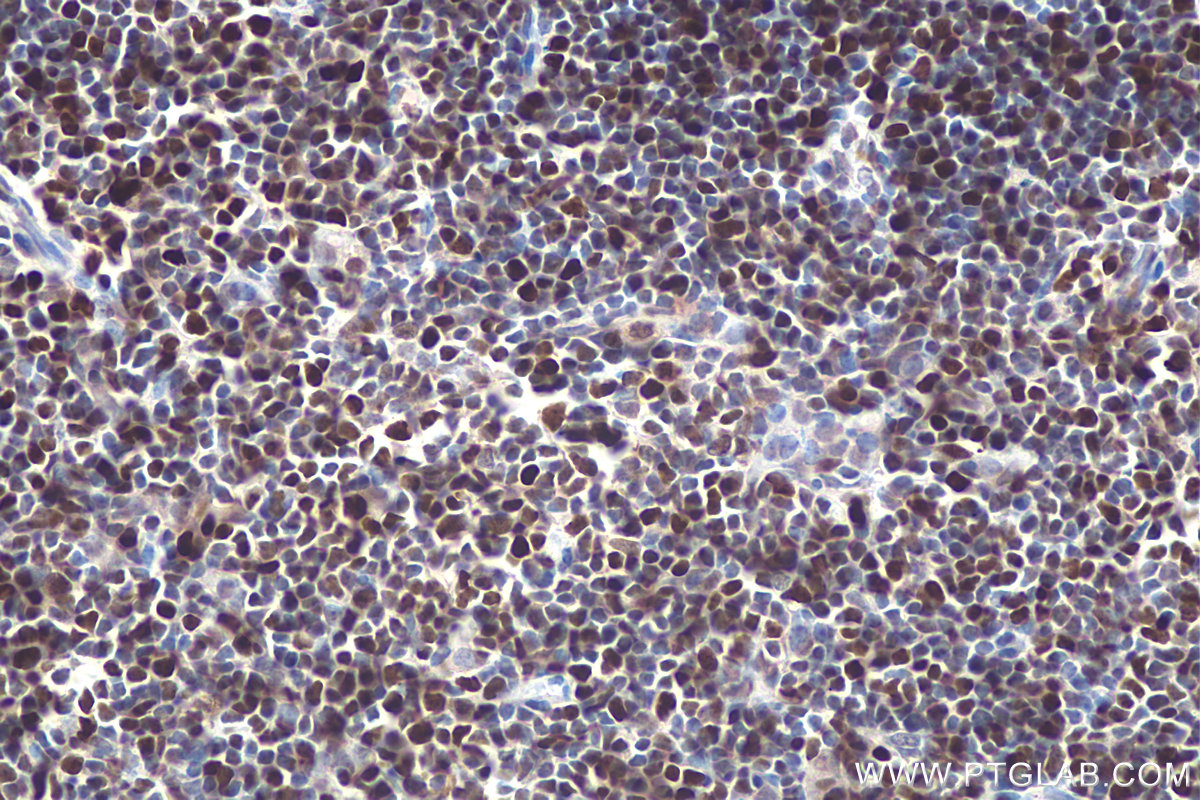
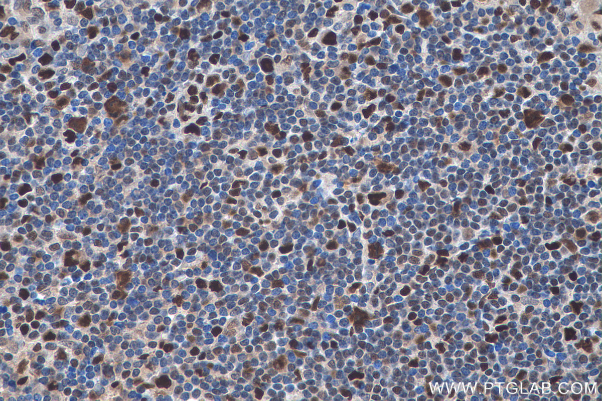
| Positive IHC detected in | mouse thymus tissue, human lymphoma tissue Note: suggested antigen retrieval with TE buffer pH 9.0; (*) Alternatively, antigen retrieval may be performed with citrate buffer pH 6.0 |
| Positive IF/ICC detected in | HeLa cells |
推荐稀释比
| 应用 | 推荐稀释比 |
|---|---|
| Western Blot (WB) | WB : 1:2000-1:16000 |
| Immunoprecipitation (IP) | IP : 0.5-4.0 ug for 1.0-3.0 mg of total protein lysate |
| Immunohistochemistry (IHC) | IHC : 1:500-1:2000 |
| Immunofluorescence (IF)/ICC | IF/ICC : 1:400-1:1600 |
| It is recommended that this reagent should be titrated in each testing system to obtain optimal results. | |
| Sample-dependent, Check data in validation data gallery. | |
产品信息
11703-1-AP targets MCM5 in WB, IHC, IF/ICC, IP, CoIP, RIP, ELISA applications and shows reactivity with human, mouse, rat samples.
| 经测试应用 | WB, IHC, IF/ICC, IP, ELISA Application Description |
| 文献引用应用 | WB, IHC, IF, IP, CoIP, RIP |
| 经测试反应性 | human, mouse, rat |
| 文献引用反应性 | human, mouse, canine, monkey |
| 免疫原 |
CatNo: Ag2271 Product name: Recombinant human MCM5 protein Source: e coli.-derived, PGEX-4T Tag: GST Domain: 388-734 aa of BC000142 Sequence: SQLLKFVEKCSPIGVYTSGKGSSAAGLTASVMRDPSSRNFIMEGGAMVLADGGVVCIDEFDKMREDDRVAIHEAMEQQTISIAKAGITTTLNSRCSVLAAANSVFGRWDETKGEDNIDFMPTILSRFDMIFIVKDEHNEERDVMLAKHVITLHVSALTQTQAVEGEIDLAKLKKFIAYCRVKCGPRLSAEAAEKLKNRYIIMRSGARQHERDSDRRSSIPITVRQLEAIVRIAEALSKMKLQPFATEADVEEALRLFQVSTLDAALSGTLSGVEGFTSQEDQEMLSRIEKQLKRRFAIGSQVSEHSIIKDFTKQKYPEHAIHKVLQLMLRRGEIQHRMQRKVLYRLK 种属同源性预测 |
| 宿主/亚型 | Rabbit / IgG |
| 抗体类别 | Polyclonal |
| 产品类型 | Antibody |
| 全称 | minichromosome maintenance complex component 5 |
| 别名 | CDC46, EC:3.6.4.12, P1 CDC46, P1-CDC46 |
| 计算分子量 | 82 kDa |
| 观测分子量 | 82-88 kDa |
| GenBank蛋白编号 | BC000142 |
| 基因名称 | MCM5 |
| Gene ID (NCBI) | 4174 |
| RRID | AB_2235162 |
| 偶联类型 | Unconjugated |
| 形式 | Liquid |
| 纯化方式 | Antigen affinity purification |
| UNIPROT ID | P33992 |
| 储存缓冲液 | PBS with 0.02% sodium azide and 50% glycerol, pH 7.3. |
| 储存条件 | Store at -20°C. Stable for one year after shipment. Aliquoting is unnecessary for -20oC storage. |
背景介绍
Minichromosome maintenance, S. Cerevisiae, homolog of 5(MCM5), one component of the complex of MCM2-7, which is the putative replicative essential for once per cell cycle DNA replication initiation and elongation in eukaryotic cells. The MCM complex form a hexameric ring through the interaction surfaces of two neighboring subunits.
实验方案
| Product Specific Protocols | |
|---|---|
| IF protocol for MCM5 antibody 11703-1-AP | Download protocol |
| IHC protocol for MCM5 antibody 11703-1-AP | Download protocol |
| IP protocol for MCM5 antibody 11703-1-AP | Download protocol |
| WB protocol for MCM5 antibody 11703-1-AP | Download protocol |
| Standard Protocols | |
|---|---|
| Click here to view our Standard Protocols |
发表文章
| Species | Application | Title |
|---|---|---|
Adv Sci (Weinh) Topoisomerase I Inhibition in ETV4-overexpressed Non-Small Cell Lung Cancer Promotes Replication and Transcription Mediated R-Loop Accumulation and DNA Damage | ||
Mol Ther Long noncoding RNA lnc-POP1-1 upregulated by VN1R5 promotes cisplatin resistance in head and neck squamous cell carcinoma through interaction with MCM5. | ||
Elife MCMBP promotes the assembly of the MCM2-7 hetero-hexamer to ensure robust DNA replication in human cells. | ||
J Nanobiotechnology Graphene quantum dots rescue angiogenic retinopathy via blocking STAT3/Periostin/ERK signaling. | ||
Front Oncol METTL3 Promotes the Progression of Gastric Cancer via Targeting the MYC Pathway. | ||
Oncotarget Lamin B2 binding to minichromosome maintenance complex component 7 promotes non-small cell lung carcinogenesis. |








