验证数据展示
经过测试的应用
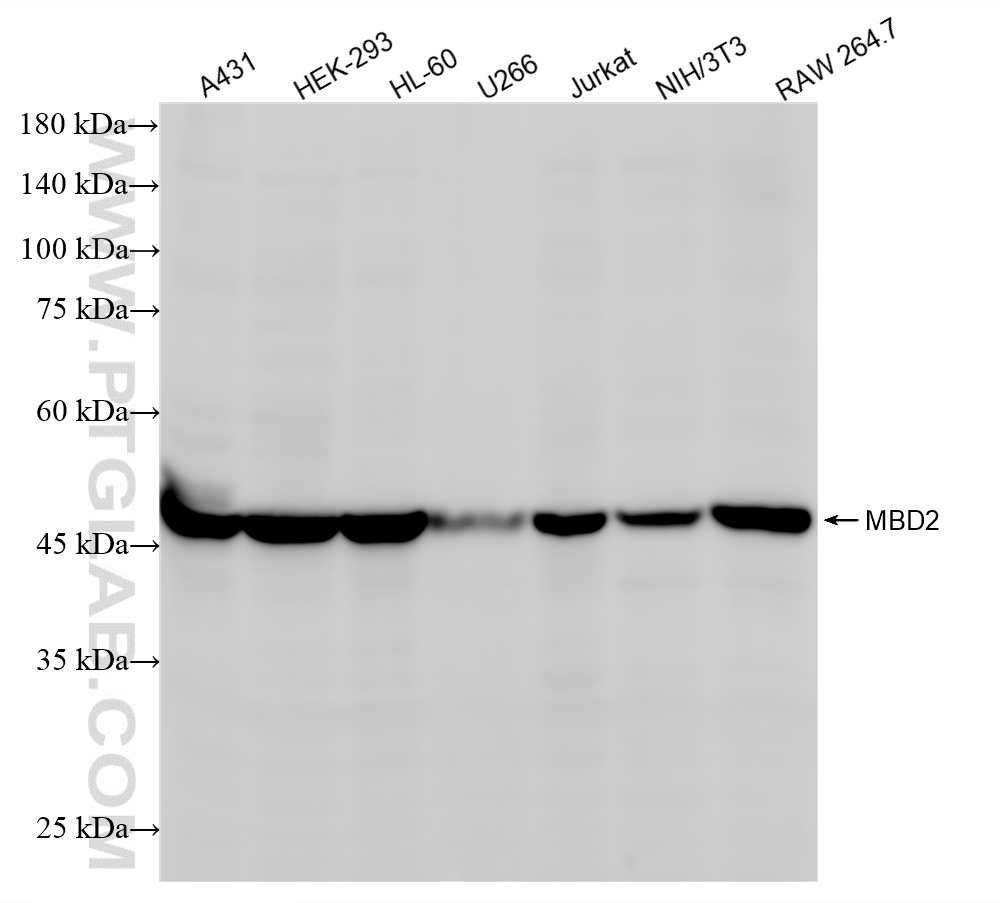
| Positive WB detected in | A431 cells, HEK-293 cells, HL-60 cells, U266 cells, Jurkat cells, NIH/3T3 cells, RAW 264.7 cells |
推荐稀释比
| 应用 | 推荐稀释比 |
|---|---|
| Western Blot (WB) | WB : 1:1000-1:4000 |
| It is recommended that this reagent should be titrated in each testing system to obtain optimal results. | |
| Sample-dependent, Check data in validation data gallery. | |
产品信息
86393-3-RR targets MBD2 in WB, ELISA applications and shows reactivity with human, mouse samples.
| 经测试应用 | WB, ELISA Application Description |
| 经测试反应性 | human, mouse |
| 免疫原 |
Peptide 种属同源性预测 |
| 宿主/亚型 | Rabbit / IgG |
| 抗体类别 | Recombinant |
| 产品类型 | Antibody |
| 全称 | methyl-CpG binding domain protein 2 |
| 别名 | Demethylase, DMTase, Methyl-CpG-binding domain protein 2, Methyl-CpG-binding protein MBD2, NY CO 41 |
| 计算分子量 | 43 kDa |
| 观测分子量 | 43-50 kDa |
| GenBank蛋白编号 | NM_003927 |
| 基因名称 | MBD2 |
| Gene ID (NCBI) | 8932 |
| 偶联类型 | Unconjugated |
| 形式 | Liquid |
| 纯化方式 | Protein A purification |
| UNIPROT ID | Q9UBB5 |
| 储存缓冲液 | PBS with 0.02% sodium azide and 50% glycerol, pH 7.3. |
| 储存条件 | Store at -20°C. Stable for one year after shipment. Aliquoting is unnecessary for -20oC storage. |
背景介绍
MBD2, also named as DMTase, binds CpG islands in promoters where the DNA is methylated at position 5 of cytosine within CpG dinucleotides. MBD2 binds hemi-methylated DNA as well. It recruits histone deacetylases and DNA methyltransferases. MBD2 acts as transcriptional repressor and plays a role in gene silencing (PMID:9774669). MBD2 belongs to a highly conserved member of the MBD protein family, is considered a reader of DNA methylation and drives the crosstalk between DNA methylation and histone deacetylation (PMID: 40089655). MBD2 drives breast cancer progression through the modulation of epithelial-to-mesenchymal transition (PMID: 38556549).
